2016ǯ09·î
2016ǯ09·î30Æü
½ô¡¹¤Î½àÈ÷
ÃæÅÓȾü¤Ê½©±«Á°Àþ¤Î¤ª¤«¤²¤Ç
¥Ð¥¤¥¯¤Ë¾è¤ë»ö¤â½ÐÍè¤Þ¤»¤ó¤Í¤§
¤Þ¤¡Ëͤξì¹ç¤Ï¡¢¹üÀÞ¤¬¼£¤ë¤Þ¤Ç¤Î´Ö¤Ï
¿ÉÊú¤·¤Ê¤¤¤È¤Í¤§¡¦¡¦¡¦
¤¢¡¼¥Ð¥¤¥¯¾è¤ê¤¿¤¤¡ª
̾¸Å²°T¹æ¥¥ã¥ÖO/H´°Î»
ºòÆü¤«¤é¼è³Ý¤«¤Ã¤Æ¤¤¤ë̾¸Å²°T¹æ¤Î¥¥ã¥ÖO/H¡£
¼è³°¤·¤¿¥È¥Ã¥×¥¥ã¥Ã¥×¤È¥Õ¥í¡¼¥È¥Á¥ã¥ó¥Ð¡¼
¤Ä¤¤¤Ç¤Ë¥Ö¥é¥¹¥È¤ÇÉå¿©¤ä±ø¤ì¤ò
Àö¾ô¤·¤Æ¤·¤Þ¤¤¤Þ¤¹¡£
Ëܵ¤¤Î¥Ö¥é¥¹¥È¤¸¤ã¤Ê¤¤¤Î¤Ç
¥µ¥¯¥µ¥¯¥Ã¤È»Å¾å¤²¤Æ¤â
¤³¤ì¤À¤±åºÎï¤Ë¤Ê¤Ã¤Á¤ã¤¤¤Þ¤¹¡£
Ëܵ¤¤Ç¤ä¤ë¤È¤â¤Ã¤ÈåºÎï¤Ë¤Ê¤ë¤Î¤Ç¤¹¤¬
¤¢¤¨¤Æ¤³¤ì¤°¤é¤¤¤Ç²¡¤¨¤Æ¤ª¤«¤Ê¤¤¤È
¼ÖÂΤȤÎÁ´ÂΤΥХé¥ó¥¹¤¬¤Í¤§¡£
ÌýÌ̤â¥Ð¥Ã¥Á¥ê¡¢JN¡¢MJ¡¢SJ
Á´Éô¿·Éʤ˸ò´¹¤·¤Þ¤·¤¿¡£
¥Û¡¼¥¹Îà¤â¿·Éʤ˸ò´¹¡£
¤³¤ì¤ÇÄ´»Ò¤âÎɤ¯¤Ê¤ê¤Þ¤¹¤Í¡£
´ö¤é¥¨¥ó¥¸¥ó¤ÎÄ´»Ò¤¬Îɤ¯¤Æ¤â
¥¥ã¥Ö¼¡Âè¤Ç¥¨¥ó¥¸¥ó¤ÎÄ´»Ò¤ÏÁ´Á³°ã¤¤¤Þ¤¹¡£
¥ì¥¹¥È¥¢¼ÖξÍÑÉôÉÊ
²ø²æ¤·¤ÆÎ¯¤Þ¤Ã¤Æ¤¤¤ë»Å»ö¤Ï¤Þ¤À¤Þ¤À¤¢¤ê¤Þ¤¹¡¦¡¦¡¦
¤Þ¤º¤Ïµà¤Á¤¿¥¨¥¢¡¼¥¯¥ê¡¼¥Ê¡¼¥Ü¥Ã¥¯¥¹¤«¤é
»È¤¨¤ëÉôÉʤò¼è³°¤·¤Æ
¥ê¥á¥¤¥¯¤¹¤ë½àÈ÷¡£
¤³¤ì¤âµ®½Å¤Ê¥¹¥ê¡¼¥¦¥¨¥£¥¸¥ç¥¤¥ó¥È
¥¹¥Æ¡¼¤âµ®½ÅÉÊ¡£
Á´Éô¥Ð¥é¥Ð¥é¤Ë¤·¤Æ
¥ê¥á¥¤¥¯¤Î½àÈ÷¡£
408¥¹¥¤¥ó¥°¥¢¡¼¥à
¶Ê¤¬¤Ã¤Æ¤Ê¤¤¥¹¥¤¥ó¥°¥¢¡¼¥à¤â
¾¯¤Ê¤¯¤Ê¤Ã¤Æ¤¤Þ¤·¤¿¡£
¥ê¥¢¥·¥ç¥Ã¥¯¥À¥ó¥Ñ¡¼¥é¥Ð¡¼¤ò¼è³°¤·¤Þ¤¹¡£
½ãÀµ¥¹¥Æ¥Ã¥×¤â·ë¹½½¸¤á¤Þ¤·¤¿¡£
77¡Ç¥¹¥Æ¥Ã¥×¤ÏËÍÍѤËÃúÅÙÎɤ¤¤Î¤Ç
Îɤ¤Êª¤¬¤¢¤Ã¤¿¤é¥ê¥á¥¤¥¯¤·¤Æ¤ª¤¤Þ¤¹¡£
¤³¤ì¤â¥Ð¥é¥Ð¥é¤Ë¤·¤Æ¥ê¥á¥¤¥¯¤·¤Þ¤¹¡£
¥Õ¥ì¡¼¥à¤¬»Å¾å¤¬¤ê¼¡Âè
ÁÈΩ¤Æ¤Ë¼è³Ý¤«¤ê¤Þ¤¹¡£
Á°¸å¤Î¥Û¥¤¡¼¥ë¥Ï¥Ö
¤³¤ì¤âʬ²òO/H¤·¤Æ»Å¾å¤²¤Þ¤¹¡£
½ãÀµÉ÷¡¢¥¦¥¨¥Ã¥È»Å¾å¤²¡¢¥Ð¥Õ»Å¾å¤²
¤É¤Î»Å¾å¤²¤Ç¤â½ÐÍè¤Þ¤¹¡£
¤¢¡ª¥·¥ê¥ó¥À¡¼¤òȯ¸«¡ª
398¤¬1¸Ä¤È408¤¬2¸Ä
¥Ö¥é¥¹¥È¤·¤Ê¤¤¤È¡¦¡¦¡¦
¤Þ¤À¾¤Ë398¥·¥ê¥ó¥À¡¼¤Ï2¸Ä¤¢¤Ã¤¿¤Ê¤¡¡£
408¥·¥ê¥ó¥À¡¼¤â4¸Ä¤°¤é¤¤¤¢¤Ã¤¿¤Ï¤º¡£
2016ǯ09·î29Æü
µ×¡¹¤Î½ãÀµ¥¥ã¥ÖO/H
Ä«ÈÕ¤ÎÄ̶лþ´Ö¤¬2»þ´Ö¤Ë¤Ê¤Ã¤ÆÌó1¥ö·î
¤¨¤¨²Ã¸ºÈè¤ì¤Æ¤¤¿¤Ê¤¡¤È¡¦¡¦¡¦
½¸¤á¤¿¥Ý¥±¥â¥ó¤â100ɤ¡¢¥ì¥Ù¥ë¤Ï¤â¤¦¤¸¤25
¤Á¤ç¤Ã¤È˰¤¤Æ¤¤¿¤±¤É
¤»¤á¤Æ¿Þ´Õ¤Ï¥³¥ó¥×¥ê¡¼¥È¤·¤¿¤¤¤Ê¤¡¡¦¡¦¡¦¤È¡¦¡¦¡¦
¤Þ¤¡²Ç¤È¤Î²ñÏäâ¥Ý¥±¥â¥ó¤Î¤ª±¢¤Ç
ÃÆ¤ó¤Ç¤¤¤ë¤Î¤Ç¡¢¤Þ¤¡¤¤¤¤¤«¤¡¡£
18¹æµ¡¥¢¥Ã¥Ñ¡¼¥±¡¼¥¹
º£Ä«¤Ï¥¢¥Ã¥Ñ¡¼¥±¡¼¥¹¤Î¥Ö¥é¥¹¥È¤ò¤·¤è¤¦¤È»×¤¤
¶ñ¤ò¼è¤ê½Ð¤·¤Æ¤¤¤ë¤È¡¦¡¦¡¦¤¢¤ì¡©¥×¥Ã¥·¥å¥Ð¡¼¤¬¡¦¡¦¡¦
¥»¥Ã¥Æ¥£¥ó¥°¥Ü¥ë¥È¤¬ÀÞ¤ì¤Æ¤Þ¤·¤¿¡¦¡¦¡¦ÀèÆüÆâdzµ¡²°¤µ¤ó¤Ë
¡ÖµÕ¥¿¥Ã¥×¤ÎÀÞ¤ì¹þ¤ß¤ªÃǤê¡×¤È¸À¤ï¤ì¤¿¤Î¤Ç
¤³¤Î¤Þ¤ÞÆâdzµ¡²°¤µ¤ó¤ØÁ÷¤ë»ö¤Ë¤·¤Þ¤·¤¿¡£
Á´Á³µ¤¤¬ÉÕ¤«¤Ê¤«¤Ã¤¿¡¦¡¦¡¦
¥è¥·¥à¥é¼ê¶Ê¤²½¤Íý´°Î»
½¤Íý¤Ë½Ð¤·¤Æ¤¤¤¿Åö»þʪ¥è¥·¥à¥é¼ê¶Ê¤²¤¬Ìá¤Ã¤Æ¤¤Þ¤·¤¿¡£
¤³¤Î¤Þ¤Þ¥Ñ¥¦¥À¡¼¥³¡¼¥È¥«¥È¡¼¤µ¤ó¤ØÂÑǮȾ±ðÅÉÁõ¤ò¤·¤Æ¤â¤é¤¤¤Þ¤¹¡£
Ĺ¤é¤¯¤ªÂÔ¤¿¤»¤·¤Æ¤ª¤ê¤Þ¤·¤¿¤¬
¤â¤¦»Ã¤¯¤ªÂÔ¤Á²¼¤µ¤¤¡£
̾¸Å²°T¹æ½ãÀµ¥¥ã¥ÖO/H
¸á¸å¤«¤éÉôÉʤ¬Æþ²Ù¤·¤ÆÍ褿¤Î¤Ç
µ×¡¹¤Ë½ãÀµ¥¥ã¥Ö¤ÎO/H¤ò³«»Ï¡£¤¬¡¢º¸¼ê¤Î¾®»Ø¤¬ÀÞ¤ì¤Æ¤ë¤È
»×¤Ã¤¿Íͤ˺£¤Þ¤Ç¤ß¤¿¤¤¤Ë
ºî¶È¤Ï¤Ï¤«¤É¤ê¤Þ¤»¤ó¡¦¡¦¡¦
²¿¤È¤«¥Ð¥é¥Ð¥é¤Ë¤·¤Þ¤·¤¿¤¬¤³¤³¤«¤é¤¬°Õ³°¤Èº¸¼ê¤ò»È¤¦¡£
»þ¡¹¾®»Ø¤«¤é¡Ö¥Ý¥¥Ã¡×¤Ã¤È²»¤¬ÌĤê¤Þ¤¹¡£
¤Þ¤¿Àޤ줿¡©
¤½¤ó¤Ê»×¤¤¤ò¤·¤Ê¤¬¤éJN¤ò¼è³°¤¹¡£¥Ë¡¼¥É¥ë¥Û¥ë¥À¡¼¤Ï¤´Í÷¤ÎÄ̤ê
¤¨¤é¤¤»ö¤Ë¤Ê¤Ã¤Æ¤Þ¤·¤¿¡£
¤³¤ì¤¸¤ã¤¡Ä´»Ò¤¬Îɤ¤È¦Ìµ¤¤¡£
¼è¹ç¤¨¤º#1.2¤ÏO/H´°Î»¡£#3.4¤â¤³¤ÎÄ´»Ò¤Çº£ÆüÃæ¤ËÁȤ߾夲¤Þ¤¹¡£
±ø¤ì¤¬¹ó¤¤¤Î¤Ç¡¢¼ê¤¬¿¿¤Ã¹õ¤Ë¡¦¡¦¡¦
¤³¤ì¤Ç¥¥ã¥ÖËÜÂΤÎO/H¤Ï´°Î»¡£¥Ð¥Ã¥¯¥×¥ì¡¼¥È¤â¿¿¤Ã¹õ¤Ê¤Î¤Ç
Àö¾ô¤·¤Æ¤«¤é¼èÉÕ¤±¤Þ¤¹¡£
¥È¥Ã¥×¥¥ã¥Ã¥×¤È¥Õ¥í¡¼¥È¥Á¥ã¥ó¥Ð¡¼¤Ï¤»¤Ã¤«¤¯¤Ê¤Î¤Ç¥Ö¥é¥¹¥È¤Ç
»Å¾å¤²¤Æ¼è¤êÉÕ¤±¤ë»ö¤Ë¤·¤Þ¤¹¡£
º£Æü¤Ï¤³¤³¤Þ¤Ç¡£
¤³¤ì¤°¤é¤¤¤Îºî¶È¤ÏȾÆü¤Ç½ª¤ï¤ëȦ¤Ê¤Î¤Ë¡¦¡¦¡¦
2016ǯ09·î27Æü
ÁêÊѤ餺ŷµ¤¤ËǺ¤Þ¤µ¤ì¤ë
°ú¤¼è¤ê¤Ë¹Ô¤¯Í½Äê¤À¤Ã¤¿¤Î¤Ë
¤Þ¤¿±«¡¦¡¦¡¦
Á᤯°ú¤¼è¤ê¤Ë¹Ô¤¤¿¤¤¤Î¤Ë¤Þ¤¿¹Ô¤±¤Ê¤¤¡¦¡¦¡¦
¤Û¤ó¤ÞʢΩ¤Ä¤ï¤¡¡£
¿··¿¶¯²½¥ª¥¤¥ë¥Ý¥ó¥×
¥Á¥ç¥³¥Á¥ç¥³¤ÈÇä¤ì¤Æ¤¤¤ë¿··¿¶¯²½¥ª¥¤¥ë¥Ý¥ó¥×¡£
²Ã¹©¥Ù¡¼¥¹¤Î¥ª¥¤¥ë¥Ý¥ó¥×¤Ç¤¹¤¬Ê¬²ò¤·¤Ê¤¬¤é¥Á¥§¥Ã¥¯¤¹¤ë¤È
Ãæ¤Ë¤Ï»È¤¨¤Ê¤¤Êª¤â¤¢¤ë¤Î¤Ç
¿É¤¤¤Ç¤¹¤¬¡¢ÇÑ´þ¤È¤Ê¤ê¤Þ¤¹¡£
º£²ó¤â1¸Ä¾¦Éʤˤʤé¤Ê¤¤Êª¤¬¤¢¤Ã¤ÆÇÑ´þ½èʬ¤È¤Ê¤ê¤Þ¤·¤¿¡£
¤³¤ì¤«¤é¥Ö¥é¥¹¥È½èÍý¤·¤Æ
²Ã¹©¤Ë½Ð¤¹½àÈ÷¤ò¤·¤Þ¤¹¡£
¥Ö¥é¥¹¥È´°Î»¡£¸å¤ÏÆâdzµ¡²°¤µ¤ó¤ØÁ÷¤ë¤À¤±¤Ê¤Î¤Ç¤¹¤¬
18¹æµ¡¤Î¥¨¥ó¥¸¥ó¤È°ì½ï¤ËÁ÷¤ë¤Î¤Ç
¤â¤¦¾¯¤·Àè¤Ë¤Ê¤ë¤«¤Ê¡£
ºß¸Ë¤Ï¤Þ¤À¾¯¤·¤¢¤ë¤Î¤Ç¡¢Âç¾æÉפǤ¹¡£
1¹æµ¡Â®ÅٷٹðÅù¥é¥ó¥×
¥Ç¥¸¥¿¥ë¥¹¥Ô¡¼¥É¥á¡¼¥¿¡¼¤¬ÉÕ¤¤¤Æ¤¤¤ë¤Î¤Ç
¤»¤Ã¤«¤¯ºî¤Ã¤¿¥¹¥Ô¡¼¥É¥¦¥©¡¼¥Ë¥ó¥°¥æ¥Ë¥Ã¥È¤¬»È¤¨¤Ê¤¤1¹æµ¡¡£
¥À¥ß¡¼¤ÇÉÕ¤¤¤Æ¤¤¤ë¤À¤±¤Ç¤¹¤¬¥¹¥¿¥Ã¥¯¤Î¥¿¥³¥á¡¼¥¿¡¼¤«¤é
¥·¥Õ¥È¥Á¥§¥ó¥¸¥ï¡¼¥Ë¥ó¥°¤Î
¿®¹æ¤ò°ú¤ÃÄ¥¤Ã¤ÆÅÀÅô¤µ¤»¤è¤¦¤È»×¤¤
¥À¡¼¥ß¡¼¤Î¥é¥ó¥×¤ò¸ò´¹¤·¤è¤¦¤È¤·¤¿¤±¤É²Ã¹©¤·¤¿¥¹¥Æ¥à¤Ë·ê¤¬³«¤¤¤Æ¤Ê¤¯¤Æ
ÇÛÀþ¤òÄ̤¹»ö¤¬½ÐÍè¤Ê¤«¤Ã¤¿¤Î¤Ç
Äü¤á¤è¤¦¤«¤É¤¦¤·¤è¤¦¤«¡¦¡¦¡¦
¿§¡¹Ãµ¤·¤Æ¸«¤Ä¤±¤¿ÊªÌµ²Ã¹©¤Ç¼èÉÕ¤±¤¬½ÐÍè¤ë¥¹¥Æ¥à¡£
¥Û¡¼¥¯¤ÎÆâ·Â¤È¢¤¤Î¥Ô¥Ã¥Á¤âƱ¤¸¤Ç¤¹¡£
¼êÁ°¤Î¤ÏNC39¤ÈƱ¤¸¤«¤âÃΤì¤Ê¤¤¡£
¥¹¥Æ¥à¸ò´¹¡¢ÌÌÅݽ¤¤¤Ê¤¡¡¦¡¦¡¦
18¹æµ¡ÍÑ¥¨¥ó¥¸¥ó¥Ö¥é¥¹¥È
¤Þ¤À¤¯¤ÃÉÕ¤¤¤Æ¤Ê¤¤º¸¼ê¤Î¾®»Ø¤Ç¡¢½Å¤¤¥í¥¢¥±¡¼¥¹¤Î¥Ö¥é¥¹¥Èºî¶È¡£
·ë¹½±ø¤ì¤Æ¤¤¤ë¤Î¤ÇÂçÊѤʺî¶È¤Ë¤Ê¤ê¤Þ¤¹¤¬
º¸¼ê¤Ç¥í¥¢¥±¡¼¥¹¤ò»ý¤¿¤Ê¤¤¤È
¥Ö¥é¥¹¥È¤ò¾å¼ê¤¯Åö¤Æ¤ì¤Ê¤¤¤Î¤Ç
ɬ»à¤Î»×¤¤¤ÇÄˤߤò´®¤¨¤Æ¥í¥¢¥±¡¼¥¹¤Î¥Ö¥é¥¹¥È´°Î»¤Ç¤¹¡£
¤³¤ì¤«¤é¥ê¥¿¥Ã¥×¤¹¤ë¤Î¤Ç¤¹¤¬
¥¯¥í¥¹¥ß¥Ã¥·¥ç¥ó¤òÆþ¤ì¤è¤¦¤«Çº¤ó¤Ç¤Þ¤¹¡£
¼è¹ç¤¨¤º²¿»þ¤â¤Îºî¶È¡£¥ê¥¿¥Ã¥×Áݽü¤ò¤ä¤Ã¤Æ
¥Ô¥¹¥È¥ó¥¯¡¼¥é¡¼¤ò¼èÉÕ¤±¤ë½àÈ÷¡£
·ê³«¤±²Ã¹©¤È45ÅÙ¤ÎÌ̼è¤ê¤³¤ì¤Ç¥Î¥º¥ë¤ò¼èÉÕ¤±¤ë
¥¿¥Ã¥×¤òΩ¤Æ¤Þ¤¹¡£
¥Î¥º¥ë¤Ë¤â°ì¼ê´Ö²Ã¤¨¤Æ¤¤¤Þ¤¹¤«¤é¥¥ã¥Ö¤Î¥¸¥§¥Ã¥È¤ÏµÛ¤¤¹þ¤àÀ߷פǤ¹¤«¤é
Ê®¤ÉÕ¤±¤ëÀ߷פΤ³¤Î¥Î¥º¥ë¤ÎÊý¤¬
³È»¶¤»¤º¤Ë¿¿Ä¾¤°Èô¤Ó¤Þ¤¹¡£
HRC¥ì¡¼¥·¥ó¥°¥Þ¥Ã¥È
¥µ¡¼¥¥Ã¥ÈÍѤËHRC¥ì¡¼¥·¥ó¥°¥Þ¥Ã¥È¤ò¹ØÆþ¡£
º£ÆüÆÏ¤¤Þ¤·¤¿¡£¤·¤Ã¤«¤ê¤·¤¿ºî¤ê¤Ç»ý¤Ä¤È½Å¤¤¤Ç¤¹¡£
¥ª¥¤¥ë¤¬Ï³¤ì¤Æ¤â¥´¥à¤Ê¤Î¤Ç
²¼¤Þ¤Ç¿»Æ©¤·¤Þ¤»¤ó¡£
¤·¤«¤â¤³¤Î¾å¤Ç¿²¤ì¤ë¤°¤é¤¤È©¿¨¤ê¤âÎɤ¤¤Ç¤¹£÷
º£ÅÙ¤ÎROC¤ÇËͤΥޥ·¡¼¥ó¤ò
¤³¤Î¾å¤Ë¾è¤»¤Æ¥Ï¥¡¥Ï¥¡¤·¤Æ¤ß¤Þ¤¹¡£
2016ǯ09·î26Æü
¥¯¥¤¥Ã¥¯¥á¥ó¥Æ¥Ê¥ó¥¹
´Ö¤â̵¤¯ÆÏ¤¯Í½Äê¤È¤Ê¤ê¤Þ¤·¤¿¡£
Ãæ¡¹Ãæ¸Å¼Ö¥Ù¡¼¥¹¤¬Æþ¤é¤Ê¤¤¤Î¤Ç
¤É¤¦¤·¤Æ¤â¥Õ¥ë¥ì¥¹¥È¥¢¼Ö¤Ë¤Ê¤Ã¤Æ¤·¤Þ¤¤¤Þ¤¹¡£
¥Ù¡¼¥¹¼Öξ¤Î¥é¥ó¥¯¤â°¤¯¤Ê¤ê
¥Õ¥ë¥ì¥¹¥È¥¢¼Ö¤Ë¤Ê¤Ã¤Æ¤·¤Þ¤¦¤Î¤Ç
¤ªÃÍÃʤ⤽¤ì¤Ê¤ê¤Ë¤Ê¤Ã¤Æ¤·¤Þ¤¤¤Þ¤¹¡£
¤·¤«¤âÃæ¸Å¼Ö¤ÏÆþ²Ù¤·¤¿¤éľ¤°¤ËÇä¤ì¤Æ¤·¤Þ¤¦¤Î¤Ç
Ãæ¡¹Å¹¤ÇÁª¤Ù¤ë¤è¤¦¤Ê¾õÂÖ¤¸¤ã̵¤¤¤Î¤¬¿½¤·Ìõ¤Ê¤¤¤Ç¤¹¡£
̾¸Å²°¤«¤é¥¯¥¤¥Ã¥¯¥á¥ó¥Æ¥Ê¥ó¥¹
ÁáÄ«¤Ë̾¸Å²°¤ò½Ðȯ¤·¤Æ10»þ³«Å¹¤Ë¹ç¤ï¤»¤Æ¤´ÍèŹ¤Î̾¸Å²°¤ÎTÍÍ¡£
Å·¸õ¤¬¿´ÇÛ¤À¤Ã¤¿¤Î¤Ç¤¹¤¬»Å»ö¤ÎÅÔ¹ç¤â¤¢¤êº£Æü¤¸¤ã¤Ê¤¤¤È
CP¤Ë¤´ÍèŹ½ÐÍè¤Ê¤¤¤½¤¦¤Ç¤¹¡£
º£Æü¤ÏÁ°²ó¤Î¥Á¥§¥Ã¥¯¤Ç
»ØÅ¦¤·¤¿Éôʬ¤Î¥á¥ó¥Æ¥Ê¥ó¥¹¤È¥ª¥¤¥ë¸ò´¹¡¢¥Õ¥£¥ë¥¿¡¼¸ò´¹¤Î¤´°ÍÍê¤È
¤½¤Î¾½ô¡¹¤Î¥Á¥§¥Ã¥¯¡£
¥·¥Õ¥È¥·¥ã¥Õ¥È¤Î¥ª¥¤¥ë¥·¡¼¥ë¤«¤é¤Î¥ª¥¤¥ëϳ¤ì¤â¹ó¤¤¤Î¤Ç¸ò´¹¡£
ÌÞÏÀCPÀ½¥ª¥¤¥ë¥·¡¼¥ë¥Û¥ë¥À¡¼¤Ï
Æþ¤Ã¤Æ¤Þ¤¹¡£
Áö¹ÔÃæ¤Ë¥¬¥¹·ç¾É¾õ¤¬½Ð¤ë¤é¤·¤¯²ø¤·¤¤½ê¤òÁ´Éô¥Á¥§¥Ã¥¯
¥¿¥ó¥¯¥¥ã¥Ã¥×¤È¥³¥Ã¥¯¤ÏÌäÂê¤Ê¤·¡£
¤¦¡¼¤ó¡¦¡¦¡¦²¿¤¬¸¶°ø¤Ê¤ó¤À¤í¤¦¤«¡©
¤½¤ó¤Ê»ö¤ò¤ä¤ê¤Ê¤¬¤é¤Î¥ª¥¤¥ë¸ò´¹¥Õ¥£¥ë¥¿¡¼¥±¡¼¥¹¤ò³«¤±¤ë¤È
°Æ¤ÎÄꥹ¥×¥ê¥ó¥°¥·¡¼¥È¤¬ÉԺߤǤ·¤¿¡£
¥Õ¥£¥ë¥¿¡¼¸ò´¹¡¢¥¹¥×¥ê¥ó¥°¥·¡¼¥È¤òÆþ¤ì¤Æ
¥ª¥¤¥ë¸ò´¹¤Ï´°Î»¤·¤Æ¡¢¥¨¥ó¥¸¥ó¤ò³Ý¤±¤ë¤È
¥«¥à¥Á¥§¡¼¥ó¤Î²»¤¬Ê¹¤³¤¨¤ë¤Î¤Ç¡¢¥Æ¥ó¥·¥ç¥Ê¡¼¤òÄ¥¤í¤¦¤È¤¹¤ë¤È
¥×¥Ã¥·¥å¥Ð¡¼¤Î¥»¥Ã¥Æ¥£¥ó¥°¥Ü¥ë¥È¤¬Äù¤Þ¤Ã¤Æ¤Ê¤«¤Ã¤¿¡¦¡¦¡¦
¥¥ã¥Ö¤â²ø¤·¤¤¤Î¤Ç¼è³°¤·¤Æ¥Æ¥¹¥ÈÍÑ¥¥ã¥Ö¤È¸ò´¹¡£
¥Ñ¥ï¡¼¥Õ¥£¥ë¥¿¡¼»ÅÍͤǤ¹¡£
¤³¤ì¤Ç¤â¾É¾õ¤¬½Ð¤ë¤Î¤Ê¤é²¿¤À¤í¤¦¡¦¡¦¡¦
¼è³°¤·¤¿¥¥ã¥Ö¤ÎÃæ¤ò¥Á¥§¥Ã¥¯¤¹¤ë¤È¥Õ¥í¡¼¥È¥Ð¥ë¥Ö¤À¤±¿·ÉʤÇ
¾¤Ï¸Å¤¤¤Þ¤Þ¤Ê¾å¤Ë¡¢ÌýÌ̤â¹â²á¤®¤Ê¤Î¤Ç
¤ä¤Ã¤Ñ¤ê¥¥ã¥Ö¤¬²ø¤·¤¤¤«¤âÃΤì¤Ê¤¤¡£
¼è¹ç¤¨¤ºÊ¬²ò¤·¤Æ¡¢¥¤¥ó¥Ê¡¼¥Ñ¡¼¥Ä¤ò¼è¤êÂØ¤¨¤Æ¤ß¤Þ¤¹¡£
ËÜÆü¤Î¤´ÍèŹ
»°ÂåÌܹ椬¥ª¥¤¥ë¸ò´¹¤È¡¢½ô¡¹¤Î»ÅÍÍÊѹ¹¤Ë¤´ÍèŹ¡£
¥¿¥¤¥ß¥ó¥°Îɤ¯¶ä¤Á¤ã¤ó¤âÌë¶ÐÌÀ¤±¤Ç¤´ÍèŹ¡¢Ì²¤ì¤Ê¤¤¤é¤·¤¤¤Î¤Ç
°ì¤ÃÁö¤ê¹Ô¤Ã¤ÆÍè¤ë¤ï¡ª¤È¤ª½Ð³Ý¤±¡£
Å·µ¤¤¬¿´ÇÛ¤À¤Ã¤¿¤±¤É½ë¤¤¤°¤é¤¤¤À¤Ã¤¿¡£
¤Ç¡¢»°ÂåÌܹæ¤Ï¥ª¥¤¥ë¸ò´¹¤È¥¤¥Ù¥ó¥ÈÍѤˤÁ¤ç¤Ã¤È»ÅÍÍÊѹ¹¤Ê¤É¤ò£÷
¥¨¥ó¥¸¥ó¤Ï¾õÂÖ¤âÎɤ¤´¶¤¸¤Ç
¥ª¥¤¥ë¤Î¾õÂÖ¤âÎɤ¤´¶¤¸¤Ç¤¹¡£
¤Ä¤¤¤Ç¤Ë¿µ¡Ç½¥Þ¥ë¥Á¥á¡¼¥¿¡¼¤Î¥»¥Ã¥Æ¥ó¥°¡£¥á¡¼¥¿¡¼¤Ë¥·¥Õ¥È¥Ý¥¸¥·¥ç¥ó¥¤¥ó¥¸¥±¡¼¥¿¡¼¤¬
ºÇ½é¤«¤éÆâ¢¤µ¤ì¤Æ¤¤¤ë¤Î¤Ç
¥»¥Ã¥Æ¥ó¥°¤·¤Æ¤ß¤Þ¤·¤¿¤¬
·ë²Ì¤è¤¯Ê¬¤«¤é¤Ê¤¤¤Þ¤Þ¤Ç¤·¤¿¡¦¡¦¡¦
¤¤¤È¤³¤Î¥¹¥¯¡¼¥¿¡¼Æþ¸Ë
ľ¤·¤Æ¤Ï¾è¤ê¡¢Ë°¤¤¿¤éÊüÃÖ¤·¤ÆÉÔÆ°¤Ë¤Ê¤ë¤ò·«¤êÊÖ¤¹
¤¤¤È¤³¤Î¥¹¥¯¡¼¥¿¡¼¤¬¤Þ¤¿Æþ¸Ë¤â¤¦ÌÌÅݽ¤¤¤«¤é¤¤¤ä¤ä¡ª¤Ã¤Æ¸À¤Ã¤Æ¤â
²¿»þ¤Ç¤â¥¨¥¨¤«¤é¤È¸À¤Ã¤Æ»ý¤Ã¤Æ¤¤¿¡¦¡¦¡¦
¤â¤¦ÌÌÅݽ¤¤¤Ê¤¡¡¦¡¦¡¦
2016ǯ09·î25Æü
¥µ¡¼¥¥Ã¥È¤Î½àÈ÷
¤¹¤Ã¤«¤ê¥Ï¥Þ¥Ã¥Æ¤·¤Þ¤Ã¤¿¥Ý¥±¥â¥óGO¤Î°Ù¤Ë
Ä«¤Ï1»þ´ÖȾµ¢¤ê¤Ï2»þ´Ö³Ý¤±¤Æ
Ä̶Ф·¤Æ¤¤¤Þ¤¹¡£
¿ʬÁ´Éô½¸¤á¤ë¤Þ¤Ç¤Ï¤½¤ó¤ÊÀ¸³è¤Ë¤Ê¤ë¤È»×¤¤¤Þ¤¹¡¦¡¦¡¦
CP1¹æ¥ì¡¼¥µ¡¼¥¥ã¥Ö¸ò´¹
Ä®¾è¤ê1¹æµ¡¤Ë¤Ï¥è¥·¥à¥é¥ß¥¯¥ËTMR¤òÉÕ¤±¤¿¤Î¤Ç
Ä®¾è¤ê¤ËÉÕ¤¤¤Æ¤¤¤¿FCR33¤¬Í¾¤Ã¤ÆÌÞÂÎ̵¤¤¤Î¤Ç
¥ì¡¼¥µ¡¼¤ÎFCR28¤È33¤ò¸ò´¹¤·¤ÆÍè·î¤ÎROC¤ÇÁö¤Ã¤Æ¤ß¤è¤¦¤È
¸ò´¹¤¹¤ë»ö¤Ë¤·¤Þ¤·¤¿¡£
¤³¤ÎFCR28¤â¿·ÉÊ¤Ç¹ØÆþ¤·¤¿¤Î¤Ç
¸À¤¦¤Û¤É¤Ï»È¤Ã¤Æ¤¤¤Þ¤»¤ó¡£MJ¤ÎÈÖ¼ê¤ò¥Á¥§¥Ã¥¯¤·¤Æ
¤³¤ì¤«¤éºî¤ë18¹æµ¡¤Ë
ÉÕ¤±¤è¤¦¤«¤È»×¤Ã¤Æ¤Þ¤¹¡£
FCR33¤â¥»¥Ã¥Æ¥£¥ó¥°¤òÊѹ¹¤·¤Þ¤·¤¿¡£FCR28¤ÎÊý¤Ï¥·¥ç¡¼¥È¥¹¥Ô¥´¥Ã¥È¤Ê¤Î¤Ç
¥Ô¥Ã¥¯¥¢¥Ã¥×¤ÏÎɤ¤¤Î¤Ç¤¹¤¬
¥È¥ë¥¯¤¬¤Á¤ç¤Ã¤ÈÄ㤤´¶¤¸¤¬¤·¤Þ¤¹¡£
¤Þ¤¡ËͤÎÂνŤÇÁö¤ë¤Î¤Ç¤Á¤ç¤Ã¤È¤Ç¤â¥È¥ë¥¯¤¬¾å¤¬¤ì¤Ð
¤â¤Ã¤È¥¿¥¤¥à¤â½Ì¤á¤ì¤ì¤Ð¤È»×¤Ã¤Æ¡£
¤·¤«¤â¥Ù¥Û¥ê¤È¤Î2ǯ±Û¤·¤Î·èÃå¤âÉÕ¤±¤¿¤¤¤·£÷
¸ò´¹´°Î»¤Ç¥¨¥ó¥¸¥ó¤ò³Ý¤±¤Æ¤ß¤Þ¤·¤¿¡£ÌÀ¤é¤«¤Ë¥È¥ë¥¯´¶¤¬UP¤·¤¿´¶¤¸¤¬
ÅÁ¤ï¤Ã¤ÆÍè¤ë¤Î¤Ç
Îɤ¤¥¿¥¤¥à¤¬½Ð¤ë¤È»×¤¤¤Þ¤¹¡£
¥Ð¥Ã¥Æ¥ê¡¼¤Î¥á¥ó¥Æ¥Ê¥ó¥¹½¼ÅŤʤɽô¡¹¤Î¥Á¥§¥Ã¥¯¤ò¡¢¤³¤ì¤«¤é¤ä¤Ã¤Æ
Íè·î¤ÎROC¤ËÈ÷¤¨¤Þ¤¹¡£
ÂÇÅݥ٥ۥꡪ
¥Ö¥é¥¹¥Èºî¶È»°ÆüÌÜ
ί¤Þ¤Ã¤Æ¤¤¤¿¥Ö¥é¥¹¥Èºî¶È¤â»°ÆüÌܤȤʤê¤Þ¤·¤¿¡£
¥ª¥¤¥ë¥Õ¥£¥ë¥¿¡¼¥±¡¼¥¹¤â¤ä¤Ã¤È½ª¤ï¤ê¤Þ¤·¤¿¤¬
·Ú¤¤ÉôÉʤϺ¸¼ê¤Ç»ý¤Ã¤Æ¤¤¤ë¤À¤±¤Ç
°µÎϤËÉ餱¤Æ¾®»Ø¤¬Äˤ¤¤Ç¤¹¡£
¥ê¥¢¥Ï¥Ö¤°¤é¤¤¤Î½Å¤µ¤Ê¤é²¿¤È¤«²¡¤¨¤é¤ì¤ë¤Î¤Ç
³ä¤È³Ú¤Ë¥Ö¥é¥¹¥È¤Ç¤¤Þ¤¹¤Í¡£
¥µ¥¯¥Ã¤È´°Î»¡£
¥ê¥Æ¡¼¥Ê¡¼¤òÆþ¤ì¤ë½ê¤ò¥ê¥¿¥Ã¥×¤·¤Æ¾Æ¤¤Ä¤«¤Ê¤¤¤è¤¦¤Ë¤·¤Æ¤«¤é
¥ê¥Æ¡¼¥Ê¡¼¤òÆþ¤ì¤ë¤È
³Ú¤ËÆþ¤ê¤Þ¤¹¡£
¥Õ¥í¥ó¥È¥Ï¥Ö¤â¥Ù¥¢¥ê¥ó¥°¤ò¼è³°¤·¡£¥µ¥ó¥É¥Ö¥é¥¹¥È¤ò¤µ¤ì¤Æ¤¤¤ë¤Î¤Ç
¥¶¥é¥¶¥é¤ÇºÇ°¤Ç¤¹¡£
¥¦¥¨¥Ã¥È¥Ö¥é¥¹¥È¤Ç»Å¾å¤²¤ì¤Ð¤³¤ó¤Ê¤ËåºÎï¤Ë»Å¾å¤¬¤ê¤Þ¤¹¤·
¤·¤Ã¤«¤êÀö¾ô¤·¤Æ¥¨¥¢¥Ö¥í¡¼¤¹¤ì¤Ð
¥á¥Ç¥£¥¢¤â»Ä¤ê¤Þ¤»¤ó¡£
º£Æü°ì¤Ç¾®»Ø¤¬Äˤ«¤Ã¤¿»Å»ö¤Ï¥Ð¥Õ³Ý¤±¤Ç¤·¤¿¡£
¤â¤¦¾®»Ø¤¬¤Þ¤¿Àޤ줽¤¦¤Ê¤Î¤Ç
¤³¤ì¤°¤é¤¤¤Ç»ß¤á¤Þ¤·¤¿¡¦¡¦¡¦
°ìÀ褺¥Ï¥Ö¤Î¥ê¥á¥¤¥¯¤Ï´°Î»¡£¥¹¥×¥í¥±¥À¥ó¥Ñ¡¼¤â¿·Éʤ˸ò´¹¡£
Àè¤Ë½ÐÍè¾å¤¬¤Ã¤Æ¤¤¿¥Õ¥ì¡¼¥à¤Ë
¼èÉÕ¤¯»ö¤Ë¤Ê¤ê¤Þ¤¹¡£
18¹æµ¡ÍÑ¥¨¥ó¥¸¥ó¬Äê
Å·µ¤¤¬²ø¤·¤¤¤Î¤Ç¡¢Ã¯¤âÍè¤Ê¤¤¤È»×¤Ã¤Æ¤¤¤¿¤é
¤¤¤Ä¤â¤Îµì2¹æµ¡¤ÎO¤µ¤ó¤¬¼Ö¤Ç¤´ÍèŹ£÷
¤¤¤Ä¤â²¿¤«¤È¼êÅÁ¤Ã¤Æ¤â¤é¤Ã¤Æ¤Þ¤¹¡£º£Æü¤Ï18¹æµ¡¤Î¹ø²¼¤òʬ²ò¡£
¥¯¥é¥ó¥¯¤ò¸«¤ë¤È408¥¯¥é¥ó¥¯¤À¤Ã¤¿¡¦¡¦¡¦
»Äǰ¤Ê»×¤¤¤Ç¤·¤¿¤¬
¥á¥¿¥ë¹ç¤ï¤»¤Î°Ù¤Ë¬Äê¡£Àè¤Ë¥³¥ó¥í¥Ã¥É¥á¥¿¥ë¤ò¬Äꤹ¤ë¤È
#4¤¬°Û¾ï¤ËËáÌפ·¤Æ¤ª¤ê
¤È¤Æ¤â»È¤¤Êª¤Ë¤Ê¤é¤Ê¤¤
¶²¤é¤¯²¿¤«¥È¥é¥Ö¥ë¤¬¤¢¤Ã¤¿¥¯¥é¥ó¥¯¤Ë´Ö°ã¤¤¤Ê¤¤¤Î¤Ç¡¢¥´¥ßÈ¢¹Ô¤¤È¤Ê¤ê¤Þ¤·¤¿¡£
¤Ê¤Î¤Ç¡¢ÀèÆü¼«Âð¤Þ¤Ç¼è¤ê¤Ë¹Ô¤Ã¤¿
¥¯¥é¥ó¥¯¤ò¤ä¤Ã¤Ñ¤ê»È¤¦»ö¤Ë¤Ê¤ê¤Þ¤·¤¿¡£
¥¯¥é¥ó¥¯¤ò¬Äê¸å¤Ë¥Ø¥Ã¥É¤ÎÏĤ߬Äê3¸Ä¥Ø¥Ã¥É¤¬¤¢¤ë¤Î¤Ç
¤Þ¤º¤Ï1¸ÄÌÜ¡£
¶Ï¤«¤ËÀˤ·¤¤¡ª0.04¤Çµ¬ÄêÃÍ¥®¥ê¥®¥ê¥¢¥¦¥È¡ª
Ê¿Ì̸¦Ëá¹Ô¤¤È¤Ê¤ê¤Þ¤·¤¿¡£
2¸ÄÌܤΥإåɤò¬Äê¡£¤³¤ì¤Ïµ¬ÄêÃÍÆâ¤Ç¹ç³Ê¡£
¥Ý¡¼¥È¸¦Ëá¤âÅÓÃæ¤Þ¤Ç¤ä¤Ã¤Æ¤¤¤ë¤Î¤Ç
¤³¤ì¤ò»È¤ª¤¦¤«¤È»×¤Ã¤Æ¤Þ¤¹¡£
3¸ÄÌܤϻÄǰ¤Ê»ö¤ËÂçÏĤߡª²¿¤È0.1mm°Ê¾å¤âÏĤó¤Ç¤Þ¤·¤¿¡£
¤³¤ì¤âÊ¿Ì̸¦Ëá¹Ô¤¤È¤Ê¤ê¤Þ¤¹¡£
¥·¥ê¥ó¥À¡¼¤ÏÊ¿Ì̸¦ËáºÑ¤ß¤Ê¤Î¤Ç
¥Ü¡¼¥ê¥ó¥°¤À¤±¤Ë¤Ê¤ê¤Þ¤¹¡£
º£Æü¤Ï¤³¤³¤Þ¤Ç¡£
2016ǯ09·î24Æü
·ÈÂÓÅÅÏøξ㡩
¥¹¥Þ¥Û¤¬¤ÎÅŸ»¤¬¾¡¼ê¤ËÀÚ¤ì¤Æ
¾¡¼ê¤ËºÆµ¯Æ°¤¹¤ë¤è¤¦¤Ë¤Ê¤Ã¤¿¡¦¡¦¡¦
¤·¤«¤â¾¡¼ê¤ËΩ¤Á¾å¤¬¤Ã¤¿»þ¤Ë¤Ï
ÅÅÏäâ¥Í¥Ã¥È¤â·Ò¤¬¤é¤Ê¤¤¾õÂÖ¤ÇΩ¤Á¾å¤¬¤ë¤Î¤Ç
¤â¤¦¸Â³¦¤«¤âÃΤì¤Ê¤¤¤Èº£Ä«»×¤Ã¤Æ¤¤¤¿¤é
µ¡¼ï¤Ï°ã¤¦¤±¤É¥µ¥à¥¹¥ó¤Î¥¹¥Þ¥Û½Ð²Ð»ö·ï¤òʹ¤¤¤¿¤Î¤Ç
¥¢¥¤¥Õ¥©¥ó7¤Ëµ¡¼ïÊѹ¹¤·¤è¤¦¤«¤Ê¡£
ËÜÆü¤Î¤´ÍèŹ
¥¨¥ó¥¸¥ó¥«¥Ð¡¼¥Ö¥é¥¹¥È¤ÎͽÄê¤Ç
Ä«°ì¤Ë¤´ÍèŹĺ¤¤¤¿¤Î¤Ç¤¹¤¬
Ëͤμê¤ò¸«¤Æ¡¢¤Þ¤¿¼¡²ó¤Ë¤Ç¤â¤È¶Ä¤Ã¤ÆÄº¤¤Þ¤·¤¿¡£
¥¢¥Õ¥¿¡¼¥Õ¥¡¥¤¥ä¡¼¤¬Â¿¤¤¤é¤·¤¤¤Î¤È
º£¸å¤Î¥á¥ó¥Æ¥Ê¥ó¥¹¤Î¤´ÁêÃÌ¡£
¼è¹ç¤¨¤ºÅÀ²Ð·Ï¤ò¥Á¥§¥Ã¥¯¤·¤ÆÄ´À°¡¢¸å¤Ï¥¥ã¥Ö¤¬Èó¾ï¤Ë²ø¤·¤¤¡£
¤Ç¤â¡¢¤½¤ì¤Ê¤ê¤ËÄ´»Ò¤â¾å¤¬¤Ã¤¿¤Ï¤º¤Ç¤¹¡£
¤´Ãíʸ¤ò夤¤Æ¤¤¤Æ¤¤¤¿
¥è¥·¥à¥éÌý²¹·×Íѥϡ¼¥Í¥¹¤âÆþ²Ù
µþÀð»Ò¤È54.5¦Õ¥Ô¥¹¥È¥ó¥ê¥ó¥°¤È
¥Ô¥¹¥È¥ó¥Ô¥ó¤âÆþ²Ù¤·¤ÆÍè¤Æ¤Þ¤¹¡£
Ìý²¹·×¤â¼¡²ó¤Ë¼èÉÕ¤±¤Þ¤¹¤Í¡£
Âè»Í²óøϩÅç¥Ð¥¤¥¯¥Õ¥§¥¹¥¿Íѥݥ¹¥¿¡¼
Âè»Í²óøϩÅç¥Ð¥¤¥¯¥Õ¥§¥¹¥¿¤Î¥Ý¥¹¥¿¡¼¤¬¼çºÅ¤ÎPMCÍͤ«¤éÆÏ¤¤¤¿¤Î¤Ç
Áá®Æþ¸ý¤ËÂ礤¤¥Ý¥¹¥¿¡¼¤òޤê¤Þ¤·¤¿¡£
º£¤Þ¤Ç¤Ï¥¢¥²¥¤¥ó¤µ¤ó¤ä¥¢¥Ë¡¼¥º¤µ¤ó¤Î
¤ª¼êÅÁ¤¤¤Ç»²²Ã¤·¤Æ¤¤¤¿¤Î¤Ç¤¹¤¬
º£²óCP¤È¤·¤Æ¤Ï½é½ÐŹ¤Ë¤Ê¤ê¤Þ¤¹¡£
ËÜÅö¤Ê¤éZ·ÏÍѶ¯²½¥ª¥¤¥ë¥Ý¥ó¥×¤ò
¤³¤³¤Ë´Ö¤Ë¹ç¤ï¤»¤¿¤«¤Ã¤¿¤Î¤Ç¤¹¤¬
»Äǰ¤Ê¤¬¤é¤Þ¤¿¤â¤ä´Ö¤Ë¹ç¤¤¤Þ¤»¤ó¤Î¤Ç
CB400F·Ï¤ä¿Íµ¤¤Î¥¬¥ì¡¼¥¸¥»¡¼¥ë¤â
¤ä¤ë»ö¤Ë¤Ê¤ê¤Þ¤¹¤¬¡¢¥¹¥¿¥Ã¥Õ¤¬¥®¥ê¥®¥ê¤Ê¤Î¤Ç
¤ª¼êÅÁ¤¤¤ÎÊý¤â¤è¤í¤·¤¯¤ª´ê¤¤¤·¤Þ¤¹¡£
¥¨¥ó¥¸¥ó¥Ö¥é¥¹¥ÈÆóÆüÌÜ
ºòÆü¤ÏÍè·î·ì±Õ¸¡ºº¤¬¤¢¤ë»ö¤ò»×¤¤½Ð¤·
´í¤¦¤¯°û¤ó¤Ç¤·¤Þ¤¦½ê¤Ç¤·¤¿¤¬¡¢²¿¤È¤«Æ§¤ß¤È¤É¤Þ¤ê¤Þ¤·¤¿¡£
ºòÆü¥Ö¥é¥¹¥È¤·¤¿ACG¥«¥Ð¡¼¤Ç¤¹¤¬
·ë¹½¤Ê¥¬¥ê½ý¤¬¤¢¤Ã¤¿¤Î¤Ç
¼è¹ç¤¨¤º½¤Àµ¤·¤Æ¤ß¤ë»ö¤Ë¤·¤Þ¤·¤¿¡£
¤Þ¤º¤Ï¹Ó»Å¾å¤²¡¢¶ÑÅù¤Ëºï¤êÍî¤È¤·¤Æ
°ãÏ´¶¤Î¤Ê¤¤Íͤˤ·¤Þ¤¹¤¬
¤É¤¦¤·¤Æ¤â¿¼¤¤½ý¤Ï¸·¤·¤¤¤Ç¤¹¡£
¤³¤³¤ÇºÙ¤«¤Ê¥Ú¡¼¥Ñ¡¼¤Ç»Å¾å¤²¤ë¤Î¤Ç¤¹¤¬
¼ê¤¬Äˤ¤¤Î¤ÇüÀޤäÆ
¥¦¥¨¥Ã¥È¥Ö¥é¥¹¥È¤Ç»Å¾å¤²¤Þ¤·¤¿¤¬
º£°ì¤Ä¤Ê¤Î¤Ç
¥Ð¥Õ¤Ã¤Æ¤ß¤Þ¤·¤¿¡£
ºÇ½é¤Î¾õÂÖ¤è¤ê¤ÏÎɤ¤¤È»×¤¤¤Þ¤¹¡£
¿ʬ¸À¤ï¤Ê¤¤¤Èʬ¤«¤é¤Ê¤¤¥ì¥Ù¥ë¤Ç¤¹¡£
¼¡2¸ÄÌÜ
¤³¤Ã¤Á¤ÎÊý¤¬½ý¤¬¹ó¤¤¤Ç¤¹¡£
¾å¼ê¤¯¹Ô¤±¤ë¤«¤Ê¤¡¡¦¡¦¡¦
¹Ó»Å¾å¤²¤Ç¤³¤³¤Þ¤Çºï¤êÍî¤È¤·¤Þ¤·¤¿¡£
¤É¤Á¤é¤«¤È¸À¤¨¤Ð
Éå¿©¤ÎÊý¤¬¹ó¤¤¤Ç¤¹£÷
¤³¤ì¤ÏÃæ»Å¾å¤²¤â¤·¤Æ¤ß¤Þ¤·¤¿¤¬
¤ä¤Ã¤Ñ¤êÉå¿©¤ÎÊý¤¬¿¼¤¤¤Ç¤¹¡£
¥Ö¥é¥¹¥È¤Ç»Å¾å¤²¤Þ¤·¤¿¡£
¤³¤ì¤Ç¤â½½Ê¬¤À¤È»×¤¤¤Þ¤¹¤¬
ºÇ¸å¤Î»Å¾å¤²¤Ï¤ä¤Ã¤Ñ¤ê
¥Ð¥Õ³Ý¤±¤Ç»Å¾å¤²¤Þ¤·¤¿¡£
½ý¤Î¤¢¤Ã¤¿Éôʬ¤ÎÊý¤¬
åºÎï¤Ë»Å¾å¤¬¤Ã¤Æ¡¢Éå¿©¤·¤¿Êý¤Î»Å¾å¤¬¤ê¤¬
µÕ¤ËÉÔºÙ¹©¤Ë¤Ê¤Ã¤Æ¤·¤Þ¤¤¤Þ¤·¤¿£÷
3¸ÄÌܤΥ·¥ê¥ó¥À¡¼¥Ø¥Ã¥É¤â
¥Ö¥é¥¹¥È¤Ç»Å¾å¤²¤Þ¤¹¡£
¤â¤¦º£Æü¤Ï¤³¤ì¤¬ºÇ¸å¤Îºî¶È¤Ë¤Ê¤ë¤«¤Ê¡£
¤Ç¡¢¤ä¤Ã¤È½ªÎ»¤Ç¤¹¤¬
¥ê¥¿¥Ã¥×Áݽü¤ò¤³¤ì¤«¤é¤ä¤Ã¤Æ½ª¤ê¤Ç¤¹¡£
¸å¤Ï¥ª¥¤¥ë¥Õ¥£¥ë¥¿¡¼¥±¡¼¥¹¤¬
2¸Ä»Ä¤Ã¤Æ»Ä¤Ã¤Æ¤¤¤ë¤À¤±¤È¤Ê¤ê¤Þ¤·¤¿¡£
µÕ¥¿¥Ã¥×ÀÞ¤ì¹þ¤ß½¤Àµ´°Î»
º£ÆüÆâdzµ¡²°¤µ¤ó¤«¤éÌá¤Ã¤Æ¤¤¿¡¢µÕ¥¿¥Ã¥×¤¬ÀÞ¤ì¹þ¤ó¤À¥¢¥Ã¥Ñ¡¼¥±¡¼¥¹¡£
Í¾Äø¼ê´Ö¤¬³Ý¤«¤Ã¤Æ¤·¤Þ¤Ã¤¿¤é¤·¤¯
¤â¤¦º£ÅÙ¤«¤é¤ÏµÕ¥¿¥Ã¥×¤ÎÀÞ¤ì¹þ¤ß
½üµîºî¶È¤ÏÃǤé¤ì¤ë»ö¤Ë¤Ê¤Ã¤Æ¤·¤Þ¤¤¤Þ¤·¤¿¡¦¡¦¡¦
¤É¤Á¤é¤«¤È¸À¤¨¤ÐÍø±×¤è¤ê¤â
ºî¶È¤òÃǤé¤ì¤ëÊý¤¬¸·¤·¤¤¤Ç¤¹¡£
¤Þ¤¿ÏÓ¤ÎÎɤ¤½ê¤òõ¤µ¤Ê¤¤¤È¡¦¡¦¡¦
¿åÍËÆü¤Ë»ý¤Ã¤Æ¹Ô¤¤Þ¤¹¡£
2016ǯ09·î23Æü
¥Ö¥é¥¹¥È¥Ç¡¼
¥Á¥ã¥Ã¥Ô¡¼¤¬ËͤΥ®¥Ö¥¹¤ò¤ª¤â¤Á¤ãÂå¤ï¤ê¤Ë»þ¡¹¤«¤¸¤Ã¤ÆÍ·¤ó¤Ç¤¤¤¿¤Î¤Ç¤¹¤¬
¥Æ¡¼¥Ô¥ó¥°¤Ë¤Ê¤Ã¤Æ¤«¤é¤â
¾®»Ø¤ò¤«¤¸¤Ã¤ÆÍè¤ë¤Î¤Ç
ËèÆü¤¬·ã¤·¤¯Äˤ¤¤Ç¤¹¡¦¡¦¡¦
¤Ç¤â¡¢º£Æü¤«¤é²Ç¤È2Çñ¤ÇÍ·¤Ó¤Ë¹Ô¤Ã¤¿¤Î¤Ç
¤ª¤â¤Á¤ãÂå¤ï¤ê¤Ë¤µ¤ì¤Ê¤¯¤ÆºÑ¤ß¤½¤¦¤Ç¤¹¡£
º£Ä«¡¢Í·¤Ó¤Ë¹Ô¤¯²Ç¤Ë
¡Ö¼«Ê¬¤é¤À¤±Í·¤Ó¤Ë¹Ô¤¤ä¤¬¤Ã¤Æ¡ª¡×
¤È¡¢¤Á¤ç¤Ã¤«¤¤¤ò³Ý¤±¤¿¤é
·ã¤·¤¤¥Ü¥Ç¥£¥Ö¥í¡¼¤ò5.6ȯĺ¤¤Þ¤·¤¿¡£
º£ÈÕ¤«¤é°ì¿Í¤Ê¤Î¤Ç¡¢¼ò¤Ç¤â°û¤ó¤Ç¤ä¤í¤¦¤«¤Ê¡ª
18¹æµ¡ÍÑ¥¨¥ó¥¸¥ó¥Ñ¡¼¥Ä
²¿¤È¤«»Å»ö¤¬½ÐÍè¤ë¤è¤¦¤Ë¤Ê¤Ã¤¿¤Î¤Ç¡¢Áá®18¹æµ¡¤Î¥¨¥ó¥¸¥ó¤ò½àÈ÷¡£
¥Ô¥¹¥È¥ó¤Ï¥è¥·¥à¥é54.5¦Õ¤Ë¤·¤Þ¤¹¡£¥«¥Ð¡¼Îà¤Ï¥Ð¥Õ³Ý¤±¤·¤Æ¤¢¤ëʪ¤ò
Êõʪ¸Ë¤«¤éõ¤·½Ð¤·¤Þ¤·¤¿¡£
408¥¯¥é¥ó¥¯¤ò¼«Â𤫤é
»ý¤Ã¤ÆÍè¤ë¤Î¤ò˺¤ì¤¿¤Î¤Ç½ãÀµÉôÉʤ¬Æþ²Ù¤·¤¿¤Ä¤¤¤Ç¤Ë
¼è¤ê¤Ë¹Ô¤Ã¤Æ¤¤Þ¤·¤¿¡£
¹ø²¼¤â¥Ü¥Á¥Ü¥Áʬ²ò¤·¤Æ¹Ô¤¤Þ¤¹¡£
º£Æü¤Î¥Ö¥é¥¹¥ÈͽÄêÉôÉÊã
ί¤Þ¤Ã¤Æ¤¤¤¿¥Ö¥é¥¹¥Èºî¶È¤â¤ä¤é¤Ê¤¤¤È¤¤¤±¤Ê¤¤¤Î¤Ç
º£Æü¤«¤é2.3Æü¤Ï¥Ö¥é¥¹¥È¥Ç¡¼¤Ë¤Ê¤ê¤Þ¤¹¡£¥¿¥¤¥ß¥ó¥°¤¬Îɤ¤¤È¡¢ÅÅÏä⻤¬
ʹ¤³¤¨¤ë¤Î¤Ç¤¹¤¬¡¢¶²¤é¤¯ÅÅÏäˤÏ
½Ð¤é¤ì¤Ê¤¤¤È»×¤Ã¤Æ²¼¤µ¤¤¡£
¼è¹ç¤¨¤º¥·¥ê¥ó¥À¡¼¥Ø¥Ã¥É¤ò1¸Ä¥Ö¥é¥¹¥È¤Ç»Å¾å¤²¤Þ¤·¤¿¡£
ÃúÅÙ¥¿¥¤¥ß¥ó¥°Îɤ¯ÅÅÏä¬ÌĤê
ÉôÉʤ¬ÆÏ¤¤¤¿¤È¸À¤¦¤Î¤Ç
¤Ä¤¤¤Ç¤Ë¥¯¥é¥ó¥¯¤â¼«Âð¤Þ¤Ç¼è¤ê¤Ë¹Ô¤Ã¤Æ¤¤Þ¤·¤¿¡£
¥Ö¥í¡¼¥Ð¥¤¥«¥Ð¡¼¤ò3¸Ä¥Ö¥é¥¹¥È¤Ç»Å¾å¤²¤Þ¤·¤¿¡£
¤½¤ì¤Ê¤ê¤ËÉå¿©¤¬¤¢¤ë¤Î¤Ç¤¹¤¬
18¹æµ¡ÍѤϥХճݤ±¤Ç¤â¤·¤è¤¦¤«¤Ê¡£
ACG¥«¥Ð¡¼¤â¥Ö¥é¥¹¥È¤·¤Þ¤·¤¿¤¬¥¬¥ê½ý¤¬·ë¹½¤¢¤ë¤Î¤Ç
½¤Àµ²Ã¹©¤ò¤·¤Æ¡¢¤³¤ì¤â¥Ð¥Õ³Ý¤±¤Ç
»Å¾å¤²¤ë»ö¤Ë¤·¤Þ¤¹¡£
»Ä¤ê¤Ï¥ª¥¤¥ë¥Õ¥£¥ë¥¿¡¼¥±¡¼¥¹2¸Ä¤È¥Ø¥Ã¥É¥«¥Ð¡¼1¸Ä¡¢¥·¥ê¥ó¥À¡¼¥Ø¥Ã¥É1¸Ä¤Ç¤¹¡£
µþÅÔH¹æ¥·¡¼¥È¥í¥Ã¥¯¤È¥Ò¥ó¥¸
¤Ä¤¸¤Ä¤Þ¹ç¤ï¤»¤Î¼êºî¤ê¥·¡¼¥È¥Ò¥ó¥¸¤Î¤ª±¢¤Ç
¤¢¤ë¤Ù¤¥¯¥Ã¥·¥ç¥ó¥´¥à¤òÆþ¤ì¤¿¤é²¿¤â¤«¤â¤¬¹ç¤ï¤Ê¤¤¤Î¤Ç
¥·¡¼¥È¥í¥Ã¥¯¤â½ÐÍè¤Ê¤¯¤Ê¤Ã¤¿¡£
¼êºî¤ê´¶ËþºÜ¤Î¥·¡¼¥È¥Ò¥ó¥¸¤ò
ºî¤ëÏ«ÎϤȤ½¤ì¤ËÂФ·¤Æ¤Ä¤¸¤Ä¤Þ¤ò¹ç¤ï¤»¤ëÏ«ÎϤÏ
´Ø¿´¤µ¤»¤é¤ì¤Þ¤¹¤¬
¥·¡¼¥È¥í¥Ã¥¯¤Ê¤É¤Î¥¯¥Ã¥·¥ç¥ó¥´¥à¤ò³°¤µ¤Ê¤¤¤È
¥·¡¼¥È¤Î¼èÉÕ¤±¤¬¾å¼ê¤¯½ÐÍè¤Ê¤«¤Ã¤¿¤ó¤À¤í¤¦¤È»×¤¤¤Þ¤¹¡£
¤Á¤ã¤ó¤ÈÀµµ¬¤Îʪ¤òÉÕ¤±¤ì¤Ð
²¿¤Î¶ìÏ«¤â̵¤¤¤Î¤Ë¡¦¡¦¡¦
¤³¤ì¤ÇµþÅÔH¹æ¤Î¥·¡¼¥ÈÌäÂê¤Ï²ò·è¤·¤Þ¤·¤¿¤¬¡¢¤Þ¤À¥ê¥¸¥Ã¥È¤ÊÉôʬ¤â¤¢¤ê
¥á¥¤¥ó¥Ï¡¼¥Í¥¹¡¢¥Ï¥ó¥É¥ë¥¹¥¤¥Ã¥Á
¥ê¥¢¥Õ¥§¥ó¥À¡¼¥Ï¡¼¥Í¥¹¤â
¤³¤ÎÀèľ¤·¤¿Êý¤¬Îɤ¤¤Ë·è¤Þ¤Ã¤Æ¤ë¡¦¡¦¡¦
¼è¹ç¤¨¤ºº£²ó¤Îºî¶È¤Ï´°Î»¤·¤Þ¤·¤¿¡£
2016ǯ09·î22Æü
½©¤ÎÁ´¹ñ½¸¶â¸òÄ̸¡µóÂç²ñ
¸òÄ̤ΰÂÁ´¤ò¼é¤ë°Ù¤Î¸¡µó¤¸¤ã¤Ê¤¯
¸¡µó¤Î°Ù¤Î°Ù¤Î¸¡µó¡£
¸òÄ̤ΰÂÁ´¤ò¼é¤ëÌÜŪ¤Ê¤é¡¢·Ù»¡¤ÎÍÞ»ßÎϤò»ý¤Ã¤Æ¤ä¤ë¤Î¤¬
¡Ö½©¤ÎÁ´¹ñ¸òÄ̰ÂÁ´´ü´Ö¡×
¤½¤ÎÍÞ»ßÎϤò»È¤ï¤º¤·¤Æ±£¤ì¤Æ¼è¤êÄù¤Þ¤ë¹Ô°Ù¤Ï¸¡µóÌÜŪ¤Î¸¡µó¡£
ȿ§¶â¡¢È³¶â¤ò½¸¤á¤¿¤ê¡¢¹Ö½¬ÎÁ¡¢¾Ú»æÂå¤â½¸¤Þ¤ë¤«¤é
¤ª¤¤¤·¤¤½¸¶â´ü´Ö¤È¤Ê¤ê¤Þ¤¹¤«¤é
°ãË¡¤Ê¼èÄù¤ê¤Ë¤Ï¹³µÄ¤·¡¢ÅÛ¤é¤ÎºâÉÛ¤ò½á¤µ¤Ê¤¤°Ù¤Ë¤â
¸òÄÌË¡µ¬¤ò¼é¤Ã¤Æ°ÂÁ´±¿Å¾¤ÇÁö¤ê¤Þ¤·¤ç¤¦¡£
²¾¤Ë¡¢Ã¯¤â°ãÈ¿¤ò¤·¤Ê¤¯¤Ê¤Ã¤¿¤é
·Ù»¡½ðÆâ¤Ç¤â·ù¤ï¤ì¼Ô¤Î¸òÄ̲ݤʤó¤ÆÊª¤Ï
¸ºß½ÐÍè¤Ê¤¯¤Ê¤ë¤Ï¤º¤Ç¤¹¡£
Åۤ餬½ðÆâ¤Ëµï¤ì¤Ê¤¤Íýͳ¤Ë¤Ï¡¢½ðÆâ¤Ëµï¤ë¤È»Å»ö¤ò¤·¤Æ¤¤¤Ê¤¤¤È
¾¤Î²Ý¤Î½ð°÷¤«¤éÎä¤ä¤ä¤«¤ÊÌܤǸ«¤é¤ì¤ë¤«¤é¤Ç¤¹¡£
(¸½Ìò¸òÄ̲ݤÎÊý¤¬µã¤¤Ê¤¬¤éËͤËÏä·¤¿ËÜÅö¤ÎÏäǤ¹¡Ë
¥è¥·¥à¥é¥Î¥Ù¥ê¥Æ¥£¥°¥Ã¥º
¥¿¥¤¥ß¥ó¥°¤Î°¤¤»ö¤Ë¡¢²Ç¤¬Å¹¤Ëµï¤ë»þ¤ËÇÛ㤵¤ì¤¿
¥è¥·¥à¥é¥¸¥ã¥Ñ¥ó¤Î¥Î¥Ù¥ê¥Æ¥£¥°¥Ã¥º¡£¶Í¤ÎÈ¢¤ËÆþ¤Ã¤¿¥è¥·¥à¥é¥¸¥ã¥Ñ¥ó¤Î
¥è¥·¥à¥éµþÀð»Ò¤Ç¤¹¡£
Àð»Ò¤Ï°ìËÜ»ý¤Ã¤Æ¤¤¤ë¤Î¤Ç¤¹¤¬
¤³¤ì¤Ï¤³¤ì¤Ç»ý¤Á¤¿¤¤Àð»Ò¤À¤Ã¤¿¤Î¤ÇÌۤäÆÇã¤Ã¤¿¤Î¤Ç¤¹¤¬¡¦¡¦¡¦
¿Í¤Î¼ñÌ£¤Ë¸ý½Ð¤·¤µ¤ì¤ë¤È
¥à¥«¤Ä¤¯¤±¤É¡¢¸À¤¤ÊÖ¤»¤Ê¤¤¤«¤é¿É¤¤¡¦¡¦¡¦
18¹æµ¡ÍÑ¥Õ¥í¥ó¥È¡¢¥¨¥ó¥¸¥ó
Ãíʸ¤·¤Æ¤¤¤¿¥Õ¥í¥ó¥È¥¿¥¤¥ä¤¬Æþ²Ù¤·¤Æ¤¤¿¤Î¤Ç
ÁᮼèÉÕ¤±¡£18¹æµ¡¤Ï¥«¥Õ¥§¥ì¡¼¥µ¡¼É÷¤Ë
»Å¾å¤²¤è¤¦¤È»×¤Ã¤Æ¤Þ¤¹¡£
¤Ê¤Î¤Çº£É÷¤Î¥«¥¹¥¿¥à¤¸¤ã¤Ê¤¯
°ìÀÎÁ°¤Î¥«¥¹¥¿¥à¤Ë¤Ê¤ê¤Þ¤¹¡£CB550¤äCB500¤Î¥Õ¥í¥ó¥È¼þ¤ê¤â¤¢¤ë¤Î¤Ç¤¹¤¬
¥»¥Ñ¥Ï¥ó»ÅÍͤˤ·¤¿¤«¤Ã¤¿¤Î¤Ç
¤³¤Î¥¹¥¿¥¤¥ë¤Ë¤·¤Æ¤ß¤Þ¤·¤¿¡£
¸å¤Ï¥Õ¥ì¡¼¥à¤¬»Å¾å¤¬¤Ã¤ÆÍè¤ë¤Î¤òÂԤĤÀ¤±¤Ç¤¹¡£
º¸¼ê¤¬Â¿¾¯¼«Í³¤Ë¤Ê¤Ã¤¿¤Î¤ÇÁᮥ¨¥ó¥¸¥ó¤Î²¼ÙϤ¨¤Ë³Ý¤«¤ê¤Þ¤¹¡£
¿·µÏ¿¤Ë¤ÏÆÏ¤¤Þ¤»¤ó¤Ç¤·¤¿¤¬
¥¬¥¹¥±¥Ã¥È¤¬12Ëç½Ð¤ÆÍè¤Þ¤·¤¿¡£
¥Ø¥Ã¥É¤òʬ²ò¤·¤Æ¥¨¥ó¥¸¥ó¤ò¤É¤¦¸À¤¦É÷¤Ë¥«¥¹¥¿¥à¤¹¤ë¤«¤ò¹Í¤¨¤Þ¤¹¡£
¥«¥à¤Ïst1¡¢¥Ý¡¼¥È¤Ïºï¤í¤¦¤«¡¦¡¦¡¦
¤É¤¦¤·¤è¤¦¤«¡¦¡¦¡¦
ÄˤߤϤ¢¤ë¤±¤É¥¦¥¨¥Ã¥È¥Ö¥é¥¹¥Èºî¶È¤¬½ÐÍè¤ë¤«
¥Á¥ã¥ì¥ó¥¸¤·¤Æ¤ß¤Þ¤¹¡£
¤Þ¤¡¤Þ¤¡Äˤߤ¬¤¢¤Ã¤¿¤Î¤Ç»þ´Ö¤Ï³Ý¤«¤ê¤Þ¤·¤¿¤¬
²¿¤È¤«¥Ö¥é¥¹¥È´°Î»¤Ç¤¹¡£
¥ê¥¿¥Ã¥×Áݽü¡£
¥·¥ê¥ó¥À¡¼¤Ï0.5OS¥Ô¥¹¥È¥ó¤¬Æþ¤Ã¤Æ¤Þ¤¹¡£¤¦¡¼¤ó¡¦¡¦¡¦¥¥ã¥Ö¤Ï½ãÀµ¥Ñ¥ï¥Õ¥£¥ë»ÅÍͤÇ
¶¯²½¥Ð¥ë¥Ö¥¹¥×¥ê¥ó¥°¤Ë¥Ï¥¤¥«¥àst1
¹ø²¼¤ÏSTD»Å¾å¤²¤ÇÎɤ¤¤«¤Ê¤¡¡£
¼è¹ç¤¨¤ºº£Æü¤Ï¤³¤³¤Þ¤Ç¡£
2016ǯ09·î21Æü
¼«ºî¾®»ØÍÑ¥®¥Ö¥¹
ͼÊý¶á¤¯¤ËÅ·¸õ¤â²óÉü¤·¤ÆÍ褿¤Î¤Ç
½Ð¶Ð¤·¤Æ»ö̳½èÍý¡£
µ¢¤ê¤Ë¥Ý¥±¥â¥ó¤Î¥¹¥Ý¥Ã¥È¤ò¥¦¥í¥¦¥í¤·¤Æ¤¤¤¿¤é
Âиþ¤«¤é¼Ö¤¬¤ä¤Ã¤ÆÍ褿¤Î¤Ç
¶¹¤¤Æ»¤ò¾ù¤Ã¤Æ¤¢¤²¤¿¤é¡¢Èô¤ó¤ÀºÒÆñ¤À¤Ã¤¿¡¦¡¦¡¦
¤Þ¤µ¤«¤Î¤½¤³¤À¤±¡¦¡¦¡¦
»Ø¤ò2ËܸÇÄꤵ¤ì¤Æ¤¤¤ë¤Î¤Ç¡¢²¿¤«¤ÈÉÔÊØ¤À¤·
²¿¤è¤ê¥Ö¥é¥¹¥È¤¬½ÐÍè¤Ê¤¤¤Î¤Ç
¼«ºî¤Ç¾®»Ø¤ò¸ÇÄꤹ¤ë¥®¥Ö¥¹¤òºî¤Ã¤¿¡£¤³¤ì¤Ç3Ëܤ·¤«»È¤¨¤Ê¤«¤Ã¤¿º¸¼ê¤¬
4ËܻȤ¨¤ë¤è¤¦¤Ë¤Ê¤ë¤Ï¤º¡ª
Ëͤμê¤Ë¥Õ¥Ã¥Æ¥£¥ó¥°¤·¤ÆÈùÄ´À°¡£¤³¤ì¤ÇÊñÂÓ¤ò´¬¤±¤Ð¥Ð¥Ã¥Á¥ê¤À¤·
²¿¤Ê¤é¥Æ¡¼¥Ô¥ó¥°¤À¤±¤Ç¤â
Îɤ¤¤ó¤¸¤ã¤Ê¤¤¤«¤°¤é¤¤¤Î¥¯¥ª¥ê¥Æ¥£¡£
¤³¤ì¤Ç¥Ö¥é¥¹¥Èºî¶È¤¬½ÐÍè¤ë¤È°Õµ¤ÍÈ¡¹¤È²È¤Ëµ¢¤ëÆ»¤ò
¥Ý¥±¥â¥ó¤Î¥¹¥Ý¥Ã¥È½ä¤ê¤ò¤·¤Æ¤¤¤¿¤é
Âиþ¼Ö¤¬Í褿¤Î¤Çº¸¤ËÈò¤±¤ë¤È
Èò¤±¤¿½ê¤À¤±Â¦¹Â¤Î¥Õ¥¿¤¬Ìµ¤«¤Ã¤¿¡¦¡¦¡¦¸åÎØ¤¬¾å¤¬¤Ã¤Æ¤·¤Þ¤¤
¤â¤¦Á°¤Ë¤â¸å¤í¤Ë¤âư¤«¤Ê¤¤¤·
°ì¿Í¤Ç¤â»ý¤Á¾å¤¬¤é¤Ê¤¤½ê¤Ø
Ä̹ԿͤÎ2¿Í¤ÎÊý¤¬½õ¤±¤Æ¤¯¤ì¤ÆÌµ»ö¤Ëæ½Ð¤Ç¤¤Þ¤·¤¿¡£
²¿¤Ç¤â¤³¤³¤À¤±¥Õ¥¿¤¬Ìµ¤¯¡¢¤è¤¯Íî¤Á¤ë¤é¤·¤¤¡¦¡¦¡¦
¤½¤ó¤Ê»ö¤â¤¢¤ê¡¼¤Î¤Çº£Æüɱ¡¤Ø¹Ô¤Ã¤Æ¤¤Þ¤·¤¿¡£
¹ü¡¢Á´Á³¤¯¤ÃÉÕ¤¤¤Æ¤Þ¤»¤ó¤¬¡¦¡¦¡¦
Dr.¤Ëʹ¤¯¤È¡¢Á᤯¤Æ2.3¥ö·î¤é¤·¤¤¡¦¡¦¡¦
¤½¤ì¤Èº£Æü¤«¤é¸ÇÄê¤Ï»ß¤á¤Æ¥Æ¡¼¥Ô¥ó¥°¤Ë¤Ê¤Ã¤¿¡¦¡¦¡¦
¤Ê¤Î¤Ç¡¢ºòÆü°ìÀ¸·üÌ¿ºî¤Ã¤¿
¥ª¥ê¥¸¥Ê¥ë¥®¥Ö¥¹¤Ï
¤â¤¦»È¤ï¤Ê¤¤¤ÇÎɤ¤¤é¤·¤¤¡¦¡¦¡¦
¤Ê¤ó¤¸¤ã¤½¤ê¤ã¡£
µþÅÔH¹æ»Å¾å¤²
ɱ¡¤«¤éÌá¤ëÅÓÃæ¤Ç½ãÀµÉôÉʤò¼õ¤±¼è¤ê¤Ë¹Ô¤
¤½¤Î¤Þ¤ÞH¹æ¤Î»Å¾å¤²ºî¶È¡£¤³¤Î6²Õ½ê¤Î¥Ê¥Ã¥È¤¬µ¤¤Ë¤Ê¤ë¤Î¤Ç
¸ò´¹¤¹¤ë»ö¤Ë¤Ê¤ê¤Þ¤·¤¿¡£
¥µ¥¯¥Ã¤È¸ò´¹´°Î»¡£¤ä¤Ã¤Ñ¤³¤ì¤À¤Í¤§¡£
¥·¡¼¥È¤Î¥¯¥Ã¥·¥ç¥ó¥é¥Ð¡¼¤â¼èÉÕ¤±¤Þ¤·¤¿¡£¤³¤ì¤Ç¿¾¯¤Ê¤ê¤È¤â
¤ª¿¬¤Ø¤Î»É·ã¤¬¾¯¤Ê¤¯¤Ê¤ë¤Ç¤·¤ç¤¦¡£
¤À¤¬¡¦¡¦¡¦
¥·¡¼¥È¥í¥Ã¥¯¤Ë¤â¥«¥é¡¼¤ä¥´¥à¤¬Æþ¤Ã¤Æ¤Þ¤»¤ó¤Ç¤·¤¿¡¦¡¦¡¦
¤â¤¦¡ª
¥Ø¥Ã¥É¥é¥¤¥È¤ò¼èÉÕ¤±¤ë¤Î¤ËŤ¤¥ï¥¤¥ä¡¼¤Î¼è¤ê²ó¤·¤òÊѹ¹¤·¤Þ¤·¤¿¤¬
º¬ËÜŪ¤Ë̵Íý¤¬¤¢¤ë¤Î¤Ç
¤É¤¦¤·¤è¤¦¤â¤¢¤ê¤Þ¤»¤ó¡¦¡¦¡¦
¤È¤ê¤¢¤¨¤º¤Ï´°À®¤·¤Þ¤·¤¿¤¬¤Á¤ã¤ó¤È»Å¾å¤²¤ë¤Ë¤Ï
Í×ÁêÃ̲ս꤬·ë¹½¤¢¤ê¤Þ¤¹¤Î¤Ç
¤Þ¤¿¸åÆüÂǹ礻¤È¸À¤¦»ö¤Ç¡¦¡¦¡¦
2016ǯ09·î19Æü
18¹æµ¡ÉôÉÊ
¤»¤Ã¤«¤¯¤ÎÏ¢µÙ¤âÀ¸Áþ¤Î±«¤Ç»Äǰ¤Ç¤¹¡£
Ëͤξ®»Ø¤â¤³¤ÎÅ·¸õ¤Î¤»¤¤¤Ê¤Î¤«
¤½¤³¤½¤³¤ÎÄˤߤ¬¤¢¤ê¤Þ¤¹¡£
¿åÍËÆü¤Ëɱ¡¤Ø¹Ô¤¯¤Î¤Ç·Ð²á¤¬Îɤ±¤ì¤Ð¤¤¤¤¤Î¤Ç¤¹¤¬¡¦¡¦¡¦
¥Ö¥é¥¹¥Èºî¶È¤¬¤«¤Ê¤êί¤Þ¤Ã¤Æ¤¤¤ë¤Î¤Ç
¤³¤ì¤Ê¤é¼ê½Ñ¤·¤Æ¤ª¤¤¤¿Êý¤¬Îɤ«¤Ã¤¿¤«¤â¤Í¤§¡¦¡¦¡¦
ÌÀÆü¤Ï˽É÷±«¤é¤·¤¤¤Î¤Ç
³Ú¤·¤ß¤Ë¤·¤Æ¤¤¤¿É±¤È¤Î¥Ä¡¼¥ê¥ó¥°¤ÏÃæ»ß¡£
²¿¤Ê¤éÅ·¸õ¤Î¶ñ¹ç¤Ç¡¢¤ªÅ¹¤â¸áÁ°Ãæ¤À¤±½Ð¤Æ¤¤Æ
»ö̳½èÍý¤À¤±¤·¤Æµ¢¤í¤¦¤«¤Ê¡£
18¹æµ¡½àÈ÷
º£¥Õ¥ì¡¼¥à½¤Íý¤Ë½Ð¤·¤Æ¤¤¤ë¤Î¤¬13¹æµ¡¡¢17¹æµ¡¡¢18¹æµ¡¤Î3Âæ¡£
ͽÁۤǤÏ18¹æµ¡¤¬Àè¤Ë»Å¾å¤¬¤Ã¤ÆÍè¤ë¤È
»×¤Ã¤Æ¤¤¤ë¤Î¤Ç¡¢18¹æµ¡ÍѤÎÉôÉʤò
Àè¤Ë½¸¤á¤Æ¤¤¤ë½ê¤Ç¤¹¡£
ËÜÅö¤Ê¤é¥¨¥ó¥¸¥ó¤òÁȤó¤Ç¤¤¤ë½ê¤Ç¤¹¤¬
¥Ö¥é¥¹¥Èºî¶È¤¬½ÐÍè¤Ê¤¤¤Î¤Ç
¥¨¥ó¥¸¥ó¤òÁȤà»ö¤¹¤é½ÐÍè¤Ê¤¤¾õÂÖ¡£
¤Ê¤Î¤Ç¡¢É¬ÍפÊÉôÉʤò¤Þ¤È¤á¤Æ¤¤¤ëºÇÃæ¡£
¥¥ã¥Ö¤ÏÌÌÅݤʤΤÇFCR¤Ë¤·¤è¤¦¤«¤Ê¡¦¡¦¡¦
¥¯¥é¥Ã¥Á¤ÏÌý°µ¥ì¥ê¡¼¥º¤ò»È¤¦Í½Äê¡£
¥¨¥ó¥¸¥ó¤Ï¥Ü¥¢¥¢¥Ã¥×¤«0.5OS¤Î¤¤¤º¤ì¤«
³Ú¤·¤¯¾è¤ì¤ë¥Õ¥©¥¢¤òºî¤í¤¦¤È
»×¤Ã¤Æ¤Þ¤¹¡£
¥Õ¥í¥ó¥È¼þ¤ê¡¢¥Ö¥ì¡¼¥¤Ï¤è¤¯¸ú¤¤Þ¤¹¡£
¥¿¥¤¥ä¤ÏÌÀ¸åÆü¤°¤é¤¤¤«¤Ê¤¡¡¦¡¦¡¦
½àÈ÷´ü´Ö¤¬Ä¹¤¤¤Î¤Ç
ÁȤ߽Ф·¤¿¤éÁᤤ¤è¡ª
µì2¹æµ¡BS¼èÉÕ¤±
¤Þ¤µ¤«º£Æü¤ß¤¿¤¤¤ÊÅ·µ¤¤ÎÆü¤Ë¥Õ¥©¥¢¤Ë¾è¤Ã¤ÆÍè¤ë¤È¤Ï
»×¤Ã¤Æ¤âµï¤Ê¤«¤Ã¤¿µì2¹æµ¡¤¬¤´ÍèŹ¡£
ÀèÆüÆÏ¤¤¤¿BS¤Î¼èÉÕ¤±ºî¶È¤Ç¤¹¡£
¥Î¡¼¥Þ¥ë¤âÎɤ¤¤±¤É¤ò²¼¤í¤¹¤È
¥º¥Ü¥ó¤¬°ú¤Ã³Ý¤«¤Ã¤¿¤ê¤¹¤ë¤Î¤Ç
³ä¤ÈÌÌÅݤʤΤ¬¥Î¡¼¥Þ¥ë¥¹¥Æ¥Ã¥×¡£
»î¤·¤ËBS¤Ë¤·¤Æ¤ß¤ë¤È¤Î»ö¤Ç¤¹¡£
¥µ¥¯¥µ¥¯¥Ã¤È¸ò´¹¤·¤Æ¥¹¥Æ¥Ã¥×¤ò¼èÉÕ¤±
¥Ö¥ì¡¼¥¥Ú¥À¥ë¤Î³ÑÅÙÄ´À°¤È
¥Ö¥ì¡¼¥¥é¥ó¥×¤Î¥Á¥§¥Ã¥¯¤ò½ª¤¨¤Æ
¼¡¤Ï¥·¥Õ¥È¦¡£
¼󤬲¼¤Ë¥¹¥Ã¤ÈÆþ¤ê¥·¥Õ¥ÈUP¤¬
¤·°×¤¤°ÌÃÖ¡¢¤Þ¤¿´Î¿´¤Ê¤Î¤¬
¥·¥Õ¥È¥À¥¦¥ó¤¬³Î¼Â¤Ë½ÐÍè¤ë°ÌÃÖ¡£
²Ã®¤è¤ê¸ºÂ®¤Î¤·°×¤µ¤ò½ÅÅÀ¤Ë¹Í¤¨¤Þ¤¹¡£
¾è¤ê¤ä¤¹¤¯¤Ê¤Ã¤¿¤é¤·¤¤¤Î¤Ç¡¢¤â¤¦¥Î¡¼¥Þ¥ë¤ËÌ᤹»ö¤Ï̵¤µ¤½¤¦¤Ç¤¹¤Í£÷
2016ǯ09·î18Æü
ÊÄŹÁ°¡¢³«Å¹Á°¤ÎÃË
¤Ê¤¼¤«¤È¸À¤¦¤È¡¢¥Ý¥±¥â¥óGO¤Î¥¹¥Ý¥Ã¥È¤ò½ä¤ë°Ù¤Ç¤¹¡£
ÌÞÏÀ±¿Å¾Ãæ¤Ï¤ä¤Ã¤Æ¤Þ¤»¤ó¤Î¤Ç¡£
¤½¤ÎÆ»Ãæ¤Ëµ¤¤Ë¤Ê¤ë¼Öξ¤òȯ¸«¡ª¼Öξ¤Î̾¾Î¤ò˺¤ì¤Á¤ã¤Ã¤¿¤ó¤À¤±¤É
ÈþÍÆ¼¼¤Î´ÇÈļÖξ¤é¤·¤¤¡£
º£ÅÙÈþÍÆ¼¼¤Î¥ª¡¼¥Ê¡¼¤Ë
¸ò¾Ä¤·¤Æ¤ß¤è¤¦¤«¤Ê¤¡
ºÇ¶áʪÍߤ¬·ã¤·¤¯¤Æ
²¿¤Ç¤âÍߤ·¤¯¤Ê¤ë¡£
ÊÄŹÁ°³«Å¹Á°¤ÎÃË
ºòÆü¤ÎÊÄŹÁ°¤Ëµ×¤·¿¶¤ê¤Ë¤ä¤Ã¤ÆÍ褿
ÊÄŹÁ°¤ÎÃË¡£²¿¤ä¤é¥¯¥é¥Ã¥Á´Ø·¸¤ÎÉôÉʤò
¸ò´¹¤¹¤ë½àÈ÷¤ò¤·¤Æ¤¤¤ë¤é¤·¤¤¡£
¥¨¥ó¥¸¥ó¥ª¥¤¥ë¤âÈ´¤¤¤Æ¤½¤Î¤Þ¤Þ°ìÈÕÊüÃÖ¤·¤Æµ¢¤Ã¤¿¡£
¤½¤·¤ÆÍâÄ«¡¦¡¦¡¦
³«Å¹Á°¤Ë¤ä¤Ã¤ÆÍè¤Æ¥¯¥é¥Ã¥Á¤òʬ²ò¤·»Ï¤á¤¿¡£
²¿¤Ç¤â¥Ë¥å¡¼¥È¥é¥ë¥¹¥È¥Ã¥Ñ¡¼¤È
¥·¥Õ¥È¥É¥é¥à¥»¥ó¥¿¡¼¤ò¸ò´¹¤¹¤ë¤é¤·¤¤¡£
¥Ë¥å¡¼¥È¥é¥ë¥¹¥È¥Ã¥Ñ¡¼¤ÏNOS¤òÍѰդ·¤Æ¤¢¤Ã¤¿¤±¤É
¥·¥Õ¥È¥É¥é¥à¥»¥ó¥¿¡¼¤ÏÍѰդ·¤Æ¤Ê¤«¤Ã¤¿¤Î¤Ç
ʤÎÊõʪ¸Ë¤«¤éÄøÅÙ¤ÎÎɤ¤Êª¤ò
¾¡¼ê¤Ëõ¤·½Ð¤·¤Æ¼èÉÕ¤±¤ë¤È¸À¤¦¹Ó¶È¡¦¡¦¡¦
PIT¤òÀêµò¤µ¤ì¤Æ¤¤¤ë´Ö¡¢ËͤλŻö¤Ï½ÐÍè¤Ê¤¤¤Î¤Ç
µþÅÔH¹æÍѤÎÄɲÃÉôÉʤòȯÃí¤·¤¿¤±¤É¡¢Ï¢µÙ¤À¤«¤é¿åÍËÆü¤ÎÆþ²Ù¤Ë¤Ê¤ë¤«¤Ê¤¡¡¦¡¦¡¦
µþÅÔH¹æ¥Õ¥í¥ó¥È¥¦¥¤¥ó¥«¡¼
ºòÆü¤Î³¤¤Çº£Æü¤Ï¥Õ¥í¥ó¥È¥¦¥¤¥ó¥«¡¼¤Î¼èÉÕ¤±¡£
¥ê¥×¥í¤Î¥Ø¥Ã¥É¥é¥¤¥È¥¹¥Æ¡¼¤ò¼èÉÕ¤±¡£Ä¹¤¤¥Û¡¼¥¹¥ï¥¤¥ä¡¼Îà¤ò
¾å¼ê¤¯¥Ø¥Ã¥É¥é¥¤¥È¥«¥Ð¡¼¤Î΢¤Ë
±£¤·¤Æ¤ß¤Þ¤¹¡£
¥¦¥¤¥ó¥«¡¼¤ò¼èÉÕ¡¢¤ä¤Ã¤Ñ¤ê¤³¤Ã¤Á¤ÎÊý¤¬¤´¤Á¤ã¤´¤Á¤ã¤·¤Æ¤Ê¤¯¤ÆÎɤ¤¤È»×¤¤¤Þ¤¹¡£
¥Ø¥Ã¥É¥é¥¤¥È¥±¡¼¥¹¤ÏÄɲúî¶È¤¬¤¢¤ë¤Î¤Ç
¸å¤Ç¼èÉÕ¤±¤ë»ö¤Ë¤·¤Þ¤¹¡£
¥Æ¡¼¥ë¥é¥¤¥È¤Î¥Ê¥ó¥Ð¡¼µå¤¬ÅÀ¤«¤Ê¤¤¤Î¤Ç¥Æ¡¼¥ë¥ì¥ó¥º¤ò³°¤·¤Æ¥Á¥§¥Ã¥¯¡£
¼Ì¿¿¤Ï¥Ô¥ó¥Ü¥±¤Ç¤¹¤¬
¸«¤ë¸Â¤êÀÚ¤ì¤Æ¤Ê¤¤Íͤ˸«¤¨¤Þ¤¹¡£
¤³¤ì¤Þ¤¿·ã¤·¤¯¥Ô¥ó¥Ü¥±¤Ç¤¹¤¬¥Ê¥ó¥Ð¡¼¥×¥ì¡¼¥ÈÍѤΥ˥¯¥í¥àÀþ¤¬
¤ä¤Ã¤Ñ¤êÀÚ¤ì¤Æ¤Þ¤·¤¿¡£
¥Æ¡¼¥ë´Ø·¸¤ÏÁ´Éô¥ê¥¸¥Ã¥È¾õÂ֤ʤΤÇ
¿¶Æ°¤ÇÀÚ¤ì¤ë»ö¤â¿¤¯¤¢¤ê¤Þ¤¹¡£µå¤ò¿·Éʤ˸ò´¹¤·¤ÆÅÀÅô¥Á¥§¥Ã¥¯¡ª
̵»öÅÀÅô¤·¤Þ¤·¤¿¡£
¤ä¤Ã¤Ñ¤êÅÅÁõ·Ï¤È¥ê¥¸¥Ã¥È¾õÂÖ¤Ï
Ť¤ÌܤǸ«¤ë¤È¡¢Ä¾¤·¤¿Êý¤¬Îɤ¤¤Ç¤·¤ç¤¦¤Í¡£
¥Õ¥í¥ó¥È¥Ö¥ì¡¼¥ÌĤ¤â¥Á¥§¥Ã¥¯¥Ö¥ì¡¼¥¥À¥¹¥È¤¬·ë¹½¤³¤Ó¤êÉÕ¤¤¤Æ¤Þ¤·¤¿¡£
åºÎï¤ËÀö¾ô¤·¤Æ¥Ö¥ì¡¼¥ÌĤ»ß¤á¤Î¾®ºÙ¹©¡£
±«¤Ç»î¾è¤¬½ÐÍè¤Ê¤¤¤Î¤Ç¤¹¤¬
¤Þ¤¡Âç¾æÉפǤ·¤ç¤¦¡¢¤±¤É¡¦¡¦¡¦¥¥ã¥ê¥Ñ¡¼¥Ô¥¹¥È¥ó¦¤Ï¥Ö¥ì¡¼¥¥Õ¥ë¡¼¥É¤¬
¾¯¤·Ï³¤ì¤Æ¤¤¤ë¤Î¤Ç
¤³¤ì¤âO/H¤·¤¿Êý¤¬Îɤ¤¤Ç¤·¤ç¤¦¤Í¡£
2016ǯ09·î17Æü
¤Ò¤Æ¨¤²Áܺº
ËÜÅö¤Ê¤éº£Æü¤Ï¤Ä¤¯¤Ð¤Ë¹Ô¤Ã¤Æ¤¤¤ë¤Ï¤º¤Ç¤·¤¿¤¬
¹üÀޤȴε¡Ç½½¤Éü¤Î°Ù¡¢¤Ä¤¯¤Ð¹Ô¤¤ÏÃÇǰ¡£
³Ú¤·¤ß¤Ë¤·¤Æ¤¤¤¿Á°Ìëº×¡ÖÀÖ±©¥Ê¥¤¥È¡×¤Ë¤â¹Ô¤±¤º»ÅÉñ¤¤¡£
¶Ø¼ò¤·¤Æ¤«¤é3½µ´Ö¡¢¤»¤á¤Æ¹üÀÞ¤¬¼£¤ë¤Þ¤Ç¤Ï
´Îµ¡Ç½¤Î¿ôÃͤ¬Æþ±¡¥ì¥Ù¥ë¤«¤é
Ã¥¤·½ÐÍè¤ë¤Þ¤Ç¡¢»Ã¤¯¥¢¥ë¥³¡¼¥ë¤Ï¤ªÍ¤±¤Ç¤¹¡£
µ×¡¹¤ÎÌäÂê»ùÊÄŹÁ°¤Ë¤´ÍèŹ
Âç¼ê¤Î»¨»ï¤Ç¾Ò²ð¤µ¤ì¤Æ¤¤¤ë¥·¥ç¥Ã¥×¤Ç¹ØÆþ¤·¤¿¤È¸À¤¦
ÌäÂê»ù¤ÎÌäÂê¼Öξ¡ÄÆü¤¬·Ð¤Ä¤Ë¤Ä¤ì
°¤¤Éôʬ¤¬Ïª¸«¤·¤Æ¤½Ð¤·¤¿¡£
¤Þ¤¡»¨»ï¤Ê¤ó¤«¤ª¶â¤òʧ¤¨¤Ð·ÇºÜ¤µ¤ì¤ë¤·
¤½¤Îʬ¤ÎÈñÍѤϤªµÒ¤«¤é²ó¼ý¤µ¤ì¤ë¤Î¤Ç
ÅöÁ³°Â¤¯»Å¾å¤²¤Æ¹â¤¯Çä¤ë¡¢¾¦Çä¤ÎŴ§¤Ç¤¹¤Í¡£
Çä¤Ã¤Æ¤·¤Þ¤¨¤Ð»¨»ï¤ËºÜ¤»¤ë¤À¤±¤Î¥á¥ê¥Ã¥È¤ÏµÒ¤Ç¤Ï¤Ê¤¯
ʦ¤Ë¤¢¤ë»ÅÁȤߡ¢¤Ê¤Î¤ÇCP¤Ç¤Ï¹¹ðÀëÅÁÈñ¤ò³Ý¤±¤º¤Ë
¤½¤Îʬ¡¢¼Öξ¤ËÁ´ÎϤòÃí¤®¤Þ¤¹¡£
µþÅÔH¹æ¥ª¥ê¥¸¥Ê¥ë²½¤Ø¸þ¤±¤Æ
¿§¤ó¤Ê¥¹¥¿¥¤¥ë¤Ç³Ú¤·¤á¤ë¤Î¤¬CB400£Æ¤Ç¤¹¤¬
µ¡Ç½Ì̤ǸÀ¤¨¤Ð¤ä¤Ï¤ê¥Î¡¼¥Þ¥ë½ãÀµ¤¬°ìÈÖÍý¤ËŬ¤Ã¤Æ¤¤¤ë¡£
º£²ó¤Ï¥ê¥¸¥Ã¥È¾õÂ֤Υ¦¥¤¥ó¥«¡¼¤ò½ãÀµÉ÷¤ËÊѹ¹¤¹¤ëºî¶È¤È
¥Ï¥ó¥É¥ë¤òF1¤ËÊѹ¹¤¹¤ëºî¶È¤Î¤´°ÍÍê¡£
¤Þ¤º¤Ï¥ê¥¢¤«¤é¤È»×¤¤¥·¡¼¥È¤ò³«¤±¤ë¤È
¤³¤Î¼êºî¤ê¥Ò¥ó¥¸¡¢²¿Å٤⸫¤Æ¤¤¤ë¤Ï¤º¤Ê¤Î¤Ë
Á´Á³µ¤ÉÕ¤«¤Ê¤«¤Ã¤¿¡£
¥á¥¤¥ó¥¹¥¿¥ó¥É¤ò¼èÉÕ¤±¤Æ¤«¤é
¥¿¥ó¥Ç¥à¥Ð¡¼¤ò°®¤Ã¤Æ¥¹¥¿¥ó¥É¤òµ¯¤³¤¹»þ¤Ë
²¿¤«¤ä¤ê¤Ë¤¯¤¤¤Ê¤¡¤È»×¤Ã¤Æ¤¤¤¿¤Î¤Ç¤¹¤¬
¤É¤¦¤ä¤é¼èÉÕ¤±ÊýË¡¤ò´Ö°ã¤Ã¤ÆÉÕ¤±¤Æ¤¢¤ê¤Þ¤·¤¿¡£
¥¦¥¤¥ó¥«¡¼¤Ï´°Á´¥ê¥¸¥Ã¥È¤Ê¤Î¤Ç
Åö½é¤«¤é¥ª¡¼¥Ê¡¼¤Ë¤Ï¸À¤Ã¤Æ¤¤¤¿¤Î¤Ç¤¹¤¬
¤È¤¦¤È¤¦¿¶Æ°¤Ç²õ¤ì¤Æ¤·¤Þ¤¤¤Þ¤·¤¿¡£
¤·¤«¤·¥¿¥ó¥Ç¥à¥Ð¡¼¤â¤³¤ì¤À¤±
̵Íý¤ä¤ê¼èÉÕ¤±¤é¤ì¤Æ¤¤¤ë¤Î¤Ç
¶Ê¤¬¤Ã¤Æ¤¤¤ë²ÄǽÀ¤â¤¢¤ê
Àµµ¬¤Î¾ì½ê¤Ë¼èÉÕ¤±¤¬½ÐÍè¤ë¤Î¤«¡©
¥á¥¤¥ó¥Ï¡¼¥Í¥¹¤Ï²Ã¹©¤µ¤ì¤Æ¤ª¤ê
¥¦¥¤¥ó¥«¡¼ÍѤΥ¢¡¼¥¹Àþ¤¬¤¢¤ê¤Þ¤»¤ó¤·
¥Õ¥§¥ó¥À¡¼¤Ë¤Ï¥Ï¡¼¥Í¥¹ÍÑ¥°¥í¥á¥Ã¥È¤¬ÉԺߡ£
¤½¤Î¾å¥Æ¡¼¥ë¥é¥¤¥È¥Ö¥é¥±¥Ã¥È¤â
¥ê¥¸¥Ã¥È¾õÂ֤ʤΤÇ
º£ÅÙ¥ª¡¼¥Ê¡¼¤«¤é¤³¤³¤ò½¤Àµ¤¹¤ë
°ÍÍê¤ò¼õ¤±¤¿»þ¤Ë½¤Àµ¤ò¤¹¤ë»ö¤Ë¤·¤Þ¤¹¡£
¥¨¥¢¡¼¥À¥¯¥È¤â²¿¤«ÊѤÀ¤Ê¤¡¤È»×¤Ã¤¿¤é
±ü¤ËÆþ¤ì²á¤®¤Æ¤¤¤ë¤Î¤Ç
¥À¥¯¥È¤¬ÄÙ¤ì¤Æ¤·¤Þ¤Ã¤Æ¤Þ¤·¤¿¡£
¤³¤³¤Ï°ú¤ÃÄ¥¤ê½Ð¤·¤Æ
Àµµ¬¤Î°ÌÃÖ¤ËÌᤷ¤Æ¤ª¤¤Þ¤·¤¿¡£
¥¨¥¢¡¼¤Î¼è¤ê¹þ¤ß¸ý¤¬¶¹¤¤¤È
Çö¤¯¤Ê¤ê¡¢¥¬¥½¥ê¥ó¤¬Ç»¤¯¤Ê¤ê¤Þ¤¹¤«¤é¤Í¡£
¥ê¥¢¥¦¥¤¥ó¥«¡¼¸ò´¹´°Î»¡£
¥¿¥ó¥Ç¥à¥Ð¡¼Àµµ¬¼èÉÕ¤±°ÌÃ֤˽¤Àµ´°Î»¡£
¤½¤Î¾½ô¡¹½¤Àµ´°Î»¡£
¥·¡¼¥È¤Ë¤Ï¥¯¥Ã¥·¥ç¥ó¥é¥Ð¡¼¤¬
°ì¤Ä¤âÉÕ¤¤¤Æ¤Þ¤»¤ó¡Ä
¤½¤ÎÆâ¥·¡¼¥È¤â³ä¤ì¤Æ¤¤Þ¤¹¡£
¤ä¤Ã¤Ñ¤ê¥¿¥ó¥Ç¥à¥Ð¡¼¤Ï¶Ê¤¬¤Ã¤Æ¤Þ¤·¤¿¡£
²¿¤È¤«Ìᤷ¤¿¤Î¤Ç¡¢¥á¥¤¥ó¥¹¥¿¥ó¥É¤â
¾å¤²°×¤¯¤Ê¤ê¤Þ¤·¤¿¡£
·ä´Ö¤¬¾¯¤Ê¤¤¤Î¤Ç¡¢¥·¡¼¥È¤âÇˤì¤ë¤«¤â¡Ä
¼Ò³°ÉʤΥإåɥ饤¥È¥¹¥Æ¡¼¤È
¥¦¥¤¥ó¥«¡¼¥¹¥Æ¡¼¤ò¼è³°¤·¤Þ¤·¤¿¡£
¤³¤³¤Ë¥ê¥×¥ì¥¤¥¹ÉʤǤ¹¤¬
½ãÀµÉ÷¤Î¥Ø¥Ã¥É¥é¥¤¥È¥¹¥Æ¡¼¤òÉÕ¤±¤Þ¤¹¡£
¤½¤ÎÁ°¤Ë¥á¡¼¥¿¡¼¤â¥ê¥¸¥Ã¥È¾õÂ֤ʤΤÇ
¥Ê¥Ã¥È¤ò¼è³°¤·¤Æ¥Á¥§¥Ã¥¯¤·¤Æ¤ß¤ë¤È
¥á¡¼¥¿¡¼¥«¥é¡¼¤ÏÆþ¤Ã¤Æ¤¤¤Þ¤»¤ó¤Ç¤·¤¿¡£
º£¤Ï¤Á¤ã¤ó¤Èư¤¯¤«¤âÃΤì¤Ê¤¤¤±¤É
¥À¥á¡¼¥¸¤¬ÃßÀѤµ¤ì¤Æ¥á¡¼¥¿¡¼¤¬²õ¤ì¤Þ¤¹¡£
¥¢¥²¥¤¥ó¥á¡¼¥¿¡¼ÀìÍѤΥ«¥é¡¼¤òÆþ¤ì¤Æ
¥ê¥×¥ì¥¤¥¹¤Î19mm¥ï¥Ã¥·¥ã¡¼¤ò
Æþ¤ì¤ÆÄù¤á¤³¤ß¤Þ¤¹¡£
ËÜÅö¤ÏÂޥʥåȤʤΤǤ¹¤¬
¥ª¡¼¥Ê¡¼¤¬¹´¤ë¤Î¤Ç¤¢¤ì¤Ð
½ãÀµ¤ÎÂޥʥåȤ˸ò´¹¤·¤Þ¤¹¡£
¤Þ¤¡¹´¤ê½Ð¤·¤¿¤é¡¢¤«¤Ê¤ê¤ÎÉôÉʤò
¸ò´¹¤¹¤ë»ö¤Ë¤Ê¤ê¤½¤¦¤Ç¤¹¤±¤É¤Í¡£
¤µ¤Æ±ó²ó¤ê¤Ë¤Ê¤ê¤Þ¤·¤¿¤¬
¼¡¤Ï¥Ï¥ó¥É¥ë¤òF1¥¿¥¤¥×¤Ë¸ò´¹¤·¤Þ¤¹¡£
¥¢¥Ã¥×¥Ï¥ó¥É¥ë¤Ç¤Á¤ç¤¤¥·¥Ü¥ê¤Ê¤Î¤Ç
¼è²ó¤¬¤·¿É¤¤¤Ê¤É¿§¡¹¤¢¤Ã¤Æ¤ÎÊѹ¹¤Ç¤¹¡£
¥Ï¥ó¥É¥ë¥¹¥¤¥Ã¥Á¤ä¥á¥¤¥ó¥Ï¡¼¥Í¥¹¤Ï
·ë¹½·ÑÀܤ®¤À¤é¤±¤À¤Ã¤¿¤Î¤Ç
ÃÇÀþ¤â·üǰ¤µ¤ì¤ë»ö¤¬º£²ó¤Îºî¶È¤ÇȽÌÀ¤·¤¿¡£
¼è¹ç¤¨¤ºF1¥Ï¥ó¥É¥ë¤Ë¸ò´¹´°Î»¤Ç¤¹¡£
¤½¤ó¤Ê»ö¤ò¤ä¤Ã¤Æ¤¤¤¿¤é¡¢¸«´·¤ì¤ÌÆó¿Í¤¬¤´ÍèŹ
¶»¥Ý¥±¥Ã¥È¤«¤é·Ù»¡¼êÄ¢¤ò½Ð¤·¤Æ¡Ö¡û¡ûÉܷ٤μԤǤ¹¤¬¡×¤È¸À¤¦¤Î¤Ç
¡Ö¤¢¡Ä¤É¤ì¤¬¥¢¥«¥ó¤«¤Ã¤Æ¤ó¤ä¤í¡Ä¡×¤È°ì½Ö»×¤Ã¤¿¤±¤É
¤Ò¤Æ¨¤²»ö·ï¤ÎÁܺº¤Ç¡¢ËÉÈÈ¥«¥á¥é¤Î±ÇÁü¤ò¸«¤»¤ÆÍߤ·¤¤¤È¤Î»ö¤À¤Ã¤¿¡£
2016ǯ09·î16Æü
18¹æµ¡¼ÖξÀ½ºî½àÈ÷
ËÜÅö¤Ê¤éº£Æü¡¢Å·µ¤¤¬Îɤ¤¤Î¤Ç
¥Ð¥¤¥¯¤Î°ú¤¼è¤ê¤Ë¹Ô¤¯Í½Äê¤À¤Ã¤¿¤Î¤Ç¤¹¤¬
Áê¼ê¤ÎÊý¤ÈÏ¢Íí¤¬¼è¤ì¤Ê¤«¤Ã¤¿¤Î¤Ç
°ú¤¼è¤ê¤ÏÃæ»ß¤·¤Æ¡¢Ä̾ïÄ̤ê¤ÎȾʬ³«Å¹¡£
º£Å٤ϲ¿»þ¤°¤é¤¤¤ËÅ·¸õ¤¬²óÉü¤¹¤ë¤ó¤À¤í¤¦¡Ä
Íè½µ¤ÏͽÄ꤬µÍ¤Þ¤Ã¤Æ¤¤¤ë¤Î¤Ç
·îËöÊÕ¤ê¤Ë¤Ê¤ê¤½¤¦¤«¤Ê¡£
¥¤¥¨¥í¡¼¹æ²òÂÎÆóÆüÌÜ
ºòÆü¥¨¥ó¥¸¥ó¤ò²¼¤í¤·¤¿¥¤¥¨¥í¡¼¹æ
º£Æü¤Ï¥Õ¥ì¡¼¥à¤òʬ²ò¤·¤Æ¥Ð¥é¥Ð¥é¤Ë¤·¤Æ¤·¤Þ¤¤¤Þ¤¹¡£
¥¿¥¤¥ä¥Û¥¤¡¼¥ë¤ò¼è³°¤·¤Æ
²õ¤ì¤¿Êª¤È¡¢»È¤¨¤ëʪ¤Ëʬ¤±¤Ê¤¬¤é
ʬ²ò¤·¤Æ¹Ô¤¤Þ¤¹¡£
»È¤¨¤ëʪ¤Ï¤Ê¤ë¤Ù¤¯²«¿§¤¤·¯¤Î°Ù¤Ë
´¹¶â½ÐÍè¤ë¤è¤¦¤Ë¤¹¤ë°Ù¤Ç¤¹¡£
¥á¥ó¥Æ¥Ê¥ó¥¹¥¹¥¿¥ó¥É¤ÏŹ¤Ç»È¤¦»ö¤â¤¢¤ë¤Î¤Ç
Ëͤ¬Ç㤤¼è¤ë»ö¤Ë¤·¤Þ¤¹¡£
¥Õ¥ì¡¼¥à¤ÏËͤΤʤΤDzó¼ý¤Ç
¥¹¥¤¥ó¥°¥¢¡¼¥à¤Ï¡¢ÌÑÁÛ¤·¤Æ¤¤¤ëÊý¸þ¤±¤Ë¤ÏÎɤ¤¤ó¤¸¤ã¤Ê¤¤¤Ç¤·¤ç¤¦¤«¡©
¥´¥ß¤È¡¢È¾Ê¬¥´¥ß¤Ï¤³¤Á¤é
¥Ö¥ì¡¼¥¥Þ¥¹¥¿¡¼¤ä¥¥ã¥ê¥Ñ¡¼¤Ï
»È¤¨¤ë¤Î¤Ç¤¹¤¬¡¢½èÍý¤¬ÌÌÅݤʤΤÇ
¤³¤Á¤é¤ËÊüÃÖ¤·¤ÆÃÖ¤¤Þ¤¹¡£
¥¨¥ó¥¸¥ó¤Ïº£Ä郎¼«Âð¤ÇÊݴɤ·¤Æ¤¤¤ë
³¹¾è¤ê¹æ¤ËÀѤßÂØ¤¨¤ëͽÄê¡£
¤Ç¤â¥×¥é¥¤¥Þ¥ê¡¼¥®¥ä¡¼¤ò¤É¤¦¤¹¤ë¤«
ËܿͤÈÁêÃ̤·¤Ê¤¤¤È¥À¥á¤Ç¤¹¤Í¤§¡Ä
Âߤ·½Ð¤·¤Æ¤¤¤¿¥¿¥ó¥¯¤Ï
²¿ÅÙ¤âžÅݤ·¤¿¤Î¤Ç¤½¤³¤½¤³¤Î
¥À¥á¡¼¥¸¤¬¤¢¤ê¤Þ¤¹¤¬¡¢¥ê¥Ú¥¤¥ó¥È¤¹¤ì¤Ð
»È¤¨¤ë¤Î¤Ç¡¢ÌäÂê̵¤¤¤Ç¤·¤ç¤¦¡£
¥ì¡¼¥µ¡¼¤òºî¤ë¤Î¤Ë¤â¡¢·ë¹½ÈñÍѤ¬³Ý¤«¤Ã¤¿¤Î¤Ç¤¹¤¬
°ìÈÖÈñÍѤ¬³Ý¤«¤Ã¤¿¤Î¤Ï¡¢¥ì¡¼¥¹ÍѤ˥Á¥å¡¼¥Ë¥ó¥°¤·¤¿¥¨¥ó¥¸¥ó¤Ç¤¹¤Í¡£
¤Á¤ç¤¤¥«¥¹¥¿¥à18¹æµ¡ÍÑ¥Õ¥í¥ó¥È¥Õ¥©¡¼¥¯
18¹æµ¡¤Ë¤Ê¤ëͽÄê¤Î²ó¤ê¤Ï¡¢¤Á¤ç¤¤¥«¥¹¥¿¥à¼Öξ¤Ë¤Ê¤ê¤Þ¤¹¡£
¥Õ¥©¥¢¤Î½ãÀµ¥Õ¥í¥ó¥È¥Õ¥©¡¼¥¯¤Î
¥¤¥ó¥Ê¡¼¥Ñ¥¤¥×¤Ï33¦Õ¤Ç¤¹¤¬
º£²ó»È¤¦¥Õ¥í¥ó¥È¥Õ¥©¡¼¥¯¤Ï¾¼Ö¼ïήÍѤÇ
¥¤¥ó¥Ê¡¼¥Ñ¥¤¥×¤¬35¦Õ¤Ë¤Ê¤ê¤Þ¤¹¡£
¤·¤«¤â¥¹¥é¥¤¥É¥á¥¿¥ëÉÕ¤¡¢ÌÞÏÀ¿·Éʤ˸ò´¹¡£
¥ª¥ê¥Õ¥£¥¹¥Ð¥ë¥Ö¤â²Ã¹©ºÑ¤ß¤Ç¤¹¡£
¥µ¥¯¥µ¥¯¥Ã¤ÈÁÈΩ¤Æ´°Î»¡£
¤³¤ì¤«¤é¥Õ¥©¡¼¥¯¥ª¥¤¥ë¤òÆþ¤ì¤Þ¤¹¡£
¥Õ¥©¡¼¥¯¥ª¥¤¥ë¤Ï¹Å¤á¤Î#20
¥Î¡¼¥Þ¥ëÉ÷¥«¥Õ¥§¥ì¡¼¥µ¡¼»ÅÍͤÇ
³Ú¤·¤¯Áö¤ì¤ë¥Ð¥¤¥¯¤òºî¤ê¤Þ¤¹¡£
¥¹¥Æ¥à¤ËCB400FÍѤÎ
¥Ü¥È¥à¥³¡¼¥ó¥ì¡¼¥¹¤òÂǤÁ¹þ¤ß¤Þ¤·¤¿¡£
¤³¤Î¥¹¥Æ¥à¤Ï̵²Ã¹©¤Ç¼èÉÕ¤±¤¬
²Äǽ¤Ê¤ó¤Ç¤¹¤è¤Í¡£
¥¤¥ó¥Ê¡¼¥Á¥å¡¼¥Ö¤¬Ä¹¤¤¤Î¤Ç
CB400F¤Ë¹ç¤ï¤»¤ë¤È
¤³¤ó¤Ê´¶¤¸¤Ë¤Ê¤Ã¤Æ¤·¤Þ¤¦¤Î¤Ç
¥ê¥¢¤â¥ì¥¤¥À¥¦¥ó¤·¤Ê¤¤¤ÈÉԳ湥¤«¤Ê¡©
2016ǯ09·î15Æü
²òÂÎ
SUZUKA Sound of ENGING2016¤Î¾·ÂÔ¾õ¤¬ÆÏ¤¤¤¿¡£
¥³¥ó¥»¥×¥È¤Ï¹ñÆâ¤Ë´û¸¤¹¤ë2ÎØ.4ÎØ¤Î¥ì¡¼¥·¥ó¥°¥Þ¥·¥ó¤ò
½¸¤á¤¿¡ÈÁö¤ë¡É¥Ø¥ê¥Æ¡¼¥¸¥³¥ì¥¯¥·¥ç¥ó¡£
2ÎØ¥Ò¥¹¥È¥ê¥Ã¥¯¥Þ¥·¥ó¤Î¤ªÈäϪÌܲñ¤È¤·¤Æ¤ª³Ú¤·¤ßĺ¤¯Áö¹Ô¥¤¥Ù¥ó¥È¤é¤·¤¤¡£
³«ºÅÆü¤Ï2016ǯ11·î19.20Æü¤ÇÊ罸ÂоݼÖξ¤Ï
1972ǯ¤Þ¤Ç¤ËÀ½Â¤¤µ¤ì¤¿¥ì¡¼¥·¥ó¥°¥â¡¼¥¿¡¼¥µ¥¤¥¯¥ë¤é¤·¤¤¤±¤É
¼çºÅ¼Ô¤¬Ç§¤á¤ì¤Ð²¿¤Ç¤âÎɤ¤¤é¤·¤¤¡£
Áö¹Ô²ñ¡¢¥Ç¥â¥ì¡¼¥¹¡¢¥Õ¥ë¥³¡¼¥¹¥Ñ¥ì¡¼¥É¥é¥ó¤â¤¢¤ë¡£
ÌÞÏÀ³Æ¥é¥¤¥»¥ó¥¹¤äÁõÈ÷ÉʤÏɬÍס£
¥¨¥ó¥È¥ê¡¼ÎÁ¤¬32,400±ß¤é¤·¤¯¡¢¡Ö¾·ÂÔ¤Á¤ã¤¦¤ó¤«¤¤¡ª¡×¤È
»×¤ï¤º¾·ÂÔ¾õ¤Ë¤Ä¤Ã¹þ¤ß¤òÆþ¤ì¤Æ¤·¤Þ¤Ã¤¿¡£
30,000¿Í°Ê¾å¤Î´ÑµÒ¤¬½¸¤Þ¤ë¤é¤·¤¤¤Î¤Ç
ʤÎÀëÅÁ¤Ë¤Ê¤ë¤Ê¤é¡¢»²²Ã¤·¤Æ¤âÎɤ¤¤«¤âÃΤì¤Ê¤¤¤±¤É
¥¹¥¿¥Ã¥Õ¤¬µï¤Ê¤¤¤È½ÐÍè¤Ê¤¤¤ï¡Ä
¥¤¥¨¥í¡¼¹æ¥Þ¥·¥ó²òÂÎ
Èफ¤é¤ÎÏ¢Íí¤¬Íè¤Ê¤¤¤Þ¤ÞȾǯ¡Ä
²ø²æ¤·¤¿Åö»þ¤ÎÂǤÁ¹ç¤ï¤»¤Ç¤Ï¡¢¥ì¡¼¥µ¡¼¤Î¥¨¥ó¥¸¥ó¤ò
Ä®¾è¤ê¹æ¤ËÀѤßÂØ¤¨¤ë·×²è¤À¤Ã¤¿¤Î¤ÇPIT¤¬¹¤¯¤Ê¤Ã¤¿»ö¤â¤¢¤ê
¥Ü¥Á¥Ü¥Á¤È²òÂκî¶È¤Ë¼è¤ê³Ý¤«¤ê¤Þ¤¹¡Ä
¤Þ¤º¤Ï¥¨¥ó¥¸¥ó¥ª¥¤¥ë¤òÈ´¤¤Þ¤¹¡£Á´Á³»È¤Ã¤ÆÌµ¤¤¤Î¤ÇÌÞÂÎ̵¤¤¤Ç¤¹¤¬
Ⱦǯ·Ð²á¤·¤Æ¤¤¤ë¤Î¤Ç
¤â¤¦»º¶ÈÇÑ´þʪ¤Ç¤¹¡£
ÇÑÌý¤ÎÃæ¤¬Ì¯¤ËÅ´Ê´¤¬Â¿¤«¤Ã¤¿¤Î¤Çµ¤¤Ë¤Ê¤Ã¤Æ¥ª¥¤¥ë¥Ñ¥ó¤ò¥Á¥§¥Ã¥¯¤¹¤ë¤È
¥×¥é¥¤¥Þ¥ê¡¼¥®¥ä¡¼¡¢¥ï¥ó¥¦¥¨¥¤¥¯¥é¥Ã¥Á¤Î
ÉôÉʤ¬½Ð¤ÆÍ褿¡Ä
¤Þ¤¿¿·¤¿¤Ë¤³¤ó¤ÊÌäÂ꤬¡Ä¼è¹ç¤¨¤º¥¨¥ó¥¸¥ó¤ò²¼¤í¤¹½àÈ÷¤Ï
À°¤¤¤Þ¤·¤¿¤¬¡¢¤³¤ÎÁ°¤Î¤Þ¤Ã¤¡¼¥ì¡¼¥µ¡¼¹æ¤Î
¥¨¥ó¥¸¥ó¤è¤êÉôÉʤ¬ÉÕ¤¤¤Æ¤¤¤ë¤Î¤Ç½Å¤¤¤Ï¤º¡Ä
ɬ»à¤Ç¥¨¥ó¥¸¥ó¤É¡¼¤ó¡ª¤â¤¦º¸¼ê¤¬¤á¤Ã¤µÄˤ¤¡ª
¤º¡¼¤Ã¤ÈÄˤ¤¡ª
»ß¤á¤È¤±¤ÐÎɤ«¤Ã¤¿¤È¸å²ù¤¹¤ë¤°¤é¤¤
¤á¤Ã¤µÄˤ«¤Ã¤¿¡Ä¤â¤¦º£Æü¤Ï¤³¤³¤Þ¤Ç¤Ç½ªÎ»¤Ç¤¹¡£
Æþ²Ù
¥Ö¥é¥¹¥È¤Ë½Ð¤·¤Æ¤¤¤¿17¹æµ¡¤Î¥Õ¥ì¡¼¥à¤¬Ìá¤Ã¤ÆÍè¤Þ¤·¤¿¡£
»¬¤Î±Æ¶Á¤Ï»×¤Ã¤¿Äø¹ó¤¯¤Ï̵¤¤¤Ë¤·¤í¥µ¥¤¥É¥¹¥¿¥ó¥É²ó¤ê¤Ï
½¤Àµ¤¹¤ëɬÍפ¬¤¢¤ë¤Î¤Ç
¤³¤ì¤â¤Þ¤¿½¤Àµ²°¤µ¤ó¹Ô¤¤È¤Ê¤ê¤Þ¤·¤¿¡Ä
Á´Á³¥Ð¥¤¥¯¤¬ÁȤá¤Ê¤¤¤Ç¤¹¡Ä
µì2¹æµ¡ÍѥХ寥¹¥Æ¥Ã¥×¤âÆþ²Ù¤·¤ÆÍè¤Þ¤·¤¿¤Î¤Ç
²¿»þ¤Ç¤â¤ª±Û¤·²¼¤µ¤¤¡£
¥µ¥¯¥Ã¤È¸ò´¹¤·¤Þ¤¹¡£
¥Ý¡¼¥È¸¦ËáÍѤ˺£¤Þ¤Ç»È¤Ã¤Æ¤¤¤¿°Âʪ¤Î¥ê¥å¡¼¥¿¡¼¤ò»ß¤á¤Æ
MAC TOOLS¤Î¥ê¥å¡¼¥¿¡¼¤ò¹ØÆþ¤·¤Þ¤·¤¿¡£
¤ª¹â¤¤Ê¬Îɤ¤»Å»ö¤ò¤·¤Æ¤¯¤ì¤ë¤È»×¤¤¤Þ¤¹¡£
ËÜÆü¤Î¤´ÍèŹ
¤Á¤ç¤Ã¤È»þ´Ö¤¬¤¢¤Ã¤¿¤Î¤Ç¤ÈÆÍÁ³É±¤¬¤´ÍèŹ¡£
20Æü¤Ëɱ¤ÈÆó¿Í¤Ç¥Ä¡¼¥ê¥ó¥°¤Ë¹Ô¤¯Í½Äê¤Ê¤Î¤Ç
¥Ð¥¤¥¯¤òËᤤˤ¤¿¤é¤·¤¤
¤Ç¤â¡¢Å·µ¤¤¬Èù̯¤À¤Ê¤¡¡Ä
2016ǯ09·î13Æü
¤Þ¤Ã¤¡¼¥ì¡¼¥µ¡¼¹æÉü³è
Å·µ¤¤¬Í¾¤êµ¹¤·¤¯¤Ê¤¤¡ª
¤Ê¤Î¤Ç¡¢¥Ð¥¤¥¯¤Î°ú¤¼è¤ê¤â
Á´Á³Í½Ä꤬Ω¤¿¤Ê¤¤¤Î¤Çº¤¤Ã¤Æ¤Þ¤¹¡£
¤»¤á¤Æ20Æü¤À¤±¤Ç¤â±«¤µ¤¨¹ß¤é¤Ê¤±¤ì¤Ð
ɱ¤ÈÆó¿Í¤ÇÁö¤ê¤Ë¹Ô¤±¤ë¤Î¤Ë¡ª
¤Þ¤Ã¤¡¼¥ì¡¼¥µ¡¼¹æ²ÐÆþ¤ì
17Æü¤Ë¤Ä¤¯¤Ð¤Ç³«ºÅ¤µ¤ì¤ë¾®¼¼½Î¤ÎÁö¹Ô²ñ¤Ë´Ö¤Ë¹ç¤¦¤è¤¦¤Ë¤È
ÊÒ¼ê¤Çºî¶È¤·¤Ë¤¯¤¤¤±¤É°ìÀ¸·üÌ¿ºî¶È¡£
¥ª¥¤¥ë¥¯¡¼¥é¡¼¼è½Ð¤·¸ý¤È
¥ª¥¤¥ë¥Õ¥£¥ë¥¿¡¼¥±¡¼¥¹¤ò¼èÉÕ¤±
¼¡¤Ï¥ª¥¤¥ë¥Ñ¥ó¤Î¼èÉÕ¤±ÀäÈǤΥª¥¤¥ë¥¹¥È¥ì¡¼¥Ê¡¼¤ÎO¥ê¥ó¥°¤¬
¼è³°¤µ¤ì¤Æ¤¤¤¿¤Î¤Ç
ÂåÂØ¤Îʪ¤ò»ÈÍÑ¡£
¥ª¥¤¥ë¥Ñ¥ó¼èÉÕ¤±´°Î»¡£Ìý²¹·×¤â¼èÉÕ¤±´°Î»¤Ç¤¹¡£
ÅÀ²Ð·Ï¤Î¥À¥¤¥Ê¥³¥¤¥ë¤â¼èÉÕ¤±´°Î»¤·¤¿¤Î¤Ç
¤Þ¤Ã¤¡¼»ØÄê¤Î¥¨¥ó¥¸¥ó¥ª¥¤¥ë¥â¥Á¥å¡¼¥ë300V 15£×-50¤ò
ºñ¤ê½Ð¤·¤Æ¤¤¤ë´Ö¤Ë
¥Ð¥Ã¥Æ¥ê¡¼¤ÎÅ۵¤¬Ä㤫¤Ã¤¿¤Î¤Ç¥Ð¥Ã¥Æ¥ê¡¼¤Î½¼ÅÅ¡£
ºñ¤ê¼è¤Ã¤¿¥¨¥ó¥¸¥ó¥ª¥¤¥ë¤òÆþ¤ì¤Æ
¥¯¥é¥ó¥¥ó¥°¤Ä¤¤¤Ç¤Ë²¿»þ¤â¤Î

¼Â°µ½Ì°µÎϤò¬Äê
#1¡§1.25Mpa
#2¡§1.23Mpa

#3¡§1.20Mpa#4¡§1.28Mpa
Ê¿¶Ñ1.24Mpa
¤Þ¤¡¤³¤ó¤Ê¤â¤ó¤Ç¤·¤ç¤¦¡£
¥¨¥ó¥¸¥ó¥ª¥¤¥ë¤â²ó¤Ã¤¿¤Î¤ÇÁá®²ÐÆþ¤ì¡£
º¸¼ê¤ÎÊñÂÓ¤¬¥ì¥ó¥º¤Ë¥«¥Ö¤Ã¤Æ
ݵƫ¤·¤¤¡Ä¤±¤É̵»ö¤Ë²ÐÆþ¤ì´°Î»¡£
ÅÀ²Ð»þ´ü¤òÄ´À°#1.4¤È#2.3¤¬¾¯¤·¥º¥ì¤Æ¤¤¤¿¡©
²¿¤Ç¤À¤í¤¦¤«¡©¡©
¤³¤ÎÅÅ¥¿¥³¡¢¼Â¤Ïɽ¼¨¤¬¥º¥ì¤Æ¤¤¤ÆÅÅ¥¿¥³¾å¤Ç¤Ï5.000rpm¤Ë¤Ê¤Ã¤Æ¤Þ¤¹¤¬
¼ÂºÝ¤Ï
4500rpm¤Ç500rpm²óž¿ô¤¬°ã¤¤Â¿¤¯É½¼¨¤µ¤ì¤ë¤Î¤Ï
¼þÃΤλö¡£
¿··¿¶¯²½¥ª¥¤¥ë¥Ý¥ó¥×¤â¥Ô¥¹¥È¥ó¥¯¡¼¥é¡¼¤ò¼èÉÕ¤±¤Æ¤¢¤ë¤Î¤Ç
R¥¿¥¤¥×¤òÁõÃ夷¤Æ¤¢¤ê
Ìý°µ¤Ï6Mpa¤Ç¥ê¥ê¡¼¥Õ¤¬ºîư¤¹¤ë¤è¤¦¤Ë
ÀßÄꤷ¤Æ¤¢¤ê¤Þ¤¹¡£
¤³¤ì¤Ç17Æü¤ÎÁö¹Ô²ñ¤Ë´Ö¤Ë¹ç¤Ã¤¿¤Î¤Ç¤¹¤¬
¤Þ¤Ã¤¡¼¤¬²¿»þ¼Öξ¤ò°ú¼è¤ê¤ËÍè¤ì¤ë¤Î¤«ÂǤÁ¹ç¤ï¤»¤·¤¿¤é
®¹¶¤Ç̾¸Å²°¤«¤éÂçºå¤Þ¤Ç°ì¤ÃÁö¤ê¤Ç¤´ÍèŹ¡£
¤æ¤Ã¤¯¤êÃý¤ë»þ´Ö¤â̵¤¤¤°¤é¤¤
¹²¤·¤¯ÀѤ߹þ¤ß¤ò½ª¤¨¤Æ
¤µ¤Ã¤µ¤Èµ¢¤Ã¤Æ¹Ô¤¤Þ¤·¤¿¡£¤Þ¤Ã¤¡¼¥ì¡¼¥µ¡¼¹æ
¤â¤¦²õ¤µ¤Ê¤¤Íͤ˾è¤Ã¤Æ²¼¤µ¤¤¤Í¡£
¤ªµ¤¤òÉÕ¤±¤Æ¤ªµ¢¤ê²¼¤µ¤¤¡£
2016ǯ09·î12Æü
¸òḀ̈ȥé¥Ö¥ë¤È¥É¥é¥¤¥Ö¥ì¥³¡¼¥À¡¼
ºòÆü¤Î¥Ä¡¼¥ê¥ó¥°¤Ç̾¸Å²°¤Î̾Ìç´Ñ¸÷¥Ð¥¹²ñ¼Ò¤È
¸òḀ̈ȥé¥Ö¥ë¤¬¤¢¤ê¡¢ÉÔÌӤʸÀ¤¤Á褤¤ÎËö
¾Úµò¤ÏÁê¼ê¦¥Ð¥¹¤Î¥É¥é¥¤¥Ö¥ì¥³¡¼¥À¡¼¤Ë»Ä¤Ã¤Æ¤¤¤ë¤Î¤Ç
¸åÆü³Îǧ¤¹¤ë»ö¤Ë¤Ê¤ê
º£Æü̾Ìç¥Ð¥¹²ñ¼Ò¤ËÏ¢Íí¤·¥É¥é¥¤¥Ö¥ì¥³¡¼¥À¡¼¤Î
²òÀÏ·ë²Ì¤òôÅö¤ÎÊý¤«¤éʹ¤¤¤¿¡£
ºÇ½é¤Ï±Ç¤Ã¤ÆÌµ¤«¤Ã¤¿¤È¤«¸À¤¦¤Î¤«¤È»×¤Ã¤¿¤é
Áê¼êÊý¤ÎôÅö¼Ô¤«¤éÃúÇ«¤ËÂбþ¤·¤ÆÄº¤
¡ÖÌÀ¤é¤«¤Ë¤³¤Á¤é¤Î±¿Å¾¼ê¦¤¬³Îǧ¤òÂդäƤ¤¤Þ¤·¤¿¡×¤È
¤´Êó¹ð¤òĺ¤¤Þ¤·¤¿¡£
¥È¥é¥Ö¥ë¤Ë¤Ê¤Ã¤¿±¿Å¾¼ê¤Ï¸åÆüºÆ¶µ°é¤ò¹Ô¤¤
¼Õºá¤ÎÅÅÏäòÆþ¤ì¤ÆÌ㤦»ö¤Ë¤Ê¤ê¤Þ¤·¤¿¡£
¤³¤ì¤Ç¤Þ¤¿´Ñ¸÷¥Ð¥¹¤ÎÈᤷ¤¤»ö¸Î¤¬¸º¤ë»ö¤ò´ê¤¤¤Þ¤¹¡£
¥É¥é¥¤¥Ö¥ì¥³¡¼¥À¡¼¤ÎɬÍ×À¤Ï´¶¤¸¤Þ¤¹¤¬
¤ä¤Ï¤ê½ô¿Ï¤Î·õ¤Ç¤¹¤Í¡£
Âè6²óCP·îÎã¥Ä¡¼¥ê¥ó¥°
Å·µ¤¤â²óÉü¤·¥Ä¡¼¥ê¥ó¥°·è¹Ô¤È¤Ê¤Ã¤¿ºòÆü¡£
¤â¤¦²¿»þ¤â¤Î¸÷·Ê¤È¤Ê¤Ã¤¿
ÅöÆü¤Î¥¨¥¢¡¼¥Á¥§¥Ã¥¯¡£
¥¨¥¢¡¼ÉÔ¤ΤޤÞÁö¹Ô¤¹¤ë¥ê¥¹¥¯¤Ï
¥¿¥¤¥ä¤Î°Û¾ïȯǮ¤ä¡¢Å£¤Ê¤É¤ò½¦¤¤
¥Ñ¥ó¥¯¤¹¤ë¥ê¥¹¥¯¤ò¸º¤é¤¹¤Î¤Ç¡¢¥Ä¡¼¥ê¥ó¥°Á°¤Ë¤Ïɬ¤º¥Á¥§¥Ã¥¯¤·¤Þ¤·¤ç¤¦¡£
³¡¹¤ÈCP¤Ë½¸¹ç¤·¤Æ¤¯¤ë»²²Ã¼Ô¤ÎÊý
¤³¤ÎÆü¤Ï¥Õ¥©¥¢7Âæ¤È¥Ð¥ó¥Æ¥£¥Ã¥É1Âæ
¹ç·×8Âæ¤Ç¤Î¥¬¥Ã¥Ä¥ê¥³¡¼¥¹¥Ä¡¼¥ê¥ó¥°¤Ç¤¹¡£
¥·¥ã¥¤¤Ê16¹æµ¡¥ª¡¼¥Ê¡¼¤Ï
³§¤ÈÎ¥¤ì¤¿½ê¤ËÄä¼Ö¡Ä
µ¤¤ÎÃÖ¤±¤Ê¤¤Ãç´Öã¤Ê¤Î¤Ç
±ó褻¤º¤Ë¤ª´ê¤¤¤·¤Þ¤¹¤Í¡£
Âè°ì½¸¹ç¾ì½ê¤ÏÄê¹ï¤È¤Ê¤ê6Âæ¤Ç½Ðȯ¡¢ÂèÆó½¸¹ç¾ì½ê¤Ç
9¹æµ¡¤µ¤ó¤È¥Ð¥ó¥Æ¥£¥Ã¥É¤µ¤ó¤È¹çή¡£
Âè»°½¸¹ç¾ì½ê¤Î¾®Ìî¿·¥í¡¼¥½¥ó
¤³¤³¤Ç¤Ï¹çή¼Ô̵¤·¤À¤Ã¤¿¤Î¤Ç
»þ´Ö¤â²¡¤·¤Æ¤¤¤ë»ö¤â¤¢¤ê
¥È¥¤¥ì¤È°û¤ßʪµÙ·Æ¤ò½ª¤ï¤é¤»½Ðȯ¡£
Æ»¤Î±ØÈþ»³¤Ç¥½¥Õ¥È¥¯¥ê¡¼¥àµÙ·Æ¡£
Èþ»³¢ªÌ¾Åľ±´Ö¤Ç¤Î
¸òÄ̼èÄù¤ê¾ðÊó¤â¤¢¤Ã¤¿¤Î¤Ç
¸òḀ̈롼¥ë¤ò¼é¤é¤Ê¤¤¤È
¤³¤ó¤Ê³Ê¹¥¤ò¤·¤¿Êý¤ËÄɤ¤¤«¤±¤é¤ì¤Þ¤¹¡£
ÀèÆ¬¤ÏËͤʤΤÇÀÚ¤ê¹þ¤ßÂâĹÌò¤Ç¤¹¡£
»Ã¤¯Áö¤ë¤ÈÁð¤à¤é¤Ë²ø¤·¤¤¿Í±Æ¤òȯ¸«¤·¤¿¤Î¤Ç
Ãí°Õ¤·¤Æ¤ä¤í¤¦¤ÈÄä¼Ö¡£
¡Ö¤ªÁ°²ø¤·¤¤ÅÛ¤ä¤Ê¡ª¤³¤ó¤Ê½ê¤Ç²¿¤ò¤ä¤Ã¤È¤ë¡ª¡×
¤È¸À¤¦¤È¡Ö¸òÄ̰ãÈ¿¤Î¼èÄù¤ê¤ò¤·¤Æ¤¤¤ë¡×¤È¸À¤¦
¤Þ¤ë¤Ç·Ù»¡´±¤ß¤¿¤¤¤Ê»ö¸À¤¦²ø¤·¤¤ÅÛ¡ª
¡Ö¸òÄ̰ãÈ¿¤ò¼è¤êÄù¤Þ¤ëÁ°¤Ë¸òÄ̤ΰÂÁ´¤ò¼é¤ì¡ª¡×
¸¡µóÌÜŪ¤Î¼èÄù¤ê¤ò¤ä¤ëÁ°¤Ë¡¢¥Ñ¥È¥«¡¼¤Î1Âæ¤Ç¤âÃÖ¤¤¤ÆÍÞ»ßÎϤò»È¤¨¤È
º©¡¹¤È¸À¤¤Ê¹¤«¤»¤Æ¤ä¤Ã¤¿¡£
¤½¤Î´Ö¤Ë¸å³¤Î¥á¥ó¥Ð¡¼¤ä¾¤Î¼Öξ¤Ï¡¢¸òÄ̰ãÈ¿¤ò¤»¤º¤ËÄ̲᤹¤ë»ö¤¬½ÐÍ褿¡£
¤³¤ì¤ÏËͤ¬¸òÄ̤ΰÂÁ´¤ò¼é¤Ã¤¿¤«¤é¤À¤È»×¤Ã¤Æ¤Þ¤¹¡£



¤½¤·¤ÆÁ´°÷̵»ö¤ËÆ»¤Î±Ø¡Ö̾Åľ±Â¼¡×¤ØÅþÃå¡£
ºÇ½ª¤Î¥ë¡¼¥ÈÀâÌÀ¤ò¤·¤Æ¡¢¸òḀ̈롼¥ë¤ò¼é¤Ã¤Æ°ÂÁ´±¿Å¾¤ÇÁö¹Ô¤·
̵»ö¤Ë¡Ö¤«¤Í¤Þ¤Ä¡×¤ËÅþÃå¡¢¾¯¤·¤ÎÂÔ¤Á»þ´Ö¤ÇºÂÉߤËÃåÀÊ¡£
1,500±ß¤Çĺ¤¤Þ¤·¤¿¡£
ȿ§¶â¡¢È³¶â¤òʧ¤Ã¤¿¤È»×¤¨¤Ð
¤³¤ì¤°¤é¤¤°Â¤¤¤â¤Î¤Ç¤¹¡£
¤½¤·¤Æ¿Íµ¤â1¤Î¤«¤Í¤Þ¤ÄЧ¤òÁ´°÷¤¬È¯Ãí¡£ÆüÍËÆü¤Ê¤Î¤Ç¡¢µù¤¬Ìµ¤¤¤Î¤«
Á°²ó¤È¤Ï°ã¤¤Ãæ¿È¤¬¥¤¥«¥á¥¤¥ó¤À¤Ã¤¿¡£
¥¢¥é½Á¤Ï¤ª¤«¤ï¤ê¼«Í³¤Ç¤¹¡£
Ê̤ÇȯÃí¤·¤¿´ä²´éÚº£²ó¤Ï¾Æ¤¤Ç¤¹¡£
ÁêÊѤ餺¼ê¤Î¤Ò¤é¥µ¥¤¥º¡£
Ãë¿©¤â½ª¤ê¡¢Ê¢¤´¤Ê¤·¤Ë
¥¬¥Ã¥Ä¥ê¥³¡¼¥¹¤Î¥ì¥¤¥ó¥Ü¡¼¥é¥¤¥ó¤Ø¸þ¤¦»ö¤Ë¡£
¤½¤³¤Ç´Ñ¸÷¥Ð¥¹¤È¸òḀ̈ȥé¥Ö¥ë¤Ë¤Ê¤ê
Ƭ¤Ë·ì¤¬¾å¤Ã¤Æ¼Ì¿¿¤ò»£¤ë¤Î¤â˺¤ì¤Æ¤Þ¤·¤¿¤¬
Á´°÷̵»ö¸Î̵°ãÈ¿¤ÇÂè6²óCP·îÎã¥Ä¡¼¥ê¥ó¥°¤Ï½ª¤ï¤ê¤Þ¤·¤¿¡£
»°ÂåÌܹæ¤È16¹æµ¡
¤È¤Æ¤âÃç¤ÎÎɤ¤»°ÂåÌܹæ¤È16¹æµ¡
º£Æü¤ÏCPÂÔ¤Á¹ç¤ï¤»¤Î¥á¥ó¥Æ¥Ê¥ó¥¹¤Ë¤´ÍèŹ¡£
¤Þ¤º¤Ï»°ÂåÌܹ桢¥¹¥Æ¥Ã¥×°ÌÃÖ¤¬Á´ÂÎŪ¤Ë¹â²á¤®¤ë¤Î¤ÇÄ´À°¡£


¤Þ¤¡ºòÆü¤Î¥Ä¡¼¥ê¥ó¥°¤Ç¥·¥Õ¥È¥¢¥Ã¥×¤â¿É¤«¤Ã¤¿¤È»×¤¤¤Þ¤¹¡£
¥Ö¥ì¡¼¥¥Ú¥À¥ë¤â¤«¤Ê¤ê¾å¤À¤Ã¤¿¤Î¤Ç¤òÃÖ¤¯¤Ë¤âÃÖ¤±¤Ê¤¤¾õÂÖ¡£


¤³¤ì¤Ç¾è¤ê¤ä¤¹¤¯¤Ê¤Ã¤¿¤È»×¤¤¤Þ¤¹¡£
¼¡¤ËÃÙ¤ì¤Æ¤´ÍèŹ¤Ï16¹æµ¡¡£¥ª¥¤¥ë¸ò´¹¤Î¤´°ÍÍê¤Ç¤¹¡£
¿§¡¹¤ÈÌÑÁÛ¤¬»ß¤Þ¤é¤Ê¤¤¤é¤·¤¯
ºÇ½ªÅª¤Ë¤Ï¥¿¡¼¥Ü¤òÉÕ¤±¤¿¤¤¤È¸À¤¤½Ð¤¹¤Î¤Ç
¼è¹ç¤¨¤ºFCR¤òÉÕ¤±¤Æ¥Ñ¥ï¡¼¤ÎÂ䶤ò¤·¤Æ¤â¤é¤¦»ö¤Ë¤·¤Æ
½ãÀµ¥¥ã¥Ö¤ò¶¯À©Åª¤Ë¼è³°¤·¤Þ¤·¤¿¡£
1¹æµ¡¤ËÉÕ¤±¤Æ¤¤¤¿¥ª¥¤¥ë¥¥ã¥Ã¥Á¥¿¥ó¥¯¤ò
16¹æµ¡¤Ë¼èÉÕ¤±¡¢»þ¤¬Íè¤ì¤Ð
¥ì¥Ç¥å¡¼¥µ¡¼¤âÂ䶤·¤Æ¤â¤é¤¤¤Þ¤¹¡£
FCR¤ò¼èÉÕ¤±¤¿¤È¤³¤í¤Ç¶½Ê³¤âMAX¤Ë㤷¤¿¤Î¤«
W¥Ô¡¼¥¹¤Ë¤Ê¤ê¡¢¥·¥ã¥¤¤Ê´é¤Ë¤â
Çö¤é¤È¾Ð¤ß¤¬¤³¤Ü¤ì¤Þ¤¹¡£
¼èÉÕ¤±¤¬´°Î»¤·¤¿»þÅÀ¤Ç¼Ì¥á¤ò»£±Æ¤·¤À¤¹16¹æµ¡¥ª¡¼¥Ê¡¼
¤«¤Ê¤ê¶½Ê³¤·¤Æ¤¤¤ëÍͻҤ¬Ê¬¤«¤ê¤Þ¤¹¡£
¼è¹ç¤¨¤º±«¤â¤Þ¤À¹ß¤Ã¤Æ¤Ê¤¤¤Î¤Ç
»°ÂåÌܹæ¤È¥é¥ó¥Ç¥Ö¡¼Áö¹Ô¤Ø¡£·ë¶É´¬¤¹þ¤Þ¤ì¤¿·Á¤Ë¤Ê¤Ã¤¿»°ÂåÌܹæ¤Ç¤¹¤¬
ÃçÎɤ¯ÆóÂæ¤ÇÁö¤êµî¤Ã¤Æ¹Ô¤¤Þ¤·¤¿¡£
FCR¤Ë¾è¤Ã¤¿´¶¿¨¤òʹ¤¤¿¤¤¤Ç¤¹¤Í¡£
¶ä¤Á¤ã¤ó¹æ·Ñ³¼Ö¸¡¹ç³Ê
ǼÀǾÚÌÀ½ñ¤òʶ¼º¤·¤Æ¤·¤Þ¤¦¤È¸À¤¦Ä˺¨¤Î¥ß¥¹¤Ç
ºòÆü¤Î¥Ä¡¼¥ê¥ó¥°¤Ë»²²Ã½ÐÍè¤Ê¤«¤Ã¤¿¶ä¤Á¤ã¤ó¤Ïº£Æü
ǼÀǾÚÌÀ½ñ¤ò»ÔÌò½ê¤Çȯ¹Ô¤·¤Æ¤â¤é¤¤¼«Ê¬¤Ç½ñÎà¤Î¿³ºº¤ò¼õ¤±¤Ë
µþÅÔÆî¸¡ºº¾ì¤Ø¹Ô¤
·Ñ³¸¡ºº¤Î¹ç³Ê°õ¤òÌ㤤
¿·¤·¤¤¼Ö¸¡¾Ú¤È¸¡ºº¾Ú¥·¡¼¥ë¤òÌã¤Ã¤Æ¼«Ê¬¤ÇÄ¥ÂØ¤¨¡£
¤³¤ì¤Ç²¿»þ¤Ç¤âÁö¤ì¤ëÍͤˤʤ俤±¤É
ÊüÃÖ´ü´Ö¤¬Ä¹¤¤¤Î¤Ç
¼¡²ó¤Þ¤Ç¤Ë¥ª¥¤¥ë¸ò´¹¤Ê¤É¤Î¥á¥ó¥Æ¥Ê¥ó¥¹¤ò¤¹¤ëͽÄê¤Ç¤¹¡£
2016ǯ09·î10Æü
¥Ä¡¼¥ê¥ó¥°·è¹Ô
Ç¢»ÀÃͤϲ¼¤¬¤Ã¤¿¤Î¤Ç¤¹¤¬
´Îµ¡Ç½·Ï¤¬Æþ±¡¥ì¥Ù¥ë¤é¤·¤¤¡£Æâ²Ê¤Î¿ÇÃǤòÂ¥¤µ¤ì¤Þ¤·¤¿¤¬
¼è¹ç¤¨¤ºÍè·î¤Þ¤Ç
ÂԤäƤ¯¤ì¤ë¤è¤¦Íê¤ß¤Þ¤·¤¿¡£
¹üÀÞ¤·¤Æ¤«¤é¥¢¥ë¥³¡¼¥ë¤Ï
°û¤ó¤Ç¤Ê¤¤¤Î¤Ë
¤Á¤ç¤Ã¤È¿ôÃͤ¬¹ó¤¤¤«¤Ê¤¡
¹ü¤¬ÉÕ¤¯º¢¤Ë¤â¤¦°ìÅÙ·ì±Õ¸¡ºº¤ò¤·¤Æ¤â¤é¤Ã¤Æ
¿ôÃͤ¬²¼¤¬¤Ã¤Æ¤¤¤ì¤Ð¡¢°û¤àÎ̤ò¸º¤é¤¹¤è¤¦¤Ë¤·¤Þ¤¹¡£
´Î¹ÅÊѤˤʤë¤ÈǾ¤¬¤ä¤é¤ì¤ÆË½¤ì¤ë¤é¤·¤¤¤Î¤Ç
²Ç¤Ë¤ÏÌÂÏǤò³Ý¤±¤ì¤Ê¤¤¤Î¤Ç¡¢¼è¹ç¤¨¤º¼£ÎŤËÀìǰ¤·¤Þ¤¹¡Ä
¤µ¤Æ¡¢ÌÀÆü¤Î¥Ä¡¼¥ê¥ó¥°¤Ç¤¹¤¬Å·µ¤¤â²óÉü¤·¤Æ¤¤¿¤Î¤Ç
ͽÄêÄ̤ê·è¹Ô¤È¤Ê¤ê¤Þ¤¹¡£
¥¿¥¤¥à¥¹¥±¥¸¥å¡¼¥ë¤Ï9·î5Æü¤Î¥Ö¥í¥°¤Ç³Îǧ¤·¤Æ²¼¤µ¤¤¡£
ǰ¤Î°Ù²¼Ãå¤Ê¤É¤ÎÃåÂØ¤¨¤âÍѰդ·¤¿Êý¤¬Îɤ¤¤«¤â¡£
¶ä¤Á¤ã¤ó¤´ÍèŹ
ǼÀǾÚÌÀ¤ò²ÈÃæ¡¢¼Ö̵̾¤·¤Æ¤â½Ð¤Æ¤³¤Ê¤«¤Ã¤¿¤é¤·¤¤¡Ä
¤Þ¤¡»ÔÌò½ê¤ÇºÆÈ¯¹Ô¤·¤Æ¤â¤é¤Ã¤Æ²¼¤µ¤¤¡£
¼Öξ¦¤Î¸¡ºº¤Ï¹ç³Ê¤·¤Æ¤¤¤ë¤Î¤Ç²¿»þ¤âÄ̤ê¤Î·Á¤ËÉüµì¤¹¤ëºî¶È¡£
¤³¤ì¤Ð¤Ã¤«¤ê¤ÏËܿͤˤªÇ¤¤»¡£
Ëͤ¬¤ä¤Ã¤Æ¤âʬ¤«¤é¤Ê¤¤¤«¤é¤Í¡£
Éüµì´°Î»¤Ç¤¹¡£¤Ç¤â·ë²ÌŪ¤ËÌÀÆü¤Î¥Ä¡¼¥ê¥ó¥°¤Ë¤Ï
´Ö¤Ë¹ç¤ï¤Ê¤«¤Ã¤¿¤Î¤Ç
»Äǰ¤Ê¤¬¤éÌÀÆü¤ÏÉÔ»²²Ã¤È¤Ê¤ê¤Þ¤¹¡£
¥Ï¥ä¥·¥¥ã¥¹¥ÈÆþ²Ù
¤¹¤Ã¤«¤ê˺¤ì¤Æ¤¿¤Î¤Ç¤¹¤¬¡¢É±¡¤«¤éµ¢¤Ã¤Æ»Ã¤¯¤¹¤ë¤È
²Ü°Ð¹æÍѥϥ䥷¥¥ã¥¹¥È¤¬¤ä¤Ã¤ÈÆþ²Ù¤·¤ÆÍè¤Þ¤·¤¿¡£
BEET¤Î¥¥ã¥¹¥È¤â¡¢H¥ê¥à¤â¿·ÉʤΥۥ¤¡¼¥ë¤Ë¥¿¥¤¥ä¤òÆþ¤ì¤ë¤Î¤Ï
·ã¤·¤¯¶ÛÄ¥¤¹¤ë¾å¤Ë
º¸¼ê¤¬¤Þ¤È¤â¤Ë»È¤¨¤Ê¤¤¤Î¤Ç;·×¤Ë¡Ä
¤Ç¤â̵»ö¤Ë¥¿¥¤¥ä¤ò¥»¥Ã¥È½ÐÍè¤Þ¤·¤¿¡£¤Þ¤¡ÊñÂÓ¤¬Íí¤ó¤Ç¤·¤Þ¤¤
¾¯¤·¾Ç¤ê¤Þ¤·¤¿¤±¤É¡Ä
ȯÁ÷¤Î½àÈ÷¤Ë³Ý¤«¤ê¤Þ¤¹¡£
17¹æµ¡Íѥե졼¥à¥Ö¥é¥¹¥È¹Ô¤
17¹æµ¡ÍѤΥե졼¥à¤ò¥Ö¥é¥¹¥È¤Ø½Ð¤·¤Þ¤·¤¿¡£¥µ¥¤¥É¥¹¥¿¥ó¥É¤¬¥À¥á¤Ê¤Î¤Ç
¸ò´¹¤¹¤ëͽÄê¤Ç¤¹¤¬¡¢¥Ö¥é¥¹¥È¤Ç
¥Õ¥ì¡¼¥à¤Ë·ê¤¬³«¤¯¤«¤âÃΤì¤Ê¤¤¡Ä
18¹æµ¡¤â¥Õ¥ì¡¼¥à¤¬½ÐÍè¾å¤¬¤ì¤Ðľ¤°¤Ë¼è³Ý¤«¤ì¤ë¤è¤¦
½àÈ÷¤ò¿Ê¤á¤Æ¤Þ¤¹¡£
¤Þ¤Ã¤¡¼¥ì¡¼¥µ¡¼¹æ¥¨¥ó¥¸¥ó»Å¾å¤²1ÆüÌÜ
ËÜÅö¤Ê¤éº£Æü°ìÆü¤¢¤ì¤Ð²ÐÆþ¤ì½ÐÍè¤ë¤Î¤Ç¤¹¤¬
²¿¤«¤ÈÉÔÊØ¤Ê¤³¤Î¿ÈÂΤʤΤǡ¢¥Ü¥Á¥Ü¥Á3Æü¤°¤é¤¤¤Ç»Å¾å¤²¤ëͽÄê¡£
¤Þ¤º¤ÏR¦´¥¼°¥¯¥é¥Ã¥Á¤ÎÁÈÉÕ¤±¥À¥¤¥ÊS¤â¼èÉÕ¤±¤ë½àÈ÷¤â´°Î»¡£
Ť¤»öÊüÃÖ¤·¤Æ¤¿¤Î¤Ç
²¿¤À¤«¥Ü¥ë¥È¤¬²¿Ëܤ«ÉÔÌÀ¤Ë¡Ä
´¥¼°¥¯¥é¥Ã¥Á¤È¥À¥¤¥ÊS¤Î¼èÉÕ¤±´°Î»¡£¥¯¥é¥Ã¥Á¤Î´¶¿¨¤¬¤Á¤ç¤Ã¤ÈÊѤï¤Ã¤¿¤«¤Ê¡©
¾è¤Ã¤ÆÄ´À°¤·¤Æ¤ß¤Æ²¼¤µ¤¤¡£
¼¡¤ËL¦¤ò¤ä¤ê¤¿¤¤¤Î¤Ç¤¹¤¬
¾ì½ê¤¬°¤¤¤Î¤Çư¤«¤·¤¿¤¤¤È»×¤Ã¤Æ¤¤¤ë½ê¤Ø¥¿¥¤¥ß¥ó¥°Îɤ¯£÷
µì2¹æµ¡¥ª¡¼¥Ê¡¼¤¬¤´ÍèŹ¡£º¸¼ê¤¬»È¤¨¤Ê¤¤ËͤËÀ®¤êÂå¤ï¤ê
¶¯À©Åª¤ËËͤκ¸¼ê¤Ë¤Ê¤Ã¤Æ¤â¤é¤¤¤Þ¤¹¡£
¤Þ¤Ã¤¡¼¥ì¡¼¥µ¡¼¹æ¤ÎL¦¤¬
ºî¶È¤·°×¤¤¤è¤¦¤Ë¿¿¤óÃæ¤Ë°Üư¤·¤Æ¤â¤é¤¤¤Þ¤·¤¿¡£
¥µ¥¯¥µ¥¯¥Ã¤ÈL¦¤òÁÈÉÕ¤±ÊÒ¼ê¤Ê¤Î¤Ç¥¨¥ó¥¸¥ó¥Þ¥¦¥ó¥È¥Ü¥ë¥È¤Ï
¸å¤ÇÆþ¤ì¤ë»ö¤Ë¤·¤Þ¤·¤¿¡£
¥«¥Ð¡¼¤ò¥»¥Ã¥È¤·¤Æ¥¨¥ó¥¸¥ó¥Þ¥¦¥ó¥È¥Ü¥ë¥È¤òÆþ¤ì
L¦¤â´°À®¤Ç¤¹¡£
FCR¤â¼èÉÕ¤±´°Î»¡£º£Æü¤Îºî¶È¤Ï¤³¤ì¤Þ¤Ç
¥ª¥¤¥ë¥Ñ¥ó¼þ¤ê¤Ï¤Þ¤¿¸åÆü¤Ç¤¹¡£
¤ä¤Ã¤Ñ¤êξ¼ê¤¬»È¤¨¤Æ¤¤¤ì¤Ð
°ìÆü¤Ç½ª¤ï¤ëºî¶È¤À¤Ê¤¡¡Ä¤Èº¸¼ê¤ÎÄˤߤò²æËý¤·¤Ê¤¬¤é»×¤Ã¤¿¡£
2016ǯ09·î09Æü
¥«¥á
Íè½µ¤°¤é¤¤¤Ë»°½Å¤Þ¤Ç¥Ð¥¤¥¯¤Î°ú¤¼è¤ê¤Ë
¹Ô¤¤¿¤¤¤Î¤Ç¤¹¤¬¡¢¤½¤ì¤âÈù̯¤Ç¤¹¡Ä
ÌÀÆü¤Î¥Ö¥í¥°¤ÇÂè6²óCP¥Ä¡¼¥ê¥ó¥°¤ò
·è¹Ô¤¹¤ë¤«Ãæ»ß¤¹¤ë¤«¤òȽÃǤ·¤Æ¡¢·ÇºÜ¤·¤Þ¤¹¤Î¤Ç
¤è¤í¤·¤¯¤ª´ê¤¤Ãפ·¤Þ¤¹¡£
¼«Âð¤Î¸¼´Ø
4.5ÆüÁ°¤Ë²Ç¤Îͧ㤫¤éÁ÷¤é¤ì¤Æ¤¤¿
µµ¤ÎÇíÀ½¤¬¸¼´Ø¤ËÃÖ¤«¤ì¤Æ¤Þ¤¹¡Ä¤Þ¤À´·¤ì¤Æ¤¤¤Ê¤¤¤Î¤Ç̤¤À¤Ë¸¼´Ø¤Ë¹Ô¤¯¤È
ËèÆü¡Ö¥É¥¥Ã¡ª¡×¤È¤·¤Þ¤¹¡£
¤Þ¤À¼¯¤Èì¤â¤¢¤ë¤½¤¦¤Ç¤¹¤¬
´ªÊÛ¤·¤Æ¤¯¤À¤µ¤¤¡Ä£÷
·Ñ³¼Ö¸¡1¾¡1ÇÔ
³«Å¹µÙ¶È¾õÂ֤ʤΤǡ¢ËèÆü¤¬Î×»þµÙ¶È¤ß¤¿¤¤¤Êʪ¡£
¤Ê¤Î¤Çº£Æü¤ÏʤòÄù¤á¤Æ¡¢·Ñ³¼Ö¸¡¤Ø¡£
¶ä¤Á¤ã¤ó¹æ¤Ï¾¬ÀѤߤ·¤Æ¼«Â𤫤鸡ºº¾ì¤Ø¸þ¤¤¤Þ¤·¤¿¡£
°ì¿Í¤Ç¥µ¥Ë¥È¥é¤«¤é²¼¤í¤»¤ë¤Î¤«¤Á¤ç¤Ã¤È¿´ÇۤǤ·¤¿¤¬
²¿»ö¤â̵¤¯Ìµ»ö¤Ë²¼¤í¤¹»ö¤¬½ÐÍè¤Þ¤·¤¿¡£
¤Þ¤º¤Ï½ñÎà¤Î¥Á¥§¥Ã¥¯¤Ê¤ó¤Ç¤¹¤¬
²¿¤È¤Þ¤¡¡Äº£Ç¯¤ÎǼÀǾÚÌÀ½ñ¤¬Æþ¤Ã¤Æ¤¤¤Þ¤»¤ó¤Ç¤·¤¿¡Ä
¤³¤Î»þÅÀ¤ÇKOÉ餱¤Ç¤¹¡Ä
¥é¥¤¥ó¤À¤±Ä̤·¤Æ¤ª¤¯»ö¤Ë¤·¤¿¤Î¤Ç¤¹¤¬
Ê¿À®13ǯÅÐÏ¿¤Ê¤Î¤Ç¥Ø¥Ã¥É¥é¥¤¥È¤Ï¾ï»þÅÀÅô¤Ê¤Î¤ò
¤¹¤Ã¤«¤ê˺¤ì¤Æ¤¤¤Æ
¥Ø¥Ã¥É¥é¥¤¥È¤òÀڤäƤ·¤Þ¤Ã¤¿¡ª
´°Á´¤Ë¥Î¥Ã¥¯¥¢¥¦¥È¾õÂ֤Ǥ·¤¿¤¬¤³¤³¤ÏºÙ¹©¤ò¤·¤Æ¾ï»þÅÀÅô¤Ë¤·¤Æ
ÂèÆó¥é¥¦¥ó¥É¤ËÄ©À
̵»ö¤Ë¥é¥¤¥ó¤ÏÄ̤ê¤Þ¤·¤¿¡£¸å¤ÏǼÀǾÚÌÀ½ñ¤ò2½µ´Ö°ÊÆâ¤Ë
¸¡ºº¾ì¤Ë»ý¤Ã¤Æ¹Ô¤
½ñÎà¤Î¹ç³Ê°õ¤òÌ㤨¤ÐOK¤Ç¤¹¡£
¼¡¡¢Âè»°¥é¥¦¥ó¥É¤Ë¤Ê¤Ã¤Æ¤·¤Þ¤Ã¤¿Âçºå¤ÎK¹æ¡¢¤³¤ì¤â¾¯¤·
ÌäÂê¤Î¤¢¤ë¼Öξ¤Ç¤¹¤¬
Á´¤Æ1ȯ¹ç³Ê¡¢KO¾¡¤Á¤Ç¤¹¡£
Î٤Υ«¥Þ¥íZ28¤ÏÄ«¤«¤é¤º¤Ã¤Èµï¤Þ¤¹¡Äº£¹¹¤Ê¤¬¤é¤³¤Î¥«¥Þ¥íZ28Íߤ·¤¤¤Ç¤¹¤Í¡£
¤Ç¤âº£¤Ï¥µ¥Ë¥È¥é¥é¥Ö¤Ê¤Î¤Ç¡ª
¼è¹ç¤¨¤º¸¡ºº¾Ú¥¹¥Æ¥Ã¥«¡¼¤òÄ¥ÂØ¤¨¡£¾®ºÙ¹©¤ò¸µ¤ËÌ᤹ºî¶È¤È
»Ä¤ê¤ÎÀ°È÷¤ò¤ä¤Ã¤Æ¤·¤Þ¤¤¤Þ¤¹¡£
CPÀ½¤Î¥ª¥¤¥ë¥·¡¼¥ë¥Û¥ë¥À¡¼Æþ¤Ã¤Æ¤Þ¤¹¡ª
º£²ó¤Ï¤³¤Î±ü¤Ë¤¢¤ë¥ª¥¤¥ë¥·¡¼¥ë¤ò
¸ò´¹¤·¤Þ¤¹¡£
¥µ¥¯¥Ã¤È¼è³°¤·¤Þ¤·¤¿¤¨¤é¤¯ÊÑ·Á¤·¤Æ¤Þ¤·¤¿¤Í¡£
¿·¤·¤¤¥ª¥¤¥ë¥·¡¼¥ë¤òÁÞÆþ¤·¤Æ¥ª¥¤¥ë¥·¡¼¥ë¥Û¥ë¥À¡¼¤òÆþ¤ì
¤³¤ì¤ÇÂçºåK¹æ¤Îºî¶È¤ÏÁ´¤Æ´°Î»¤Ç¤¹¡£
¸å¤Ï¶ä¤Á¤ã¤ó
º£Ç¯¤ÎǼÀǾÚÌÀ½ñ¤ò»ý¤Ã¤ÆÍè¤Æ¤¯¤À¤µ¤¤¡Ä
2016ǯ09·î08Æü
¼Ö¸¡½àÈ÷
ºòÆü¤Ï;¤ê¤ÎÄˤµ¤«¤é
ÅǤµ¤¤òÌÏÍͤª¤¹¤°¤é¤¤¤À¤Ã¤¿¤Î¤Ç
±«¤â¹ß¤ë¤È¸À¤¦¤Î¤Ç¸á¸å¤«¤éÁ᡹¤Ëµ¢Âð¡£
¤Ç¤â±«¤ÏͼÊý¤Ë¤Ê¤Ã¤Æ¤«¤é¹ß¤ê½Ð¤·¤¿¡£
¤½¤ì¤Ê¤é¶ä¤Á¤ã¤óÄ®¾è¤ê¹æ¤Î¼Ö¸¡¤Ë¹Ô¤±¤ÐÎɤ«¤Ã¤¿¡Ä
º£Æü¤Ï¾®»Ø¤Î¿Ç»¡¤Î°Ù¡¢¤ªÃë¤Ë°ìöÊÄŹ¤·¤ÆÉ±¡¤Ø
±«¤â¾å¤¬¤Ã¤Æ¤¤¤ÆÎɤ¤¥¿¥¤¥ß¥ó¥°¤À¤Ã¤¿¡£
¤Ç¤â¥ì¥ó¥È¥²¥ó¤Î·ë²Ì¡¢¾õÂÖ¤ÏÎɤ¤¤±¤É
Á´Á³¹ü¤¬°ú¤ÃÉÕ¤¯µ¤ÇÛ¤¬Ìµ¤¤¡Ä
¥Ð¥¤¥¯¤Ë¾è¤ë¤Î¤Ï¿ʬÂç¾æÉפÀ¤È»×¤¦¤±¤É
ÆüÍËÆü¤ÎÅ·µ¤¤¬²ø¤·¤¤¤Î¤¬¿´ÇۤǤ¹¡£
¾®»Ø¤Î»×¤¤½Ð
º£Æüɱ¡¤Ø¹Ô¤Ã¤Æ¤½¤Î¸å¤Î·Ð²á¤ò¥ì¥ó¥È¥²¥ó»£±Æ¤·¤ÆÍè¤Þ¤·¤¿¡£
¾õÂÖ¤ÏÎɤ¤¤±¤É¡¢¹üÀ޲ս꤬
Á´Á³¹ü¤¬½ÐÍè¤ÆÍè¤Ê¤¤¤Î¤Ç
¸å2½µ´Ö¤â¿¤Ó¤Æ¤·¤Þ¤¤¤Þ¤·¤¿¡£
¤Ê¤Î¤Ç¤Þ¤¿2½µ´Ö¸å¤Ë
¥ì¥ó¥È¥²¥ó»£±Æ¤¹¤ë»ö¤Ë¤Ê¤ê¡¢¤½¤Î¸å»Ø¤À¤±¤Î¸ÇÄê¤Ë¤Ê¤ë¤½¤¦¤Ç¤¹¡£
¶ä¤Á¤ã¤ó¹æK¹æ¼Ö¸¡À°È÷
ÉáÃʤ«¤éÀ°È÷¤Î¹Ô¤ÆÏ¤¤¤Æ¤¤¤ë¶ä¤Á¤ã¤ó¹æ¤Ç¤¹¤¬
¥Ö¥ì¡¼¥¥Õ¥ë¡¼¥É¤°¤é¤¤¤Ï¸ò´¹¤·¤Þ¤¹¡£
¥¦¥Ã¥Ò¥ã¡¼£÷²¿¤Ê¤ó¤À¤³¤Î¹õ¤¤¤Î¤Ï¡©
¥Ö¥ì¡¼¥¥Õ¥ë¡¼¥É¤òÈ´¤¤¤ÆÀö¾ô¡£
W¥Ç¥£¥¹¥¯¤Ï²¿¤«¤ÈÌÌÅݤǤ¹¤Í¤§¡Ä
åºÎï¤Ë¤Ê¤Ã¤¿¥Ö¥ì¡¼¥¥Õ¥ë¡¼¥É
ºÇÄã¤Ç¤â2ǯ¤Ë°ìÅÙ¸ò´¹¤¹¤ëÍýͳ¤Ï
¸å¤Ç¾Ü¤·¤¯½ñ¤¤Þ¤¹¡£
¶ä¤Á¤ã¤ó¤Î¤Ï¥ê¥¢¡¼¤â¥Ç¥£¥¹¥¯¤Ê¤Î¤Ç
¥ê¥¢¥Þ¥¹¥¿¡¼¥«¥Ã¥×¤ò³«¤±¤ë¤È
2ǯ½ÏÀ®¥Ö¥ì¡¼¥¥Õ¥ë¡¼¥É¤Î
¥Ö¥ì¡¼¥¥Õ¥ë¡¼¥É¤ÎÎɤ¤¿§¤Ë¤Ê¤Ã¤Æ¤Þ¤¹¡£
¤³¤ì¤â¸ò´¹¤¹¤ë¤Èàèàá¿§¤«¤é
Æ©ÌÀ¤Ê¿§¤Ë¤Ê¤ê¤Þ¤¹¡£
¸ò´¹¤¹¤ëÍýͳ¤Ï¡¢»Ï¤á¤Ï̵¿§Æ©ÌÀ
·ÐǯÎô²½¤äµÛ¼¾¤Ë¤è¤ê
¼¡Âè¤Ë²«¿§¤«¤éÃã¿§¡¢¹õ¿§¤Ø¤ÈÊÑ¿§¤¬¿Ê¤ó¤Ç¹Ô¤Ã¤ÆºÇ½ªÅª¤Ë·ë¾½²½¤·¤Æ¤·¤Þ¤¦¡£
¿åʬ¤ò¹¥¤à¤Î¤Ç¡¢¥Õ¥ë¡¼¥É¤ÎÃæ¤Ë¿åʬ¤¬Æþ¤ê¹þ¤à¤È
ʨÅÀ¤¬²¼¤¬¤ê¥Ù¡¼¥Ñ¡¼¥í¥Ã¥¯¸½¾Ý¤òµ¯¤·¤Æ¤·¤Þ¤¦¤«¤é¡£
°ìÈÌŪ¤Ë»È¤ï¤ì¤ëDOT4¤Ê¤é¡Ý50¡î¤Ç¤â¶Å¸Ç¤»¤º230¡î¤Ç¤âʨƤ·¤Ê¤¤¤ó¤Ç¤¹¤¬
¿åʬ¤ò´Þ¤à¤È¥Õ¥ë¡¼¥É¤ÎǽÎϤÏÈ¾Ê¬ÄøÅ٤ޤDz¼¤¬¤ë¤Î¤Ç
ʨƤ¹¤ë¤Èµ¤Ë¢¤¬½ÐÍè¤Æ¥Ö¥ì¡¼¥¤¬¸ú¤«¤Ê¤¯¤Ê¤ë»ö¤ò
¥Ù¡¼¥Ñ¡¼¥í¥Ã¥¯¸½¾Ý¤Ã¤Æ¸À¤¤¤Þ¤¹¡£
²Ç¤Ë¼êÅÁ¤Ã¤Æ¤â¤é¤Ã¤ÆÀѹþ¤ó¤À¤±¤É
ÌÀÆü¸¡ºº¾ì¤Ç°ì¿Í¤ÇÀѤ߲¼¤í¤·¤¬
½ÐÍè¤ë¤Î¤«¤¬¿´ÇÛ¤À¤Ê¤¡¡Ä
½ÐÍè¤ë¤«¤Ê¤¡¡Ä
¸á¸å¤«¤é¼Ö¸¡Í½Äê¤Î¡¢Âçºå¤ÎK¹æ
¤³¤Î¼Öξ¤Ï¤Þ¤À¸¡ºº¤¬»Ä¤Ã¤Æ¤¤¤ë¤Î¤Ç
¼«Áö¤Ç¹Ô¤³¤¦¤È»×¤Ã¤Æ¤Þ¤¹¡£
¼è¹ç¤¨¤º¸÷ÎÌUP¤ÎÇÛÀþ¤ò¤·¤Æ
¤³¤ì¤â¥Ö¥ì¡¼¥¥Õ¥ë¡¼¥É¤ò¸ò´¹¡£
¥Þ¥¹¥¿¡¼¥«¥Ã¥×¤¬¹õ¤¤¤Î¤Ç
ʬ¤«¤ê¿É¤¤¤±¤É¡¢2ǯʪ¤Î¿§¤Ë
»Å¾å¤¬¤Ã¤Æ¤¤¤ë¾å¤Ë¥Õ¥ë¡¼¥É¤¬¸º¤Ã¤Æ¤Þ¤¹¡£
¿ʬ¥Ö¥ì¡¼¥¥Ñ¥Ã¥È¤¬¸º¤Ã¤Æ¤¤¤ë¤«¤é¤À¤È»×¤¤¤Þ¤¹¡£
åºÎï¤Ê¥Õ¥ë¡¼¥É¤ÈÆþÂØ¤¨¤ë¤È
Ä줬Ʃ¤±¤Æ¸«¤¨¤Þ¤¹¤Í¡£
ÌÀÆü̵»ö¤Ë¼Ö¸¡¤¬¼õ¤±¤ì¤Þ¤¹ÍͤˡÄ
¸¡ºº¤¬¹ç³Ê¤·¤Æ¤«¤é¡¢Â¾¤Î½ê¤â¥Á¥§¥Ã¥¯¤·¤Þ¤¹¤Í¡£
2016ǯ09·î07Æü
¥¨¥ó¥¸¥óÅëºÜ¡¦¡¦¡¦
¤Þ¤¡¼ò¤ò°û¤ó¤Ç¿ì¤Ãʧ¤Ã¤Æ²ø²æ¤ò¤·¤¿¤Î¤Ç
²Ç¤ÎÁ°¤Ç¥¢¥ë¥³¡¼¥ë¤òÀݼ褹¤ëº¬À¤Ê¤ó¤Æ
¤¢¤ë¤Ï¤º¤â̵¤¤¡Ä
¿ʬ°û¤ó¤Ç¤â²¿¤â¸À¤ï¤Ê¤¤¤Î¤Ïʬ¤«¤Ã¤Æ¤¤¤ë¤±¤É
¿´¤ÎÃæ¤Ç»×¤Ã¤Æ¤¤¤ë»ö¤âʬ¤«¤ë¡£
¤½¤ó¤Ê¤â¤ó¡¢²Ç¤ÎÁ°¤Ç°û¤á¤ëʬ¤±¤¬Ìµ¤¤¡£
¥Û¥¤¡¼¥ë½¤Àµ
º£¤Þ¤Ç̵Â̤ËY¥ª¥¯¤Ç¶Ê¤¬¤ê̵¤·¤È¸À¤¦²Î¤¤Ê¸¶ç¤ÇÇã¤Ã¤Æ¤Ï
ñÙ¤µ¤ì¡¢¼ºÇÔ¤·Â³¤±¤¿¥Û¥¤¡¼¥ë¤ò½¤Àµ¤Ë½Ð¤·¤Þ¤·¤¿¡£
¤Þ¤À¥¬¥ì¡¼¥¸¤Ë¤Ï¶Ê¤¬¤Ã¤¿¥Û¥¤¡¼¥ë¤¬
2.3ËÜž¤¬¤Ã¤Æ¤Þ¤¹¡£
¥¬¥ê½ý¤È·Ú¤¤ÏĤߤ⤳¤ÎÄ̤ꤹ¤Ã¤«¤êåºÎï¤Ë¤Ê¤ê¤Þ¤·¤¿¡£
¤³¤ì¤ÏÂ礤ÊÏĤߤ¬¤¢¤Ã¤¿²Õ½ê¡£åºÎï¤Ë½¤Àµ¤µ¤ì¤Þ¤·¤¿¡£
¤³¤ì¤âÂ礤¯ÏĤó¤Ç¥¬¥ê½ý¤¬¤¢¤Ã¤¿Êª¤Ç¤¹¤¬
åºÎï¤Ë½¤Àµ¤·¤Æ¤¢¤ê¤Þ¤¹¡£
¤³¤ì¤âÏĤߤ¬¤¢¤Ã¤¿ÊªåºÎï¤Ë½¤Àµ¤µ¤ì¤Þ¤·¤¿¡£
¤³¤ì¤Ç¡¢°ì±þ̵Â̤˥«¥¹¥¿¥àÍÑ¥Û¥¤¡¼¥ë¤Î
ºß¸Ë¤¬³ÎÊݽÐÍè¤Þ¤·¤¿¡£
¤Þ¤Ã¤¡¼¥ì¡¼¥µ¡¼ÍÑ¥¨¥ó¥¸¥ó´°À®
ÄêµÙÆü¤Ê¤Î¤Ç¤æ¤Ã¤¯¤êÌܤνжÐ
ºòÆü¥Ø¥Ã¥É¤òÅëºÜ¤·¤¿¤Þ¤Ã¤¡¼¥ì¡¼¥µ¡¼¹æÍÑ¥¨¥ó¥¸¥ó¤Î
Áý¤·Äù¤á¤ò¤ä¤Ã¤Æ
»Å¾å¤²ºî¶È¤Ë³Ý¤«¤ê¤Þ¤¹¡£
¥Ø¥Ã¥É¥«¥Ð¡¼¤â¼èÉÕ¤±´°Î»¡£º¸¼ê¤¬»Ø3Ëܤ·¤«»È¤¨¤Ê¤¤¤Î¤Ç
»ý¤Á¾å¤²¤ë»ö¤¬½ÐÍè¤ë¤Î¤«
¤ä¤Ã¤Æ¤ß¤ë¤È¡¢»ý¤Á¾å¤²¤ì¤¿¤Î¤Ç
¼è¹ç¤¨¤ººî¶ÈÂæ¤«¤éÂæ¼Ö¤Ø°Üư¤µ¤»¤³¤ì¤Ê¤é¥¨¥ó¥¸¥ó¤ò¥Õ¥ì¡¼¥à¤Ë
ÅëºÜ½ÐÍè¤ë¤ó¤¸¤ã¤Í¤§¡©¤È
»×¤Ã¤¿¤Î¤Ç¥Á¥ã¥ì¥ó¥¸¡ª
²¿»þ¤â¤Î¤è¤¦¤ËÅëºÜ½àÈ÷¤òÀ°¤¨¤Æ¥¨¥ó¥¸¥ó¤òº¸¼ê¤Î»Ø3ËܤÈ
±¦¼ê¤Ç»ý¤Á¾å¤²¤Æ¥Õ¥ì¡¼¥à¤Ë
ÅëºÜ¤·¤è¤¦¤È¤·¤¿¤±¤É¤â
¤ä¤Ã¤Ñ¤ê¤½¤ó¤Ê¤Ë´Å¤¯¤Ê¤¯¡¢¤â¤¦Ì᤹¤âÃϹö¡¢¿Ê¤à¤âÃϹö¤Î·ãÄË¡Ä
²¿»þ¤â¤Î¤è¤¦¤Ë¡Ö¤É¡¼¤ó¡ª¡×¤È¤Ï¹Ô¤«¤ºÂ¿Ê¬¤Þ¤¿»Ø¤¬Àޤ줿¤ó¤¸¤ã¤Ê¤¤¤«¤È
»×¤¦¤°¤é¤¤Ìý´À¤òή¤·¤Ê¤¬¤é
²¿¤È¤«ÅëºÜ´°Î»¡£
¤½¤ó¤Ê¤â¤óº£Æü¤³¤ì°Ê¾å»Å»ö¤ò¤ä¤ë¤ëµ¤ÎϤòÁ´¤Æ»È¤¤²Ì¤¿¤·
¤½¤Î¾å¤³¤Î·ãÄˤÈÅù²Á¸ò´¹¤Ç
¥¨¥ó¥¸¥ó¤òÅëºÜ½ÐÍ褿¤Î¤Ç
º£Æü¤Ï¤â¤¦½ªÎ»¡£
2016ǯ09·î06Æü
4into1 Owner's Club¹çƱ¥ß¡¼¥Æ¥£¥ó¥°
-----ÅÁÀâ¤Î¡Ú¥«¥é¥ª¥±ÃϹö¥Ä¡¼¡ÛÂè¹ÃÆ-----
¡ù4into1 Owner's Club ¥¸¥ç¥¤¥ó¥È´ë²è¡ª¡ù
¹ÈÍդߤʤ¬¤é±üÈôÂͳ¹Æ»¤òËþµÊ¤·¤¿¸å¤Ï¡¦¡¦
Ä«¤Þ¤Ç±ã²ñÁ´³«¥Ä¡¼¥ê¥ó¥°¡ª¡ù
¤È¤¡§£±£±·î£±£²Æü(ÅÚ)¡Á£±£³Æü(Æü)
½¸¹ç¾ì½ê¡§Æ»¤Î±Ø¡Öºù¤Î¶¿ ÁñÀî¡×
½¸¹ç»þ´Ö¡§£±£±·î£±£²Æü¡¡£Ð£Í£²¡§£³£°
½ÉÇñ¡§Á°²ó¤ÈƱ¤¸
°ìÇñÆó¿©ÉÕ¤ 11,000±ß¡Ü°û¤ßÂå
¡Ê¥¬¥ì¡¼¥¸¼ýǼ£²£µÂæ¡Ë
ºÙ¤«¤¤»ö¤Ïµ¤¤Ë¤¹¤ó¤Ê¥Ã¡ª¥Õ¥©¥¢¤¬¹¥¤¤Ê¤éÂç´¿·Þ¡ª
³Ú¤·¤¯Í·¤Ù¤ê¤ãÂçÀ®¸ù¡ª
4into1 Owner's Club¥¯¥é¥Ö°÷°Ê³°¤Ç¤â»²²Ã´¿·Þ¤Î´ë²è¤Ç¤¹¤Î¤Ç
»²²Ã´õ˾¼Ô¤Ï072-380-9715¥«¥¹¥¿¥à¥Ñ¥é¥Î¥¤¥¢¤Þ¤Ç¡£
¾®»Ø¤Î»×¤¤½Ð
¾®»Ø¤ò¹üÀÞ¤·¤Æ¤«¤éº£Æü¤Ç10ÆüÌܡĺòÆüÉ÷Ϥ¤ËÆþ¤ë»þ¤Ë
¾®»Ø¤ò¸ÇÄꤷ¤Æ¤¤¤ëÊñÂÓ¤ò³°¤·¤¿¤é¤É¤¦¤ä¤é·ê¤Îº¬¸µ¤Þ¤ÇÆþ¤Ã¤Æ¤·¤Þ¤¤
Àޤ줿¤é¤·¤¤º¯Àפ¬¤¢¤Ã¤¿¡£
¼«Ê¬¤Î»Ø¤Ê¤¬¤é¸«¤Æ¤ë¤À¤±¤Ç¥¤¥¿¤½¡¼¡ª
º£½µËö¤Þ¤Ç¤Ë¤Ï¼£¤·¤Æ¤ä¤ë¡ª¡ª
¤Þ¤Ã¤¡¼¥ì¡¼¥µ¡¼¹æ¥¨¥ó¥¸¥óÁÈΩ¤Æ
¤ä¤Ã¤È¤Þ¤Ã¤¡¼¤«¤é¥á¥¿¥ë¥¬¥¹¥±¥Ã¥È¤¬ÆÏ¤¤¤¿¤Î¤Ç¡¢ºî¶ÈºÆ³«¡£
¤³¤Î³ä¤ì¤Æ¤·¤Þ¤Ã¤¿0.25mm¤ÎMG¤³¤ì¤òËͤμê»ý¤Á¤Îʪ¤È¸ò´¹¤¹¤ë¤Î¤Ç
¤Þ¤º¤Ï¥«¥·¥á¤ò³°¤·¤Þ¤¹¡£
¤³¤ì¤Ç¥Ð¥é¥Ð¥éÀκî¤Ã¤¿MG¤Ï0.25mm¤È0.5mm¤Î
3Ëç°ìÁȤǡ¢ºà¼Á¤â¥Ð¥Í¹Ý¤Ç¤¹¡£
¤³¤ì¤Ç¥·¥ê¥ó¥À¡¼¥Ø¥Ã¥É¤òÅëºÜ¤·¤è¤¦¤È½àÈ÷¤ò¤·¤Æ¤¤¤¿¤é
²¿¤ÈMG¤Ï¾å²¼¤È¤â³ä¤ì¤Æ¤¤¤¿»ö¤¬È½ÌÀ¡Ä
»ÅÊý¤¬Ìµ¤¤¤Î¤ÇÊõʪ¸Ë¤òõ¤·¤¿¤é
Ʊ¤¸450ccÍѤÎMG¤¬½Ð¤ÆÍ褿¡Ä
¤½¤ó¤Ê»ö¤Ê¤éºÇ½é¤Ã¤«¤éËͤμê»ý¤Á¤ÎMG¤ò»È¤Ã¤Æ
¥¨¥ó¥¸¥ó¤ò»Å¾å¤²¤ÆÃÖ¤±¤ÐÎɤ«¤Ã¤¿¡Ä
¾®»Ø¤òÀޤäƤ«¤é¤Îºî¶È¤ÏÂçÊѤʤó¤À¤«¤é¡ª
¥Ø¥Ã¥É¤È¥«¥à¤òÅëºÜ¤·¤Æº£Æü¤Ï¤³¤³¤Þ¤ÇÌÀÆü¤ÏÄêµÙÆü¤À¤±¤É½Ð¶Ð¤·¤Æ
Áý¤·Äù¤á¤«¤é¤Î¥¨¥ó¥¸¥óÅëºÜͽÄê¤À¤±¤É
º¸¼ê̵¤·¤Ç¥Õ¥ì¡¼¥à¤Ë¥¨¥ó¥¸¥ó¤òÅëºÜ½Ð¤¤ë¤Î¤«¡©
¶ä¤Á¤ã¤óÄ®¾è¤ê¹æ·Ñ³¼Ö¸¡
ËÜÅö¤Ê¤éÀè½µ¡¢¶ä¤Á¤ã¤ó¹æ¤Î¼Ö¸¡¤Ë¹Ô¤¯¤Ï¤º¤À¤Ã¤¿¤Î¤Ç¤¹¤¬
¾®»Ø¤Î¹üÀޤǤä¤à¤Ê¤¯±ä´ü¡¢À°È÷¤¹¤é¤ä¤Ã¤Æ¤Þ¤»¤ó¤¬
¤Þ¤¡ÉáÃʤ«¤éÀ°È÷¤ò¤·¤Æ¤¤¤ë¤Î¤Ç¥Ö¥ì¡¼¥¥Õ¥ë¡¼¥É¤Î¸ò´¹¤°¤é¤¤¤ÇÎɤ¤¤«¤Ê¤¡¡Ä
¤Þ¤º¤½¤ÎÁ°¤ËÁ°²ó»ØÅ¦¤µ¤ì¤Æ
¡ÖÀĤ¯¤Ê¤¤¤Ç¤¹¡ª¡×¤È¸À¤¤ÀڤäƸíËâ²½¤·¤¿
¥Ø¥Ã¥É¥é¥¤¥È¤Î¥Ð¥ë¥Ö¤¬ÀĤ¤¤Î¤ò¸ò´¹¤¹¤ë»ö¤Ë¤·¤Þ¤¹¡£
¤³¤ì¤Ç·Ñ³¼Ö¸¡¤Ï¸÷¼´¤À¤±Ä̤ì¤ÐOK¤Ç¤¹¡£
¤¢¡ª¥Þ¥Õ¥é¡¼¤Î¥Ð¥Ã¥Õ¥ë¤ò¸ò´¹¤·¤Ê¤¤¤È¡ª
˺¤ì¤ë½ê¤À¤Ã¤¿¡£
2016ǯ09·î05Æü
Âè6²óCP¥Ä¡¼¥ê¥ó¥°
īͼ¤¬¾¯¤·Îä·¤¯¤Ê¤Ã¤¿µ¤¤â¤¹¤ë¤³¤Îº¢
¤½¤í¤½¤í¥·¡¼¥º¥óIN¤ò·Þ¤¨¤ë
Íè½µÂèÆóÆüÍËÆü¤ËÄêÎã¥Ä¡¼¥ê¥ó¥°¤ò³«ºÅ¤·¤Þ¤¹¡£
º£²ó¥ë¡¼¥È¤ò¥ë¡¼¥È¥é¥Ü¤Ë¤Æ½ñ¤¤¤Æ¤ß¤Þ¤·¤¿¡£
PC¤Ç¸«¤ë¾ì¹ç¤ä³ÈÂ礷¤Æ¸«¤ë¾ì¹ç¤Ï¡¢¥ë¡¼¥È¥é¥Ü¤Î
¡ÈÂè6²ó·îÎã¥Ä¡¼¥ê¥ó¥°¡É¤ò¥¯¥ê¥Ã¥¯¤¹¤ë¤«¤³¤Á¤é¤«¤é¤É¤¦¤¾¡£
¥ë¡¼¥È¥é¥Ü¤ò»È¤¤¤³¤Ê¤»¤Æ¤Ê¤¤¤Î¤Ç
ºå¿À¹â®¤ò¹ß¤ê¤¿¤ê¤·¤Æ¤Þ¤¹¤¬Ìµ»ë¤·¤Æ²¼¤µ¤¤¡£
Âè°ì½¸¹ç¾ì½ê¡§CP¡¢8¡§00½Ðȯ¡£
ÂèÆó½¸¹ç¾ì½ê¡§¢©666-0105 ʼ¸Ë¸©ÀîÀ¾»Ô¸«Ìî3ÃúÌÜ20
ʼ¸Ë¸©ÀîÀ¾»Ô¸«Ìî3ÃúÌÜ20¡Ý32¥¨¥Í¥ª¥¹¥»¥ë¥ÕÀîÀ¾¡¡9¡§00º¢
Âè»°½¸¹ç¾ì½ê¡§¾®Ìî¿·¥í¡¼¥½¥ó¡¡9¡§30º¢
Æ»¤Î±ØÈþ»³·Ðͳ¡¢Æ»¤Î±ØÌ¾Åľ±Â¼¤«¤é¾®Éͳ¤Á¯Ð§¡Ö¤«¤Í¤Þ¤Ä¡×
¿Í¤¬Â¿¤¤¾ì¹ç¤ÏÊ̤νê¤Ç¿©»ö¤È¤Ê¤ê¤Þ¤¹¡£
¿©»ö¤Î¸å¤Ï¡¢»°Êý¸Þ¸Ð¥¨¥ó¥¼¥ë¥é¥¤¥ó¡¢»ª³¹Æ»161¹æ¡¢µþÅÔÅìIC¡¢µþÅÔÆîIC¤È
¥³¡¼¥¹Åª¤Ë¤Ï¥¬¥Ã¥Ä¥ê¥³¡¼¥¹¤ÎÌó340¥¥í¤Îµ÷Î¥¤È¤Ê¤ê¤Þ¤¹¤Î¤Ç
»²²Ã¼Ô¤¬Â¿¤¤¾ì¹ç¤Ë¤Ï¥ë¡¼¥È¤ÎÊѹ¹¤â¤¢¤ê¤Þ¤¹¡£
¾®»Ø¤Î¹üÀޤ⡢¤½¤ì¤Þ¤Ç¤Ë¤Ï¤¢¤ëÄøÅÙ´°¼£¤µ¤»¤Þ¤¹¡ª
¥Õ¥ì¡¼¥à½¤Íý
»Å»ö¤¬¤Þ¤È¤â¤Ë½ÐÍè¤Ê¤¤¾õÂ֤Ǥ¹¤¬
²ø²æ¤¬¼£¤Ã¤¿¤éľ¤°¤Ë¼è¤ê³Ý¤«¤ì¤ëÍͤËÁ°Åݤ·¤Ç½àÈ÷¤ò¤¹¤ë»ö¤Ë¡£
±ü¤Î¥Õ¥ì¡¼¥à¤ÏËͤξ®»Ø¤òÀޤ俥ե졼¥à»¬¤¬¹ó¤¤¤Î¤Ç¡¢°ìö¥Ö¥é¥¹¥È½èÍý¤ò¤·¤Æ
·ê¤¬Ìµ¤¤¤«¤ò¥Á¥§¥Ã¥¯¤·¤Æ¤«¤é
ÁÈΩ¤Æ¤Ë¼è³Ý¤«¤ê¤Þ¤¹¡£
¼êÁ°¤Î¥Õ¥ì¡¼¥à¤Ï¥µ¥Ö¥Õ¥ì¡¼¥à¤¬¥«¥Ã¥È¤µ¤ì¤Æ¤¤¤ë¤Î¤Ç
¿·¤·¤¤¥µ¥Ö¥Õ¥ì¡¼¥à¤òºî¤Ã¤Æ
»Å¾å¤²¤ëÃʼè¤ê¤Ë¤·¤Þ¤¹¡£
º£Æü¤Ï¤³¤Î¥Õ¥ì¡¼¥à¤òºÊñ¡¢È¯Á÷¤·¤Æ¥´¥½¥´¥½¤È¥«¥¹¥¿¥àÍÑÉôÉʤνàÈ÷¤ò¤·¤Æ
¥Ý¥±¥â¥óGO¤ò¤ä¤Ã¤Æ½ª¤ê¤Ç¤¹¡£
2016ǯ09·î04Æü
øϩÅç¥Ð¥¤¥¯¥Õ¥§¥¹¥¿»²²Ã·èÄê
²Ç¤ÈÏä·¹ç¤Ã¤¿·ë²Ì¡¢½Ðʤ¹¤ë»ö¤¬·è¤Þ¤ê¤Þ¤·¤¿¡£
°µÅÝŪ¤Ë¥¹¥¿¥Ã¥Õ¤¬Â¤ê¤Ê¤¤¤Î¤Ç¤¹¤¬
¤¢¤ÎÊý¤È¡¢¤³¤ÎÊý¤È¡¢Ä郎¼êÅÁ¤Ã¤Æ¤¯¤ì¤ì¤Ð
²¿¤È¤«¤Ê¤ë¤È»×¤¤¤Þ¤¹¤·¡¢¥«¥¹¥¿¥à¼Öξ¤ÎŸ¼¨¤â
¤¢¤ÎÊý㤬µÙ¤ß¤ò¼è¤Ã¤Æ¼«Áö¤Ç»²²Ã¤·¤ÆÄº¤±¤ì¤Ð
½õ¤«¤ë¤È»×¤Ã¤Æ¤Þ¤¹¤Î¤Ç
Ä´À°Êý¤è¤í¤·¤¯¤ª´ê¤¤Ãפ·¤Þ¤¹¡£

¥µ¥Ë¥È¥é¥ª¥¤¥ë¸ò´¹
Å·µ¤¤ÎÎɤ¤¤¦¤Á¤Ë¤ÈÄ«¤«¤éÄï¤ò¸Æ¤ÓÉÕ¤±¤Æ
¥µ¥Ë¥È¥é¤Î¥ª¥¤¥ë¸ò´¹ºî¶È¤ò¶¯Íס£¥É¥ì¥ó¥Ü¥ë¥È¤Î¥Ñ¥Ã¥¥ó¤«¤é
¥ª¥¤¥ëϳ¤ì¤·¤Æ¤¤¤ë¤Î¤Ç
º£²ó¤Ï¾¯¤·Áá¤á¤Î¥ª¥¤¥ë¸ò´¹¤Ç¤¹¡£
¤Ä¤¤¤Ç¤Ë¥É¥ì¥ó¥Ü¥ë¥È¤â¿·¤·¤¯¸ò´¹¡£¥É¥ì¥ó¥Ñ¥Ã¥¥ó¤Ï¾¯¡¹¤ªÃÍÃʤ¬
¹â¤¯¤Ê¤ê¤Þ¤·¤¿¤¬
¥Î¥ó¥¢¥¹¤Î¥Ù¡¼¥¯¥é¥¤¥ÈÀ½¤Ç¤¹¡£
¥ª¥¤¥ë¥Õ¥£¥ë¥¿¡¼¤âÁ´Á³¸ò´¹¤·¤Æ¤Ê¤«¤Ã¤¿¤Î¤Ç
º£²óƱ»þ¤Ë¤ä¤Ã¤Æ¤â¤é¤¤¤Þ¤¹¡£
±«¤¬¹ß¤ëÁ°¤Ë¤È»×¤Ã¤Æ¤¤¤ë¤È
É÷¤¬¶¯¤¯¤Ê¤Ã¤Æ¤¤¿¡Ä¶¯É÷¤Î±Æ¶Á¤ÈĹǯ¤ÎÎô²½¤Ç
¥Î¥Ü¥ê¤â¹üÀÞ¡Ä
Ï¢º¿ÅªÈ¿±þ¤Ç¤¹¡£
¶¯²½¥¯¥é¥Ã¥Á¥Õ¥ê¥¯¥·¥ç¥ó¥Ç¥£¥¹¥¯¥â¥Ë¡¼¥¿¡¼
¾ò·ïŪ¤Ë8¹æµ¡¤¬¥Ô¥Ã¥¿¥ê¤À¤Ã¤¿¤Î¤Ç
¶¯²½¥¯¥é¥Ã¥Á¥Õ¥ê¥¯¥·¥ç¥ó¥Ç¥£¥¹¥¯¤ò8¹æµ¡¤Ë¼èÉÕ¤±¤Æ¥â¥Ë¥¿¡¼¤ò¤·¤Þ¤¹¡£
¸ò´¹ºî¶È¤âº£¤ÏËͤ¬½ÐÍè¤Ê¤¤¤Î¤Ç¼«Ê¬¤Ç¤ä¤Ã¤Æ¤â¤é¤¤¤Þ¤¹¡£
¥¬¥¹¥±¥Ã¥È¤Ê¤É¤ÎÉôÉʰ켰¤Ï
CP¤«¤é̵½þ¤ÇÄ󶡤Ȥʤê¤Þ¤¹¡£
¤Þ¤¡¼«Ê¬¤Ç¥¯¥é¥Ã¥Á¥×¥ì¡¼¥È¤ò¸ò´¹¤¹¤ë¤Ê¤ó¤Æ»ö¤â¤½¤¦¤½¤¦Ìµ¤¤¤Î¤Ç
¤³¤ÎºÝÍý²ò¤ò¿¼¤á¤Æ²¼¤µ¤¤¡£
¤Þ¤¡¼êºÝ¤¬°¤¤¤Î¤Ï»ÅÊý¤Ê¤¤¤Ç¤¹¤Í¡Ä
Àè¤Ë8¹æµ¡¤ËÉÕ¤¤¤Æ¤¤¤¿¥¯¥é¥Ã¥Á¥¢¥¦¥¿¡¼¤Î¥À¥ó¥Ñ¡¼¤¬¥¬¥¿¥¬¥¿¤Ç
¥À¥á¤Ê¤Î¤Ç¤½¤³¤Þ¤Ç¤Ïͽ¬¤·¤Æ¤¤¤Ê¤«¤Ã¤¿¡£
»ÅÊý¤Ê¤¯ÎÉÉʤȸò´¹¤¹¤ë»ö¤Ë¤Ê¤Ã¤¿¡Ä
¶¯²½¥¯¥é¥Ã¥Á¥Õ¥ê¥¯¥·¥ç¥ó¥Ç¥£¥¹¥¯¤òÁÈÉÕ¤±¤Æ¹Ô¤¤Þ¤¹¡£
¤³¤ì¤â¥³¥Ä¤È¡¢ºî¶ÈÊýË¡¤ò¶µ¤¨¤Æ
ÁÈÉÕ¤±ºî¶È¡£
½ãÀµ¿·ÉʤΥ¯¥é¥Ã¥Á¥¹¥×¥ê¥ó¥°¤òÁÈÉÕ¤±¤Þ¤¹¡£
¥¬¥¹¥±¥Ã¥È¤â¿·Éʤ˸ò´¹¤·¤Þ¤·¤¿¡£
¤³¤ì¤Ç¸ò´¹ºî¶È¤Ï´°Î»¡£ÁêÊѤ餺8¹æµ¡¤ÏÏΤ·¤Ù¹æ¤Ç¤¹¡£
²¿¤«¥à¥«¤Ä¤¯¤±¤É
¤³¤ì¤â¥â¥Ë¥¿¡¼¤Ê¤Î¤Ç»ÅÊý¤¢¤ê¤Þ¤»¤ó¡£
¥¯¥é¥Ã¥Á¥«¥Ð¡¼¤ò¼èÉÕ¤±¤ì¤Ðºî¶È´°Î»¤Ç¤¹¡£
¼è¹ç¤¨¤º¤³¤ì¤Ç»î±¿Å¾¤ò¤·¤Æ¤â¤é¤¦¤Î¤Ç¤¹¤¬
Âè°ì°õ¾Ý¤ÏÅöÁ³¤Ç¤¹¤¬
¡Ö̵Ãã¶ìÃã·Ú¤¯¤Ê¤Ã¤¿¡×¤È¤Î»ö¤Ç¤·¤¿¡£»î±¿Å¾¸å¤Ë¥ê¥ê¡¼¥¹¥Ý¥¤¥ó¥È¤Ê¤É¤Î
ÈùÄ´À°¤ò¤ä¤Ã¤Æ¤Þ¤¹¡£
Ãæ¡¹Îɤ¤´¶¤¸¤Ê¤Î¤Ç
Ĺ´ü´Ö¤Î¥Æ¥¹¥ÈͽÄê¤Ç¤¹¤¬¡¢¥Õ¥£¡¼¥ê¥ó¥°¤¬Îɤ±¤ì¤Ð
¥á¡¼¥«¡¼¤ËÊó¹ð¤·¤Æ¡¢°ìÈÌ¥ê¥ê¡¼¥¹¤Ë¤Ê¤ë¤«¤âÃΤì¤Þ¤»¤ó¡£
»î±¿Å¾¤Î·ë²Ì¤Ï¥¯¥é¥Ã¥Á¤ÎON,OFF¤¬¥·¥ã¡¼¥×¤Ê´¶¤¸¤Ë¤Ê¤Ã¤¿¤é¤·¤¯
¥·¥Õ¥È¥Á¥§¥ó¥¸°ÊÁ°¤è¤ê¤â¤·¤Ã¤«¤ê½ÐÀÚ¤ëÍͤˤʤ俤餷¤¤¡£
2016ǯ09·î03Æü
Âè»Í²óøϩÅç¥Ð¥¤¥¯¥Õ¥§¥¹¥¿
¡ÚÂè»Í²óøϩÅç¥Ð¥¤¥¯¥Õ¥§¥¹¥¿¡Û¤Ø¤Î
½ÐŹ°ÆÆâ¤¬PMCÍͤè¤êÆÏ¤¤Þ¤·¤¿¡£
²Ç¤Ï¼êÅÁ¤Ã¤Æ¤¯¤ì¤ë»ö¤Ë¤Ê¤Ã¤¿¤Î¤Ç¤¹¤¬
¥¹¥¿¥Ã¥Õ¤¬¤Þ¤À¤ê¤Ê¤¤¤Î¤Ç
»²²Ã¿½¹þ¤ß¤Ï¤·¤Æ¤¤¤Þ¤»¤ó¡£
Í£°ì¤ÎÍê¤ê¤ÏÄï¤ÎÅԹ缡Âè¤È¸À¤Ã¤¿½ê¤Ç¤¹¡£
ÌÀÆüÌÀ¸åÆüÃæ¤Ë¤Ï½Ðʤ¹¤ë¤«¤É¤¦¤«¤¬
·è¤Þ¤ë¤È»×¤¤¤Þ¤¹¡£
1¹æµ¡ÄɲûÅÍÍÊѹ¹
º¸¼ê¤ÎÉéô¤ò¾¯¤·¤Ç¤â¾¯¤Ê¤¯¤¹¤ë°Ù¤Ë
¾¼Ö¼ïήÍѤνãÀµÉ÷¥·¥ç¡¼¥È¥®¥ä¡¼¥Á¥§¥ó¥¸¥¢¡¼¥à¤Ë¸ò´¹¤·¤Þ¤¹¡£
¤³¤Î½ãÀµÉ÷¤È¸À¤¦¤Î¤¬¥ß¥½¤Ç¤¹¤Í¡£
Á´Ä¹¤Ç10mmû¤¯¤Ê¤ë¤Î¤Ç
ÎÏÅÀ¤È»ÙÅÀ¤Îư¤¤¬¾®¤µ¤¯¤Ê¤ê¤Þ¤¹¤¬¾¯¤·¤À¤±ÎÏÅÀ¤Ø¤ÎÎϤ¬É¬ÍפˤʤëÄøÅÙ¤Ç
¥·¥Õ¥È¥Ú¥À¥ë¤Ï¥·¥ç¡¼¥È¥¹¥È¥í¡¼¥¯¤Ë¤Ê¤ê
ºîÍÑÅÀ¡¢¤Ä¤Þ¤ê¥·¥Õ¥È¥Á¥§¥ó¥¸¤Îư¤¤¬
¾®¤µ¤¯ºÑ¤ß¡¢·ë²Ì¥¯¥é¥Ã¥Á¤ò°®¤ë»þ´Ö¤¬¾¯¤Ê¤¯¤Ê¤ê
º¸¼ê¤Ë³Ý¤«¤ëÉéô¤¬·Ú¸º¤µ¤ì¤ë¤È¸À¤¦»ö¤Ë¤Ê¤ê¤Þ¤¹¡£
¤·¤«¤â½ãÀµÉ÷¤Ê¤Î¤Ç¸«¤¿ÌܤⰤ¯¤¢¤ê¤Þ¤»¤ó¡£
11ÆüÀäÂХġ¼¥ê¥ó¥°¤Ë¹Ô¤¯¤Ä¤â¤ê¤Ç¤¹¡£
ÂçºåKÍͷѳ¼Ö¸¡
¥·¡¼¥º¥óIN¤â¶áÉÕ¤¤¤ÆÍ褿¤è¤¦¤ÊÊ·°Ïµ¤¤Î¤¹¤ëÃæ
·Ñ³¼Ö¸¡¤´°ÍÍê¤ÎÂçºåKÍͤμÖÆþ¸Ë¡£
¤ªÅ¹¤Ï³«Å¹µÙ¶È¾õÂ֤ʤΤÇ
À°È÷¤¬ºÑ¤ß¼¡Âè¡¢¸¡ºº¤Ë¹Ô¤¯Í½Äê¤Ç¤¹¤¬
¤Þ¤À¼ê¤¬Äˤ¤¤Î¤Ç¡¢Í½Äê¤Ï̤Äê¤È¸À¤¦»ö¤Ç¡Ä
2016ǯ09·î02Æü
ÄïÍê¤ß
¾®»Ø¤ò²ø²æ¤·¤¿ÍâÆü¤ËžÅݤ·¤Æ
¥Ð¥Õ¤Îµ¡³£¤ÇÇØÃæ¤ò¶¯ÂǤ·¤Æ
ºòÆü²Ç¤ËÇØÃæ¤ò¸«¤Æ¤â¤é¤Ã¤¿¤é
²£°ìľÀþ¤ËÆâ½Ð·ì¤·¤Æ¤¤¤¿¡Ä
¤ä¤Ã¤Ñ¤êÄˤ¤¤Ï¤º¤À¤È»×¤Ã¤¿¡£
¥Ð¥¤¥¯¤âÅݤ·¤½¤¦¤Ë¤Ê¤Ã¤Æ¤«¤é
¤Ê¤ë¤Ù¤¯Æ°¤«¤µ¤Ê¤¤¤è¤¦¤Ë¤·¤Æ¤¤¤ë¤Î¤Ç
Ä郎ÆüÍËÆü¤ËÍè¤ë¤Î¤Ç¿§¡¹¤È¤ä¤Ã¤Æ¤â¤é¤¦¤Î¤Ç
Ä«¤«¤éŹ¤Ë½Ð¶Ð¤¹¤ë¤è¤¦¤Ë¶¯Íפ·¤è¤¦¤È»×¤Ã¤Æ¤ë£÷
1¹æµ¡¥¹¥×¥í¥±¥«¥Ð¡¼¸ò´¹
ư¤¯¼Â¸³¼Öξ¤Î1¹æµ¡¡¢º£Å٤λ³Ãæ¸Ð¥è¥ó¥Õ¥©¥¢¥ß¡¼¥Æ¥£¥ó¥°¤Ë
»ý¤Ã¤Æ¹Ô¤¯¤Ä¤â¤ê¤Ê¤Î¤Ç¡¢¸«¤¨¤Ê¤¤½ê¤â¸«¤¨¤ëÍͤˤ·¤¿¤«¤Ã¤¿¡£
¤½¤³¤Ç¡¢¥ì¡¼¥µ¡¼¤ÈƱ¤¸²Ã¹©¤ò¤·¤¿
¥¹¥×¥í¥±¥«¥Ð¡¼¤òÍѰդ·¤Æ
1¹æµ¡¤ËÉÕ¤±¤ëͽÄê¤À¤Ã¤¿¤Î¤Ç¤¹¤¬
¹üÀÞ¤·¤Æ¤·¤Þ¤¤½ÐÍè¤Ê¤¤¤ó¤¸¤ã¡Ä
¤È»×¤¤¤Ä¤Ä¡¢ÄˤߤâËèÆü°û¤ó¤Ç¤¤¤ëÄˤߤÇ
¥³¥ó¥È¥í¡¼¥ë½ÐÀÚ¤ëÍͤˤʤ俤ΤÇ
»î¤·¤Ë¡¢±¦ÏÓ¤À¤±¤Ç¥Ð¥Õ³Ý¤±¤Ë¥Á¥ã¥ì¥ó¥¸¡ª
Â礤¤Êª¤Ê¤éÊÒ¼ê¤Ç¤â²¿¤È¤«¤Ê¤ê¤½¤¦¡©
¤³¤Î¤ªµ¤¤ËÆþ¤ê¤Î
º½·¿¥¹¥×¥í¥±¥«¥Ð¡¼¤ò
¼è³°¤·¤Æ¸ò´¹¤·¤Þ¤¹¡£
¤³¤ì¤Ç¥«¥Ã¥È¥â¥Ç¥ëŪ¤ËÃæ¤¬¸«¤¨¤Þ¤¹¡£
¥ê¥Ï¥Ó¥ê¤¬¤Æ¤é½Ð¤¤ë»ö½ÐÍ褽¤¦¤Ê»ö¤ò
¾¯¤·¤Å¤Ä¤ä¤Ã¤ÆÎ¯¤Þ¤Ã¤Æ¤¤¤ë»Å»ö¤ò
¸º¤é¤·¤Æ¹Ô¤¯Í½Äê¤Ç¤¹¡£
¹©¶ñ¹ØÆþ
¿ʬ¹ØÆþ¤·¤Æ¤«¤é25ǯ¤°¤é¤¤·Ð¤Ä¥¹¥Ê¥Ã¥×¥ª¥ó¤Î¥é¥Á¥§¥Ã¥È¤¬²õ¤ì¤¿¡£
Åö»þ±Êµ×ÊݾãÉÕ¤¤Ç2Ëü±ß¶á¤¯¤·¤Æ¤¿¤È»×¤¦¤±¤É
¤â¤¦±Êµ×Êݾ㤬̵¤¯¤Ê¤Ã¤¿¤Î¤Ç
MAC¥Ä¡¼¥ë¤ÎƱ¤¸¥¿¥¤¥×¤Î³Ñ¥É¥é¥¤¥Ö3/8¤Î
¼ê¤Î¤Ò¤é¥µ¥¤¥º¤Îʪ¤ò2¸Ä¹ØÆþ¤·¤Þ¤·¤¿¡£
²¿¸Î¼ê¤Î¤Ò¤é¥µ¥¤¥º¤¬É¬ÍפʤΤ«¤È¸À¤¦¤È
Â礤¤¥é¥Á¥§¥Ã¥È¤À¤È¡¢Äù¤á¤¿¤ê´Ë¤á¤¿¤ê¤¹¤ë»þ¤Ë
¹©¶ñ¤¬¥Ð¥¤¥¯¤ËÅö¤ë¤Î¤Ç¡¢¼ê¤ÎÃæ¤ËÆþ¤ë¹©¶ñ¤Ê¤é
¼ÖÂΤò½ýÉÕ¤±¤¿¤ê¤¹¤ë»ö¤Ï¤Ê¤¤¤«¤é¤Ç¤¹¡£
¤Þ¤¡¼ê¤Ï²ø²æ¤·¤Þ¤¹¤±¤É¡Ä
º£¤Î½êMAC¥Ä¡¼¥ë¤â±Êµ×Êݾã¤Ê¤Î¤Ç¤¹¤¬
2¸Ä¤Ç2Ëü¤Á¤ç¤Ã¤È¡¢°Â¤¤¤«¹â¤¤¤«¤Ï¹©¶ñ¤¬¤É¤ì¤À¤±»Å»ö¤ò¤·¤Æ¤¯¤ì¤ë¤«
¤É¤Ã¤Á¤¬»È¤¤°×¤¤¤Î¤«Ê¬¤«¤é¤Ê¤¤¤Î¤Ç2¸Ä¤È¤â¹ØÆþ¡£
¤³¤Î¥µ¥¤¥º¤Î¥é¥Á¥§¥Ã¥È¤ÏÃæ¡¹Ìµ¤¤¤Î¤Ç¡¢»ÅÊý¤Î̵¤¤½ÐÈñ¤Ç¤¹¡£
2016ǯ09·î01Æü
Á´¼£»°½µ´Ö
²¿»þ¤âÄ̤ê½Ð¶Ð¡£
¸á¸å¤«¤é¤Ï¾®»Ø¤ÎºÇ½ª¿ÇÃǤΰÙɱ¡¤Ø¹Ô¤
¹ü¤Î¾õÂÖ¤ò¥Á¥§¥Ã¥¯¡£
¿ÇÃǤâ½Ð¤ÆÁ´¼£3½µ´Ö¤È¸À¤¦»ö¤Ê¤Î¤Ç¤¹¤¬
11Æü¤Î¥Ä¡¼¥ê¥ó¥°¤Ïµ¤¹ç¤Ç²¿¤È¤«¤Ê¤ë¤È»×¤¤¤Þ¤¹¤·
Äˤߤµ¤¨Ìµ¤±¤ì¤Ð¡¢¤¤Ã¤ÈÁö¤ì¤Ð¼£¤ê¤Þ¤¹¡Ä
»°ÂåÌܹæ¶ÛµÞÆþ¸Ë
Ä«°ì¤ËʤÎÅÅÏä¬ÌĤ롢½Ð¤ë¤È»°ÂåÌܹæ¤Î¥ª¡¼¥Ê¡¼¤Ç
#3¤¬»à¤ó¤Ç3µ¤Åû¤Ë¤Ê¤Ã¤Æ¤¤¤ë¤é¤·¤¤¤¯¼è¹ç¤¨¤º¤´ÍèŹ¡£
²¿¤Ç¤â¥¿¥ó¥¯¤ò¸ò´¹¤·¤¿¤é¤·¤¤¤Î¤Ç¤¹¤¬
»¬»ß¤áÂå¤ï¤ê¤Î¥Í¥Ð¥Í¥Ð¤¬
¾¯¤·»Ä¤Ã¤¿¾õÂ֤ǥ¬¥½¥ê¥ó¤òÆþ¤ì¤¿¤é¤·¤¤¡£¤Þ¤º¤Ï¥×¥é¥°¤Ë²Ð¤¬Èô¤ó¤Ç¤¤¤ë¤«¤ò¥Á¥§¥Ã¥¯
#2¤¬ÉÔ°ÂÄê¤Ë¤Ê¤Ã¤Æ¤¤¤ë¤¬#3¤Ï
¤Á¤ã¤ó¤È²Ð¤ÏÈô¤ó¤Ç¤¤¤ë¡£
²Ð¤¬Èô¤ó¤Ç¤¤¤ë¤«¤É¤¦¤«¤Ï¤³¤Î¥×¥é¥°¥³¡¼¥É¥Á¥§¥Ã¥«¡¼¤Ç¸«¤ì¤Þ¤¹¡£
¼è¹ç¤¨¤ºÌäÂê²Õ½ê¤Î¥×¥é¥°¤ò¥Á¥§¥Ã¥¯¡ª
#2¤Ï¥×¥é¥°¤òÁݽü¤·¤¿¤é°ÂÄꤷ¤Æ
²Ð¤¬Èô¤ÖÍͤˤʤê#3¤Ï´°Á´¤Ë¥«¥Ö¤Ã¤Æ¤¤¤ë¾õÂÖ¤À¤Ã¤¿¡£
¶²¤é¤¯¥¬¥½¥ê¥ó¤Ëº®¤¸¤Ã¤¿ÉÔ½ãʪ¤¬FCR¤Î#2.3¤Ëή¤ì¹þ¤ó¤Ç
¥¨¥ó¥¸¥ó¤¬ÉÔÄ´¤Ë¤Ê¤Ã¤¿¤Î¤À¤í¤¦¤È»×¤¤¤Þ¤¹¡£
¥¬¥½¥ê¥óÎô²½ËɻߺޤòÆþ¤ì¤Æ¥¿¥ó¥¯Æâ¤Î¾õÂÖ¤ò²þÁ±
¼è¹ç¤¨¤ºÁö¤ê²ó¤Ã¤Æ¤¯¤ë¤½¤¦¤Ç¤¹¡£
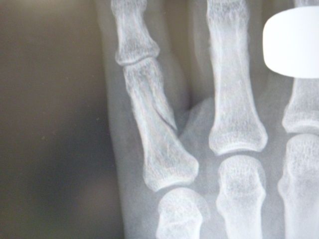
º¸¼ê¾®»Ø¿ÇÃÇ
º£Æü¤Ç¸ÞÆüÌܤȤʤꡢ¹ü¤Î¾õÂÖ¤ÏÎɤ¤¤é¤·¤¤¤Î¤Ç
¤Þ¤¿Íè½µ¤Þ¤Ç¤Ï¤³¤Î¤Þ¤Þ¤È¤Ê¤ê¤Þ¤·¤¿¡Ä


¹üÀÞÅöÆü¤Î¾®»Ø¤Ç¤¹¤¬¡¢Dr.Û©¤¯¡¢¾®»Ø¤¬¶Ê¤¬¤é¤Ê¤¤Êý¸þ¤Ë·ã¤·¤¯ÎϤ¬³Ý¤«¤ê
DZ¤êÀޤ줿´¶¤¸¤Ç¤¹¤Í¡¢¤È¸À¤ï¤ì¤Þ¤·¤¿¤¬
Á´¤¯¤½¤ÎÄ̤ê¤Î¾õ¶·¤À¤Ã¤¿¤È»×¤¤¤Þ¤¹¡£


Íè½µ¤Þ¤Ç¤Ë¾õÂÖ¤¬°²½¤·¤Æ¤¤¤ì¤Ð¡¢¼ê½Ñ¤À¤½¤¦¤Ç¤¹¡£
²Ç¤Ï¡Ö¤µ¤Ã¤µ¤ÈÆþ±¡¤·¤Æ¼ê½Ñ¤·¤Æ¤â¤é¤¨¡ª¡×¤È¸À¤¦¤Î¤Ç¤¹¤¬¡Ä
